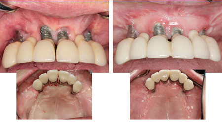
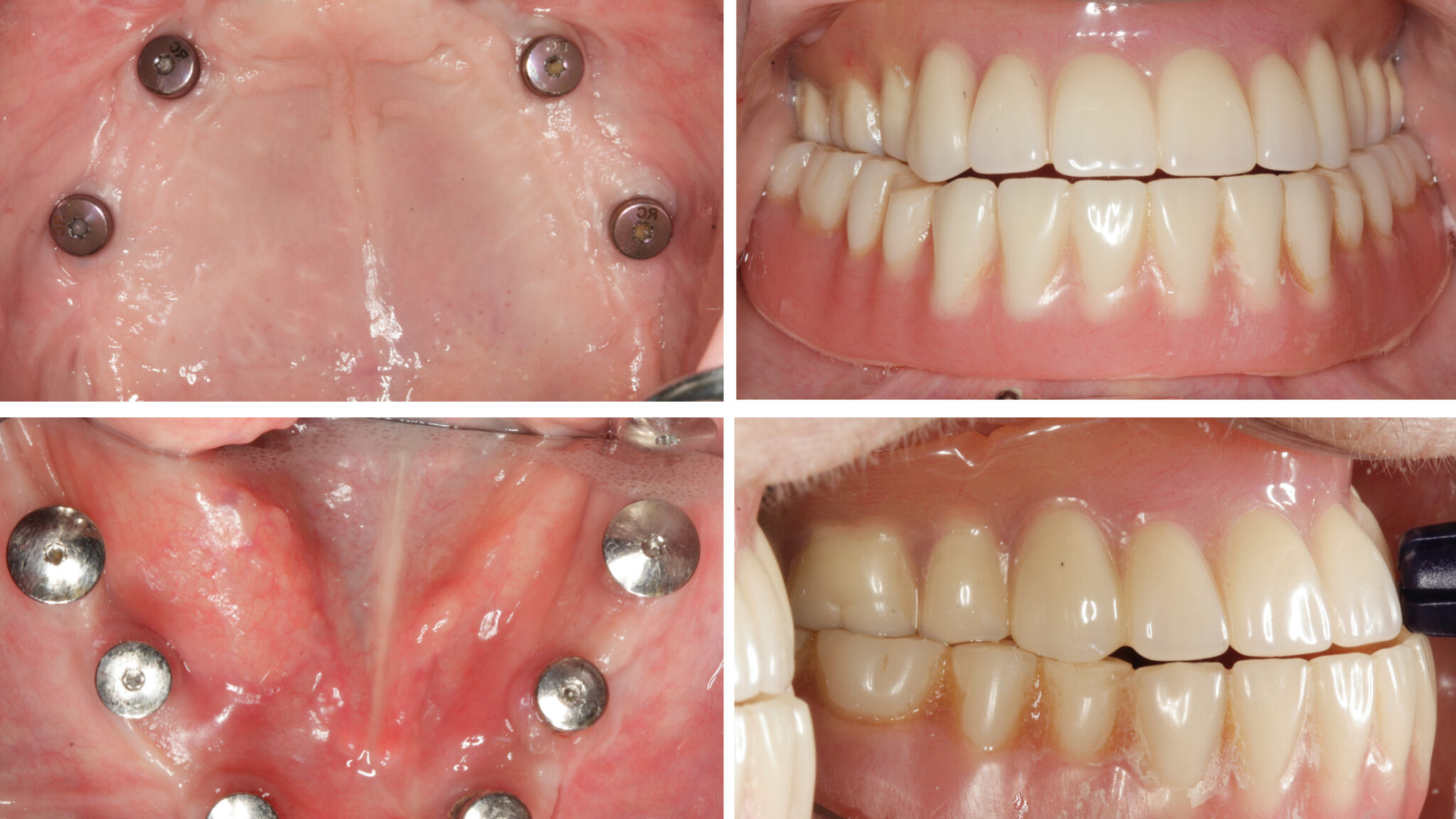
The Best of Both Worlds: A Hybrid Digital-Analog Workflow for a Maxillary Full-Arch Implant-Supported Prosthesis

eic_replace alternate text for this image

Full arch implant-supported fixed protheses have become a highly desired solution for the rehabilitation of patients with terminal dentition or completely edentulous arches. New developments in digital dentistry have enabled practitioners to extract vital information from intraoral scans and cone beam computed tomography (CBCT) to plan and execute fully guided implant placement that is prosthetically … Read more

