Dental Delight: Perfectly Preserved 70,000 Year Old Tooth Found in France

Researchers unearthed a tooth estimated to be around 70,000 years old, at the archaeolocial site of Montmaurin, in Haute-Garonne, near the Spanish border. The incisor, believed to have belonged to a Neanderthal adult, was found in the Coupe-Gorge cave. The tooth was found on August 11, just a few days after archaeologists continued excavations that … Read more

Human Tooth Jewelry Discovered At Neolithic Site In Turkey

Among the animal-tooth pendants and other jewelry discovered at the Neolithic site of Çatalhöyük in Turkey, three human teeth that appear to have been drilled have also just been recovered. Archaeologists were surprised by the find and set out to determine whether they were made from the living or from the dead. Çatalhöyük is an archaeological … Read more

Chinese Man Finds Tooth That’s Grown In His Nose For Two Decades

One could say this Chinese man’s nose had plenty of bite. A 30-year-old man had to have a tooth removed from his nose after it had reportedly grown in his nostril for 20 years. According to Chinese television station Heilongjiang TV, Harbin, China, resident Zhang Binsheng visited a hospital last week after having a clogged up … Read more

Regrowing Dental Tissue With Stem Cells From Baby Teeth

Sometimes kids trip and fall, and their teeth take the hit. Nearly half of children suffer some injury to a tooth during childhood. When that trauma affects an immature permanent tooth, it can hinder blood supply and root development, resulting in what is essentially a “dead” tooth. Until now, the standard of care has entailed … Read more

Ontario Dental Surgeon Pulls Man’s Teeth Out “In Error”

Lee Schwaderer loves corn on the cob and singing with his church choir, but now he can’t enjoy either. When the 65-year-old Keswick, Ont., man went in for dental surgery three years ago, he says he woke up from anesthesia to a shocking announcement. He alleges his dental surgeon said at the time “I don’t … Read more

Teeth Displaced: Teeth at the Time of Surgery

Armstrong pic 2B alternate text for this image

Abstract Inadvertent displacement of teeth or fragments of teeth beyond the tooth socket during extraction is an uncommon occurrence. In this paper, we present two cases of displacement of impacted third molars, one maxillary and one mandibular. We outline our removal technique as well as some general management considerations, should this situation arise. Most importantly … Read more

Beyond the Teeth

Griffin Fig 13 alternate text for this image

It’s easy for us dentists to minimize our own significance in overall patient health. We drill holes, we fill holes. We grind, we restore. We clean, we re-clean. Rewarding work but often becomes just routine for some of us. Instead of “just” filling and restoring, we need to understand that we provide therapy. Don’t minimize … Read more

E-Cigarettes and Cigarettes are Equally Damaging to Oral Health

A University of Rochester Medical Center study suggests that electronic cigarettes are as equally damaging to gums and teeth as conventional cigarettes. The study, published in Oncotarget, was led by Irfan Rahman, Ph.D. professor of Environmental Medicine at the UR School of Medicine and Dentistry, and is the first scientific study to address e-cigarettes and … Read more

Ancestral Human Diets Being Revealed Through Teeth Examination

When scientists want to know what our ancient ancestors ate, they can look at a few things: fossilized animal bones with marks from tools used to butcher and cut them; fossilized poop; and teeth. The first two can tell us a lot, but they’re hard to come by in the fossil record. Thankfully, there are … Read more

Hu-Friedy Expands EverEdge 2.0 Line with Sickle Scaler Designs

Hu-Friedy product alternate text for this image

Hu-Friedy, a global leader in the manufacturing of dental instruments and products, today announced the addition of the Sickle Scaler designs to its line of EverEdge 2.0 hand instruments designed to help clinicians achieve the best clinical outcomes. Leveraging decades of instrument making experience, Hu-Friedy developed EverEdge 2.0 using a proprietary heat treatment process and … Read more

