NIDCR awards US$2.91M to study why dental implants sometimes fail

Clinical studies generally report implant survival rates approaching 95–98 per cent. (iStock)

The National Institute of Dental and Craniofacial Research (NIDCR), part of the National Institutes of Health, has awarded US$2.91 million to the Eastman Institute for Oral Health (EIOH) to investigate why dental implants sometimes fail and how those failures might be prevented. Dental implants made of titanium have been used successfully for decades to replace … Read more

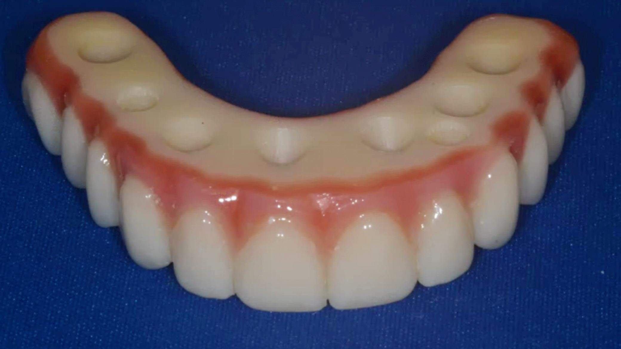
Layered intraoral scanning for longitudinal soft tissue monitoring

Layered-intraoral-scanning-for-longitudinal-soft-tissue-monitoring alternate text for this image

Abstract Monitoring peri-implant soft tissue stability has long been hindered by the subjectivity and limitations of traditional methods such as probing, photography, and radiography. Layered intraoral scanning offers a reproducible digital method to detect subtle changes in soft-tissue morphology over time. By superimposing baseline and recall scans, clinicians can identify early shifts in papilla height, … Read more

Impact of medications on osteointegration and implant survival

Ting-impact-osteointegration-implant-survival alternate text for this image

Dental implants are the preferred treatment for edentulous and partially edentulous patients. Over the past decade there has been an increasing number of dental implants placed in patients each year.1 The longevity of dental implant integration is challenged with the increase in life expectancy. This increase in life expectancy is most often associated with an increase … Read more

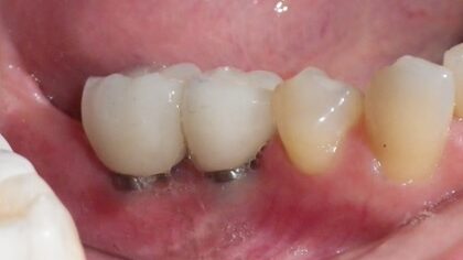
Management of prosthetic complications in hybrid implant-supported fixed prostheses

kucey-is-fdp alternate text for this image

Full-arch, implant-supported fixed dental prostheses (IS-FDP) are a well-established restorative option for the replacement of missing and terminal dentition. There are multiple suprastructure configurations and materials from which clinicians can consider, including acrylic resin to metal, metal-ceramic, monolithic zirconia, and porcelain fused to zirconia prostheses. Frameworks are composed of either titanium alloy, chromium cobalt, or … Read more

Streamlining the full arch implant solution

Picture 4b alternate text for this image

Abstract There is a growing demand for fixed full arch implant supported restorations.1 The procedures associated with this type of treatment can be daunting due to the complexity of all aspects of this treatment modality, from the initial data gathering and diagnosis to the surgical and prosthetic treatment implementation.2 Recent technology with its associated workflows can streamline … Read more