Kanye West Receives ‘Experimental’ Titanium Dentures

titanium

Kanye West revealed his new titanium dentures on his Instagram story earlier this week. Page Six recently reported the fixed prosthodontics cost $850,000 and were designed by West along with Dr. Thomas Connelly, celebrity dentist known for completing multi-million dollar work on famous faces. This experimental dentistry was inspired by Jaws, the James Bond villain, … Read more

dentalcorp and Envista Partner to Offer Dental Implants Across 500+ Practices Nationwide

Tooth and dental implant X-ray alternate text for this image

dentalcorp Holdings Ltd. (“dentalcorp” or the “Company”), (TSX: DNTL), Canada’s largest and one of North America’s fastest growing networks of dental practices, announced a new partnership with Envista to expand implant services to Canadians. This partnership further strengthens dentalcorp’s relationship with Envista and its comprehensive portfolio of companies. Including dental implants and treatment options, Envista offers digital imaging technologies … Read more

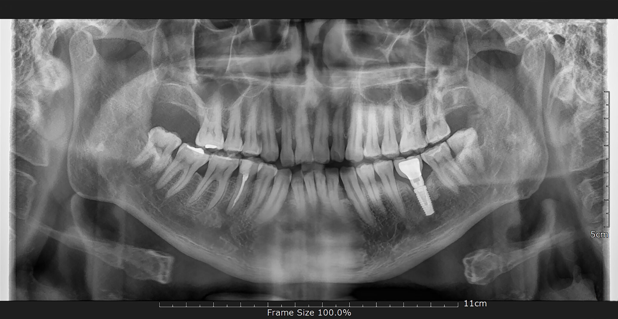
Prognosis of Implants in Previously Failed Surgical Sites

Desouza-case-3-fig-6-thumbnail alternate text for this image

Introduction Implant therapy has been shown to be predictable, effective and reliable for the replacement of missing teeth in edentulous and partially edentulous patients. Clinical evidence has demonstrated long-term (>10 years) survival rates up to 95% (Moraschini et al., 2015). Despite the high success and survival rates of dental implants, failures can and do occur. … Read more

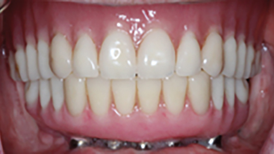
An Alternative Prosthetic Design for Lower Full-Arch Implant Restorations

Frontal view of finished prosthesis.

Replacing a full set of teeth with dental implants, especially in the mandible, has been well researched and is often a life-changing treatment for many patients. This treatment involves the extraction of failing teeth, immediate implant placement, immediate loading of the implants with a fixed provisional prosthesis, followed by the fabrication of a definitive prosthesis … Read more

Rehabilitation of Both Failing Implants and Remaining Dentition with Implant Overdentures: A Case Report Part 2: Prosthetic Treatment

dabuleanu-thumbnail alternate text for this image

Introduction This publication is a continuation of the case report published in 2020, on rehabilitation of both failing implants and remaining dentition with implant overdentures. Prosthetic treatment was delayed last year due to COVID-19. Prosthetic Treatment The patient’s provisional upper denture was under-extended to maximize support, retention, and stability in light of the horizontal prosthetic … Read more

Rehabilitation of Both Failing Implants and Remaining Dentition with Implant Overdentures: A Case Report

Dabuleanu-fig-23-thumbnail alternate text for this image

Introduction A removable overdenture prosthesis is a practical rehabilitative alternative to a conventional complete denture as it is more comfortable, retentive, and satisfying for patients. It is a cost-effective alternative to a fixed implant-supported complete denture.1 Advancements in diagnostic, surgical and prosthetic technologies, combined with clinical research comparing different treatment outcomes, have resulted in an … Read more

Transition From A Removable To A Fixed Implant-Supported Prosthesis: A Case Report

fixed implant

Abstract Incorporation of dental implants to support fixed and removable prostheses is an effective treatment modality for edentulous patients that provides enhanced patient function, comfort and overall quality of life in comparison to a conventional complete removable prosthesis. Both fixed and removable implant-supported prostheses for edentulous patients have specific indications although in many clinical situations … Read more

Periodontal And Prosthodontic Management Of Class III Malocclusion: A Case Report

Dubleneau-28—Intraoral-view-of-cemented-tooth-and-implant-crowns alternate text for this image

