Reality and current status of the peri-implant diseases management

Figure 5a alternate text for this image

Over the past few decades, patient demand and inquiries regarding dental implants have increased significantly. Today, more than 100 commercial implant brands exist, with an estimated 12–15 million implants placed annually worldwide.1 As a result, by 2023, over 200 million patients globally were living with dental implants. According to Grandview Research, North America accounted for 38.4% … Read more

Silent progression: Full-arch implant peri-implantitis after 25 years without maintenance

full-arch-implant-peri-implantitis-paleolog alternate text for this image

In the patient’s pursuit of restoring both aesthetics and function, dental implants have become one of the most widely used treatment modalities for the rehabilitation of partially and completely edentulous cases. Despite their high long-term success rates, dental implants remain susceptible to biologic complications such as peri-implant mucositis and peri-implantitis. These peri-implant diseases are primarily … Read more

The periodontal network

the-periodontal-network alternate text for this image

When a 45-year-old patient presents with Stage IV, Grade C periodontitis alongside unexplained cervical lymphadenopathy, the question is not just about pocket depths. It is about recognizing that you are looking at a biological network in distress, one where local inflammation has activated systemic pathways that extend far beyond the gingival margin. This scenario is not hypothetical. … Read more

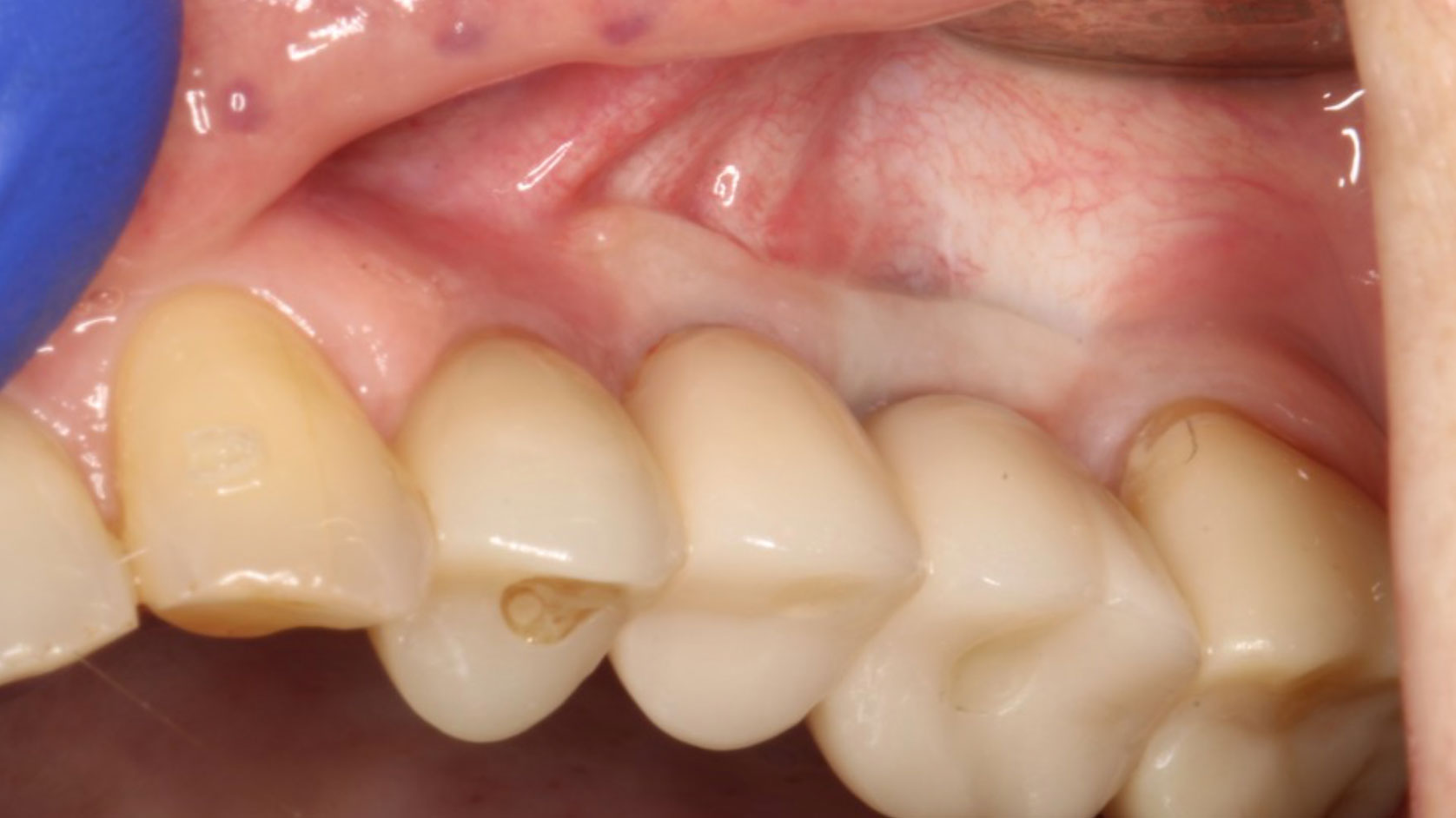
The importance of healthy, thick peri-implant soft tissue: Characteristics, management, and prevention of complications

peri-implant-soft-tissue alternate text for this image

The quality of peri-implant soft tissue plays a pivotal role in the long-term success of dental implants. Thicker peri-implant mucosa, particularly when accompanied by adequate keratinized mucosa, is associated with enhanced aesthetic outcomes, reduced risk of peri-implant diseases, and improved patient satisfaction. The peri-implant soft tissue complex, encompassing the keratinized mucosa (KM), mucosal thickness (MT), … Read more