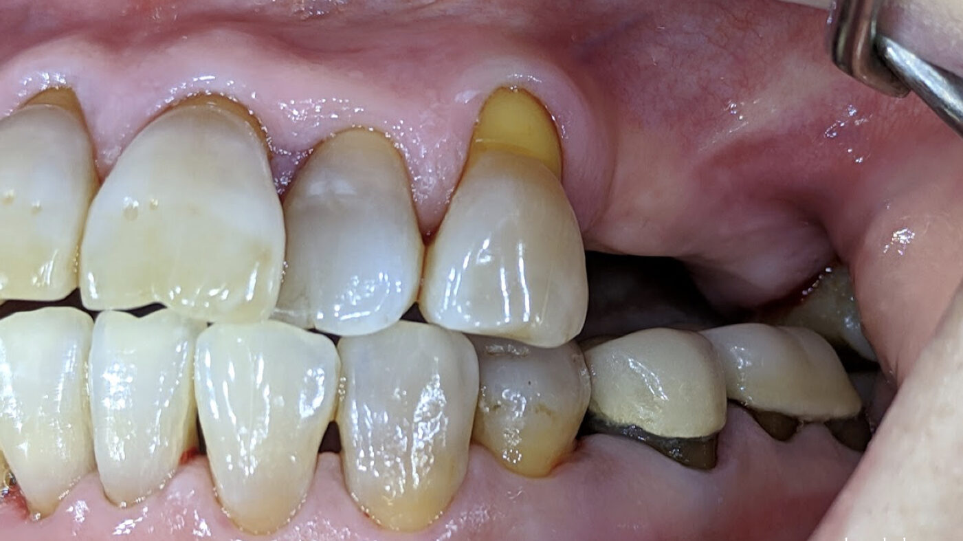
Replacement of a failing upper anterior bridge with dental implants: Case report

Fig 5 alternate text for this image

A 75-year-old male patient developed a problem with a tooth supported bridge for the upper right central and left central and lateral incisor teeth that had been in situ for more than twenty years. One of the supporting teeth had become loose and the referring dentist noticed the upper left abutment tooth was grossly carious … Read more

From AI in the office to robot-assisted dental implant surgery

Cartoon Color Characters People Robotic Surgery Concept Flat Design Include of Surgeon, Robot and Patient. Vector illustration

ChatGPT has transformed your admin workflows and treatment notes. Now, meet the robots entering your operatory.1 1. The rise of surgical robotics When the da Vinci Surgical System launched in July 2000, it proved to general surgeons that robotic-assisted surgery, offering high-definition 3D views and built-in tremor-filtration technology, could be effectively applied to a wide … Read more

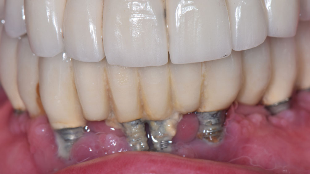
Silent progression: Full-arch implant peri-implantitis after 25 years without maintenance

full-arch-implant-peri-implantitis-paleolog alternate text for this image

In the patient’s pursuit of restoring both aesthetics and function, dental implants have become one of the most widely used treatment modalities for the rehabilitation of partially and completely edentulous cases. Despite their high long-term success rates, dental implants remain susceptible to biologic complications such as peri-implant mucositis and peri-implantitis. These peri-implant diseases are primarily … Read more

Innovative lower anterior implant therapy utilizing a minimally invasive implant osteotomy creation process

Fig 33 alternate text for this image

Lower anterior dental implant therapy can be a challenging and highly detail-oriented endeavor. These challenges can include aspects such as bone and tissue volume deficiencies, implant positioning, and restorative designs/contours. We as clinicians have the very best chance to complete acceptable surgical-prosthetic esthetic results in this area, through proper treatment planning and implant positioning. Implant … Read more

Simplified immediate implant placement and provisionalization

Freund-fig 5a alternate text for this image

Abstract “Immediacy” as a treatment concept has evolved over time. With the introduction of nano-modified implant surfaces, osseointegration has become faster and more predictable. This technology has allowed for the development of protocols that make immediate implant placement and provisionalization a desirable clinical reality. One of the remaining procedural obstacles for many practitioners is the … Read more

All on X and the Patient Experience

tremblay_featured alternate text for this image

Key Words Dental implants, Concept, function, biomechanics, esthetics, mastication, full-arch restoration, financial investment, quality of life, “All-on-4” and patient satisfaction The world is aging – epidemiological studies show that 11% of the world’s population is over 60 years of age, with a projected increase, by 2050 to 22% of the population.1 Metrics from the Center for Disease Control’s … Read more

