Layered intraoral scanning for longitudinal soft tissue monitoring

Layered-intraoral-scanning-for-longitudinal-soft-tissue-monitoring alternate text for this image

Abstract Monitoring peri-implant soft tissue stability has long been hindered by the subjectivity and limitations of traditional methods such as probing, photography, and radiography. Layered intraoral scanning offers a reproducible digital method to detect subtle changes in soft-tissue morphology over time. By superimposing baseline and recall scans, clinicians can identify early shifts in papilla height, … Read more

Impact of medications on osteointegration and implant survival

Ting-impact-osteointegration-implant-survival alternate text for this image

Dental implants are the preferred treatment for edentulous and partially edentulous patients. Over the past decade there has been an increasing number of dental implants placed in patients each year.1 The longevity of dental implant integration is challenged with the increase in life expectancy. This increase in life expectancy is most often associated with an increase … Read more

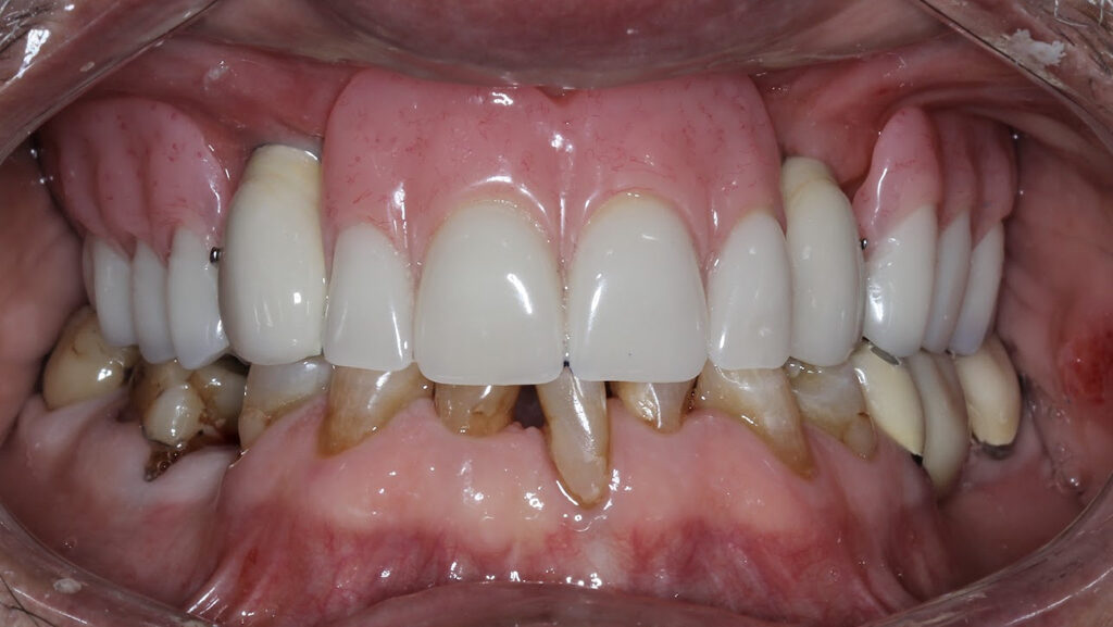
Management of prosthetic complications in hybrid implant-supported fixed prostheses

kucey-is-fdp alternate text for this image

Full-arch, implant-supported fixed dental prostheses (IS-FDP) are a well-established restorative option for the replacement of missing and terminal dentition. There are multiple suprastructure configurations and materials from which clinicians can consider, including acrylic resin to metal, metal-ceramic, monolithic zirconia, and porcelain fused to zirconia prostheses. Frameworks are composed of either titanium alloy, chromium cobalt, or … Read more

Streamlining the full arch implant solution

Picture 4b alternate text for this image

Abstract There is a growing demand for fixed full arch implant supported restorations.1 The procedures associated with this type of treatment can be daunting due to the complexity of all aspects of this treatment modality, from the initial data gathering and diagnosis to the surgical and prosthetic treatment implementation.2 Recent technology with its associated workflows can streamline … Read more

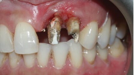
Reality and current status of the peri-implant diseases management

Figure 5a alternate text for this image

Over the past few decades, patient demand and inquiries regarding dental implants have increased significantly. Today, more than 100 commercial implant brands exist, with an estimated 12–15 million implants placed annually worldwide.1 As a result, by 2023, over 200 million patients globally were living with dental implants. According to Grandview Research, North America accounted for 38.4% … Read more

Etiology and management of a common and complex dental problem: Tooth wear

figure 2b alternate text for this image

Abstract Tooth wear has become an increasingly prevalent condition across age groups. With this article, we want to explore the etiology, classification, diagnosis, and management of tooth wear, focusing on the interplay of mechanical, chemical, and biomechanical factors such as abrasion, attrition, erosion, and abfraction. Dietary habits, parafunctional activities, systemic diseases, and oral hygiene practices … Read more