Introduction Modern implant dentistry has been shown to yield excellent well-documented long-term results, with 10-year success and survival rates above 95%.1 Dentists now have the choice of using an array of preoperative planning tools, both conventional and computer-aided, to help them assess potential rehabilitative treatment solutions for their patients. Diagnostic wax-ups have been a critical … Read more

Safer Implant Treatment

Implant Treatment

Knowledge is forever advancing. In my early days when my computer froze, I used to think “What did I do wrong now.” Today I think “What is wrong with this computer!” No, it’s not always the clinician that is to blame for problems. Many systems that we have come to use daily, are simply flawed. … Read more

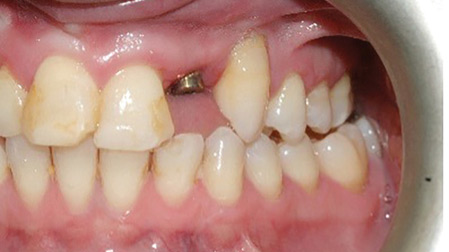
A Stepwise Approach: Restoring a Failed Maxillary Anterior Tooth

dabuleanu-40-final-abutment-made-out-of-zirconium-oxide alternate text for this image

Introduction This case report will discuss a staged approach for the delivery of implant therapy in the upper anterior jaw. A crown-down surgical approach was used to help determine the ideal prosthetic location for implant placement. Cone beam CT imaging was utilized to visualize the available volume of bone. Treatment was delivered in stages, to … Read more

Dental Implant Market on the Rise Due to Injuries and Aesthetic Awareness

The global dental implants market is expected to be USD 6.81 billion by 2024, based on a new report by Grand View Research, Inc. Rising demand for tooth (or teeth) replacement has provided good growth potential to the market. Growing number of dental injuries owing to road accidents and sport injuries are also considered as some of … Read more

FAQ #2: Implant Complications

Mark2 alternate text for this image

Click to watch more Dental FAQ videos. Dr. Mark Lin discusses the various categories of implant complications. Dr. Mark Lin has given numerous lectures, presentations and courses on the topics of Implant Dentistry (Surgical/Prosthetics), live surgical and prosthetic demonstrations with patient treatment, human cadaver surgical and implant courses, anterior implant aesthetics, implant complications and practice … Read more

The screw is the clue

Uploaded by AshleyMarkDMD1 on Feb 2, 2012 A great technique and real life experience of having an abutment screw strip while trying to remove the screw retained crown. Dr. Kaep was on the ball as he dove into make a groove into the head of the screw w/ a small round highspeed bur, and then, use a philips-esque … Read more

Your Personal YOUTUBE Digest

[youtube]http://www.youtube.com/watch?v=tpFay9szUi4[/youtube] For those of you who use GOOGLE religilously (that’s intentional), I urge you to sign up for ALERTS – as we all know, the dental world needs more LERTS. Check out Dr. Veisman’s video above and the 13 videos associated with it. Or the 13 videos associated with this presentation – [youtube]http://www.youtube.com/watch?v=suVpuB-K9mk[/youtube] Or the 117 … Read more

Peri-implantitis in a specialist clinic of periodontology. Clinical features and risk indicators.

Swed Dent J 2010;34(2):53-61 Carcuac O, Jansson L. Source Department of Periodontology at Kista-Skanstull, Folktandvården i Stockholms Iän AB, Stockholm,Sweden. Abstract Implant therapy has become a widely recognized treatment alternative for replacing missing teeth. Several long term follow-up studies have shown that the survival rate is high. However, complications may appear and risk indcators associated … Read more

Nobel Biocare recognized for its website – reflections on a positive corporate culture

From Dental Tribune – October 2nd, 2011 ZURICH, Switzerland: Nobel Biocare has been awarded the “Best Medical Website” WebAward by the Web Marketing Association. The Swiss provider of innovative restorative and aesthetic dental solutions also received awards for “Best Online Reporting” and “Best Online Value Reporting” ahead of 249 leading companies in Switzerland through the … Read more

Down but not out: Implant makers navigate economic storm

From DrBicuspid.com – Rob Goszkowski –  October 3, 2011 — The placing of a titanium dental implant by Per-Ingvar Brånemark into the mouth of a volunteer in Sweden in 1965 was a turning point in restorative dentistry. Over the past 40 years, dental implants have become a preferred means of treatment for missing teeth for many … Read more