Antiresorptive Medication Effects on Dental Implant Survival and Implant-Related Jaw Osteonecrosis

Antiresorptive therapy: 1) decreased osteoclastogenesis leads to osteoclast apoptosis and decreased bone resorption; 2) decreased osteoblastogenesis leads to decreased bone formation.19

Dental implants to replace missing teeth are a predictable treatment option with survival rates ranging as high as 98 to 99%.1-6 Antiresorptive agent-related osteonecrosis of the jaw (ARONJ) is a serious dental surgical post-operative risk for patients on antiresorptive medications, and may also interfere with dental implant osteointegration. The data on antiresorptive medication-associated implant failure … Read more

Cutting-edge Implant Technology Developed by UCLA Researchers

3d image of tooth implant going to jaw bone alternate text for this image

Researchers from UCLA School of Dentistry have developed dental implant technology “that ensures near-perfect osseointegration, faster healing times, and significantly reduced complications for patients,” reports the school. The team was led by Takahiro Ogawa, D.D.S., Ph.D.. The team discovered a method of using ultraviolet (UV) light treatment to improve efficiency of dental implants, provide faster … Read more

Segmental Posterior Maxillary Edentulism Rehabilitation with Dental Implants: A Case Report

Fig 9 – Post surgery follow up at 4months alternate text for this image

Edentulism in the posterior maxillary region presents a challenging scenario for dental implant rehabilitation due to vertical ridge dimension bone loss and the close proximity to the floor of the maxillary sinus. In addition, alveolar ridge width loss and thinning of mucosa is a common clinical scenario in areas of long term tooth loss. To … Read more

Management of Infraoccluded Dental Implants in Congenitally Missing Lateral Sites: A Case Report

Figure 1 alternate text for this image

Missing maxillary lateral incisors are one of the most common congenitally missing tooth conditions that exists and occurs in approximately 1-3% of the population.1 It is the most common missing tooth after the second premolar when excluding third molar agenesis and has been reported to be more prevalent in females and occurs more bilaterally than … Read more

Adaptive Implant Placement: Planning for the Long-Term

Zarb fig 3 alternate text for this image

Surgical protocols for osseointegrated implant placement have evolved significantly over time. It was not so long ago that the standard practice for implant surgeons was to place implants ‘where the bone was’ and let the restoring dentist deal with the myriad prosthetic problems this often created. In the early days of implants, this surgical paradigm … Read more

Dental Implant Quality of Health Scale

Figure 4a Moderate Stage Peri-implantitis with gingival inflammation alternate text for this image

Dental Implants have impressive success rates approaching 95-97% and have become a preferred treatment plan for edentulous and partially edentulous dentitions for both patients and clinicians. However, success rates have increasingly been dampened by reports of implant failures with varying degrees of success for clinical rescue. Initial signs and symptoms for implant diseases have now … Read more

Letter to the Editor Re: “Dental Implant Failure and the Association with Proton Pump Inhibitors (PPIs) and Selective Serotonin Reuptake Inhibitors (SSRIs)”

oral-health-february-2023 alternate text for this image

Letter to the Editor: As a practitioner, who spends a good deal of time embedded in Implant Dentistry, both chair side, and in the educational realm, I was curious to see the latest findings in the article, entitled, “Dental implant failure and the association with proton pump inhibitors and selective serotonin reuptake inhibitors.” There is … Read more

Register Now for Dentsply Sirona’s Implant Solutions World Summit 2023

Dentsply Sirona’s Implant Solutions World Summit 2023

Registration for Dentsply Sirona’s Implant Solutions World Summit 2023 is now open. The congress is taking place in Athens, Greece, from June 8 to 10 and will feature more than 40 international speakers. There will be stage presentations, hands-on workshops and break-out tracks on esthetics and the digital dentistry ecosystem. Implant professionals are invited to … Read more