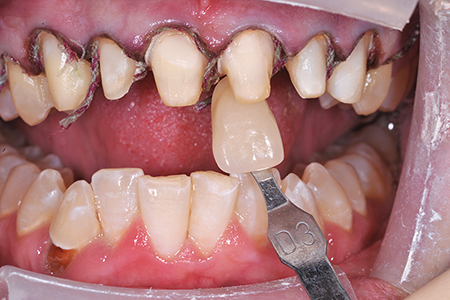
Resolving Colour and Crowding

Wynne Figure 17 alternate text for this image

Introduction For some of our patients, esthetics is not a chief concern as lip posture accommodation has enabled them to hide their smile. A precipitating event, such as an accident resulting in dental trauma or critical comment from a stranger or spouse, often motivates a patient to seek esthetic dental treatment to address their esthetic … Read more

Ancient Teeth Reveal True Diets of 8,600 Year Old Communities

Thanks to nine ancient men and women with poor oral hygiene, researchers have determined that foragers in the Balkans 8,600 years ago were cheating on their wild diets by supplementing them with domesticated cereals. A look at the starch remains entrapped in the calcified dental plaque of human teeth gathered from a dig site in … Read more

A Closer Look at Teeth May Mean More Fillings

By Ritchie S. King – the New York Times – November 28, 2011 Until 2010, Amelia Nuwer, 22, visited the same dentist every year in Biloxi, Miss., her hometown. And every year she came back with a clean bill of dental health: no fillings necessary. Then, as a junior at the University of Alabama, she … Read more

Drill, fill and bill…..not so fast! Hold the drill

From Dental Tribune – don’t mind the background colour – Word Press is coming…..soon, I hope…….really I do. LEEDS, UK: The thought of the dentist’s drill puts many people off visiting their dentist,even if they only need a check-up and not treatment. Researchers at the University of Leeds have announced that they have discovered a … Read more

You copy genius!!! Top Dentists in Newport Beach Seek Patients for Front Teeth Treatments, Dental Studies

Dog needed a walk, I did too by default…..chanced upon this as I waited for her to do her business, which apparently allowed me to do mine. Leading Newport Beach Cosmetic Dentists at Aesthetic Dental Designs(R) are Seeking Participants for Specific Front Teeth Treatments to Aid in Dental Literature,Lecture Presentations  – ah,the smell of genius … Read more

In this dire economy, even the Tooth Fairy is pinching pennies

By Saeed Ahmed – CNN Getting the Tooth Fairy to pony up in this sagging economy has been like pulling teeth. A recent survey found that the national going rate has seen a 40-cent decline this year: From $3 to $2.60. What’s worse? A full 10% of kids are reaching under their pillows … and coming up … Read more

New process may remineralize teeth in minutes, not days

From Dr.Bicuspid – Rob Gozkowski – Assistant Editor June 2, 2011 — A method of using calcium phosphate solutions to remineralize carious lesions in dentin using has had promising results in a recent study, dramatically decreasing the time needed for remineralization. Read more Related articles Toothpaste 101 (everydayhealth.com) Toothpaste for a Sensitive Mouth (everydayhealth.com) Spotlight on … Read more

GLO Brilliant Personal Teeth Whitening Device Launches Nationwide At Sephora

I was in Sephora today picking up eyeliner and mascara for a Goth evening on the town – pause, 1, 2, 3……humour arh, arh…. GLO Science, LLC, introduces the GLO Brilliant Personal Teeth Whitening Device–available in Sephora stores nationwide and on Sephora.com–today, Thursday May 12. The Smile Revolution is here! The GLO Brilliant Personal Teeth Whitening Device … Read more

When Is The Right Time To Place Dental Implants In Teenagers

Posted by Dr. Todd Welch on Mar 29, 2011 in Dental Implants (Tooth Implants) Email Sharebar This is an important question and the current wisdom is not to have implants placed until jaw and facial growth are complete. Although it varies from person to person, growth of the jaws in most cases is not complete … Read more