Spontaneous resolution of advanced peri-implantitis

Spontaneous-resolution-advanced-peri-implantitis alternate text for this image

Abstract Background: Peri-implantitis is a serious complication for both patients and clinicians. Affected implants typically show extensive bone loss in radiographs, are difficult to manage and usually lead to implant loss leaving significant alveolar bone defects. Methods: In 2009 the patient reported here received two endosseous implants to replace his mandibular left second bicuspid and first molar … Read more

Peri-implantitis: How to Reduce Risk and Manage Implant Failure?

Suzuki-Fig-3-thumbnail alternate text for this image

Abstract Peri-implantitis can lead to implant failure. Strategies to reduce risks and treat peri-implantitis can manage implant failure and restore function. These strategies can be derived from information on peri-implantitis progression in patients, including prevalence, diagnostic and microbial findings, the impact of systemic diseases, and peri-implantitis therapies. These reports suggested that: 1) peri-implantitis is higher … Read more

Host-Modulation Therapy for Peri-Implantitis: Current Systemic and Future Medical Applications Recognizing the Potential Systemic Impact of Peri-Implantitis on Systemic Disease

OCTOBER-2021 alternate text for this image

Introduction It is well known that current strategies for managing peri-implant mucositis and peri-implantitis are highly varied, and in many cases, unpredictable. This is an important issue since evidence suggests that the prevalence of peri-implant mucositis and peri-implantitis range from 22–43 percent of implants placed.1 In most cases, the existing model for treating chronic periodontitis … Read more

Regenerative Surgical Therapy for the Treatment of Peri-Implantitis: A Case Report

Bhide-Figure5 alternate text for this image

Introduction Peri-implantitis is a high prevalence, biofilm-initiated pathological condition characterized by inflammation of the peri-implant mucosa with progressive loss of supporting bone surrounding a functional endosseous implant.1-3 If left untreated, peri-implantitis can lead to loss of osseointegration and ultimately, implant failure. Current therapeutic approaches for peri-implantitis include non-surgical and surgical treatments followed by ongoing supportive … Read more

Peri-implantitis

august-feature-image alternate text for this image

Implants are more common today than ever before. Even dentists who don’t provide implant treatment commonly see patients who have implants. This has changed the face of dental practice across the world. Clinicians who do not offer root canal treatment still need to assess and diagnosis the status of root canal treated teeth. The same … Read more

Antimicrobial Film Could Revolutionize Common Dental Procedures

Three million people in the United States currently have dental implants, and every year that number increases by about 500,000. But, for some, getting a dental implant is not the end of the story. Similar to what occurs with a natural tooth, bacteria can build up on the implant‘s base and below the gum line. Over time, the … Read more

OraCare: A Simple Solution to Protect Your Implants

oracare alternate text for this image

The new Implant Post-Op Care System from OraCare is a simple solution to protect implants from the number-one cause of failure — peri-implantitis. Studies show that as many as 10% of all dental implants fail, with the main cause being peri-implantitis. 47% of all dental implants have been shown to have peri-implantitis, which can affect … Read more

Peri-Implantitis Solea CO2 Laser: Clinical Case Report

OHSP-Kusek-main alternate text for this image

Introduction According to the Seventh European Workshop, 15-30% of all implants placed will develop peri-implantitis. Three million people have implants and this number is growing by 500,000 a year. Thus, peri-implantitis cases will grow up to 450,000 with an additional 75,000 which are expected to occur annually. 1 Clinicians will need to find appropriate treatment … Read more

Peri-Implantitis and The Risk Factors

Leya-2A IMG_5808 alternate text for this image

To view figures, click on figure mentions throughout the article. Keywords peri-implantitis, implant, diagnosis, etiology, risk factors Abstract This review paper is to enable a better understanding of the biological complications that can occur after osseointegration on an implant. Inflammation of the soft and hard tissues around implants, also known as peri-implant mucositis and peri-implantitis … Read more

Peri-implantitis in a specialist clinic of periodontology. Clinical features and risk indicators.

Swed Dent J 2010;34(2):53-61 Carcuac O, Jansson L. Source Department of Periodontology at Kista-Skanstull, Folktandvården i Stockholms Iän AB, Stockholm,Sweden. Abstract Implant therapy has become a widely recognized treatment alternative for replacing missing teeth. Several long term follow-up studies have shown that the survival rate is high. However, complications may appear and risk indcators associated … Read more

The McKenzie brothers are not the only truly famous Canadians

From Dr. Bicuspid and the very lovely Kathy Kincade April 6, 2011 — A team of Canadian researchers is developing a diagnostic tool they say can enhance the early detection and monitoring of peri-implant inflammation and thereby reduce the number of implant failures (Journal of Periodontal Research, March 11, 2011). Read more…………