The Dawn of Bioactivity

Periodontal Disease

The world is changing rapidly and shows no sign of slowing down. It often feels like we are completely surrounded by gloom and doom – businesses closing, people being laid off, the nature of so many industries losing their focus and their way… But not so dentistry! In a world that has been turned upside … Read more

2017 is Truly the Year to Celebrate 150 Years

Crawford dental office 1 alternate text for this image

On July 1, 2017 Canada celebrated its 150 years of Confederation. The early struggles to bring our vast country together was indeed a wonderful achievement. John A. Macdonald was the leading figure which resulted in the British North America Act that gave birth to Canada as a nation and he was the first prime minister … Read more

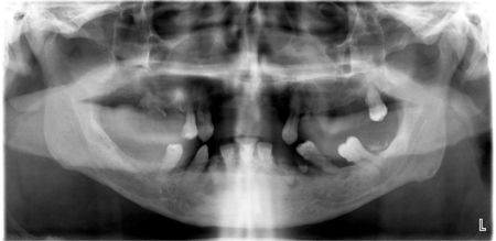
Natural Adjunct to Post-Operative Management After Third Molar Surgery

Tatch Fig 3 alternate text for this image

Removal of wisdom teeth is one of the most common procedures performed in Oral and Maxillofacial Surgery. The most common postoperative complications of impacted lower third molar extractions are extended pain, trismus and facial swelling. These symptoms slow down the patient’s recovery and influence his or her ability to resume normal daily activities. 1-4 Many … Read more

Gingival Augmentation: High Powered 970nm Diode Laser

Benjamin fig 1 alternate text for this image

Early analysis and diagnosis of soft tissue abnormalities and discrepancies enhances the clinician’s ability to attain the best possible outcomes with minimally invasive procedures. All too often, conditions are allowed to progress to their more advanced stages due to the erroneous thought process that the treatment is more disruptive than the pathologic condition itself. Today, … Read more

Silver Diamine Fluoride: NEW in North America!

Martel Fig 1 alternate text for this image

Dental caries is one of the most prevalent diseases affecting humans. Unfortunately, we do not yet have a grip on! 1 Over the years, researchers have actively looked for methods for treating and arresting decay other than traditional restorative options. Silver nitrate has been used for more a thousand years. G.V. Black, a founding father … Read more

One Appointment Crowns and Bridges

valerio-6 alternate text for this image

Abstract Manual tooth preparation has not changed over the past few decades. However, new dental materials, minimal invasive dentistry techniques and new digital technologies can improve dental preparations to reduce common errors in clinical practice that are essential for the correct delivery of any restoration. The aim of this article is to present the basic … Read more

The Silver Words of a Visiting Rich Dentist

at-the-root alternate text for this image

While in residency at MetroHealth hospital in downtown Cleveland, my class of GPRs were visited by a very successful dentist from a nearby suburb. He felt it tremendously necessary to emphasize how lucrative his private practice was. He was, in our eyes, the picture of success, and he welcomed our admiration. During his presentation, he … Read more

Oral Health Recognizes Significant Corporate Milestones

Colgate alternate text for this image

Colgate-Palmolive William Colgate opened his small soap and candle business in 1806, one of the first establishments along Dutch Street in lower Manhattan. By 1873 the company had turned its attention to oral care and commercially produced the first nice smelling toothpaste. It was sold in a jar. The 21st century has seen the introduction … Read more

Accuracy and Resolution in 3D Digital Scanning

parker Fig 4 NEW alternate text for this image

There are many 3D intra-oral and laboratory scanners entering the market, creating a growing trend of digital scan use for impressions, and replacing traditional techniques. With so many systems available, it is time for the practitioner to begin considering the transition to digital 3D scanning. There is much discussion on industry blogs, dental industry web … Read more

Not All Occlusal Splints Are Created Equally

Klausz Figure 8 alternate text for this image

Splint therapy has become one of the most prevalent aspects of dentistry over the last number of years. Patients are presenting with multiple reasons for needing this type of dental intervention. From TMJ pain to severely wearing away the enamel of their natural teeth, the devastation and destruction that bruxing and clenching (parafunction) can cause … Read more

A Rare Complication of a Retrobulbar Hematoma Formation

Pompura fig 5 alternate text for this image

Following the Extraction of an Impacted Maxillary Wisdom Tooth The on-call team of Oral and Maxillofacial Surgery was notified to assess and treat a complication of retrobulbar hemorrhage and hematoma following the extraction of a left impacted maxillary wisdom tooth. This case is unusual as an ophthalmologic complication secondary to a dental extraction is very … Read more

An Unusual Penetrating Injury of the Cheek

Penetrating Injury

Foreign bodies in the cheek, face or oral cavity may be the result of traumatic injuries, self-inflicted or iatrogenic dental or surgical procedures. Penetrating pencil and pen injuries have been reported in the literature, most commonly in children, with the head and neck being the most common site. 1 Injuries from pens and pencils can … Read more

Surgical Misadventures: The Broken Needle

Morrison pic 4A alternate text for this image

The retrieval of a broken dental needle demands a detailed knowledge of the relevant anatomy and the application of a meticulous surgical technique. These factors are emphasized in the following article. Case Report Our oral surgery office received a phone call from a dental office regarding a needle that broke off at the hub while … Read more

Oral Injury as a Source of Tetanus Inoculation

Davis pan1 alternate text for this image

Abstract Tetanus is a serious, life threatening infection caused by the bacterium, Clostridium tetani. Due to almost widespread vaccination against tetanus toxoid the incidence in the developed world is extremely low. Vaccination in childhood does not result in lifelong immunity and requires “booster” doses of the vaccination every ten years. In the United States, the … Read more

Teeth Displaced: Teeth at the Time of Surgery

Armstrong pic 2B alternate text for this image

Abstract Inadvertent displacement of teeth or fragments of teeth beyond the tooth socket during extraction is an uncommon occurrence. In this paper, we present two cases of displacement of impacted third molars, one maxillary and one mandibular. We outline our removal technique as well as some general management considerations, should this situation arise. Most importantly … Read more

Radiofrequency Ablation for Management of Mental Nerve Neuropathy

Penetrating Injury

Often referred to as “numb chin syndrome”, mental nerve neuropathy is a sensory neuropathy characterized by an altered sensory perception along the distribution of the mental nerve. Patients may present with anesthesia, paresthesia, dysesthesia, neuropathic pain or a combination of these symptoms. The impact that these symptoms can have on a patient cannot be underestimated. … Read more

CAOMS, An Acronym: What’s In It?

Penetrating Injury

It behooves me to talk about CAOMS as a recently appointed executive director to the organization. Let me first mention I’ll be as excited as uncomfortable trying to walk in shoes quite larger in size than my small footprint. So happens when one follows Chris Robinson in a task. Back at consonants and vowels: C … Read more