The truth about dental tourism: When initial cheap dental treatment causes expensive biological and financial consequences

Adobe Stock / Generated by AI

As a practicing prosthodontist in Toronto, I’m experiencing a disturbing trend in clinical practice which is causing expensive biological and financial consequences for our patients. On average, a few patients per month are being referred to my specialty practice after some full-mouth reconstruction, cosmetic, and/or implant dentistry was initiated in another country. Patients return to … Read more

Multidisciplinary approaches to restoring vertical dimension of occlusion: Two clinical case studies of collapsed bite and symptoms of TMJ pain dysfunction syndrome

Lee-Fig9 alternate text for this image

Abstract Tooth wear due to aging is a natural physiological process that generally does not negatively impact individuals unless exacerbated by parafunctional habits such as bruxism or congenital anomalies. This paper explores the implications of the loss of vertical dimension of occlusion (VDO) and its effects on the stomatognathic system. Symptoms of temporomandibular joint (TMJ) … Read more

A case report on an immediate anterior implant with immediate provisionalization using the extracted natural tooth

5. Guide pin placement alternate text for this image

The integration of immediate dental implants with provisional restorations is a technique that addresses both functional and aesthetic concerns, particularly in the anterior region where appearance is critical. The traditional protocol for dental implant placement involves a healing period between tooth extraction and implant insertion. Advances in implantology have allowed for immediate implant placement and … Read more

Digital workflows for conversions in full arch implant dentistry

li-thumbnail alternate text for this image

Implant treatment for full arch fixed restorations have been around for decades now.1, 2, 4 The treatment usually involves 4-6 implants placed in either the maxilla or mandible which is then restored with a fixed partial denture.5 One of the benefits of this treatment is the ability to achieve a new fixed temporary set of teeth on … Read more

Optimizing outcome with palatally-placed implant in the esthetic zone: A clinical case

Al-fig 1- MAIN alternate text for this image

Abstract: Objective: To address the challenges and solutions involved in restoring a dental implant palatally placed in the esthetic zone. Background: Proper implant placement in the esthetic zone is essential for achieving optimal functional and esthetic results, however, ideal placement is not always possible. Implants positioned too palatal can lead to esthetic concerns such as … Read more

Innovative lower anterior implant therapy utilizing a minimally invasive implant osteotomy creation process

Fig 33 alternate text for this image

Lower anterior dental implant therapy can be a challenging and highly detail-oriented endeavor. These challenges can include aspects such as bone and tissue volume deficiencies, implant positioning, and restorative designs/contours. We as clinicians have the very best chance to complete acceptable surgical-prosthetic esthetic results in this area, through proper treatment planning and implant positioning. Implant … Read more

Simplified immediate implant placement and provisionalization

Freund-fig 5a alternate text for this image

Abstract “Immediacy” as a treatment concept has evolved over time. With the introduction of nano-modified implant surfaces, osseointegration has become faster and more predictable. This technology has allowed for the development of protocols that make immediate implant placement and provisionalization a desirable clinical reality. One of the remaining procedural obstacles for many practitioners is the … Read more

Current management strategies for peri-implant diseases

Hsiao-fig_8 alternate text for this image

Dental implants have become a widely accepted solution for restoring both function and esthetics in partially or fully edentulous patients, through the use of either fixed or removable prostheses. Systematic reviews have consistently demonstrated high survival rates for both implants and prosthetic components, with an overall success rate of approximately 94.6%.1,2 However, peri-implant diseases remain … Read more

The patients’ perspective

AdobeStock_480211364 alternate text for this image

As dental healthcare professionals, we dedicate our career and lives to care for our patients, often becoming so engrossed in our clinical responsibilities that we take for granted their individual experiences as patients. Recently, I found myself on the other side of the medical equation as a patient undergoing an elective medical surgical procedure. This … Read more

The Role of Orthodontic Extrusion and Intrusion in Implant Prosthodontics

DeS-Fig 3 alternate text for this image

Dentists are constantly challenged in clinical practice to make decisions about whether to save or extract compromised teeth. Crown lengthening and orthodontic extrusion are techniques that have been used to provide restorations with improved longevity.1 Crown lengthening establishes a healthy relationship of the restoration to the periodontium by maintaining the biologic width. However, the procedure … Read more

The Laws of Lifetime Growth and Success in Dentistry

oral-health-november-2023 alternate text for this image

In 2023 I celebrate my 30th year in dentistry. After graduating from dental school in 1993, I pursued a year of general practice residency, followed by 12 years as a general dentist. Subsequently, I spent three years in post-graduate studies, specializing in prosthodontics, which I have been practising for the last 14 years. Throughout my … Read more