Treatment of Dental Sensitivity

Lawson-FIG-3.1 alternate text for this image

Dentin hypersensitivity (DH) is a clinical symptom experienced due to exposed dentin from either enamel loss (erosion, abrasion, abfraction) or removal of cementum exposed through gingival recession. DH is seen commonly in patients with gingival recession, dental erosion, toothbrush abrasion, or following dental bleaching. Aside from the discomfort experienced from eating, drinking, or exposure to … Read more

Paid

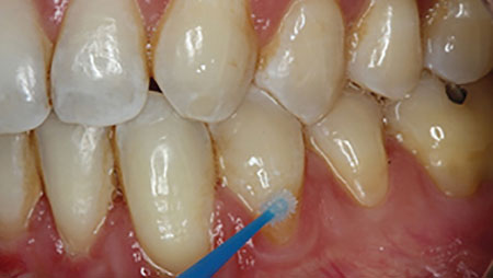
MANAGING TOOTH SENSITIVITY IN OFFICE AND AT HOME

  Tooth sensitivity is a common complaint from patients. According to a study published in the Journal of the American Dental Association, 12.3 percent of responding patients were diagnosed with dentin hypersensitivity.1 Dental hygienists review patient history, X-rays and identify any current symptoms to help dentists determine the cause of the sensitivity.  Once dental caries and … Read more

Evaluation of two imaging techniques: near-infrared transillumination and dental radiographs for the detection of early approximal enamel caries

From Dentomaxillofacial Radiology/British Institute of Radiology A M A Maia, L Karlsson, W Margulis and A S L Gomes Objectives: The aim of this paper was to evaluate a transillumination (TI) system using near-infrared (NIR) light and bitewing radiographs for the detection of early approximal enamel caries lesions. Methods: Mesiodistal sections of teeth (n = 14) were cut with various thicknesses from … Read more

GLO Brilliant Personal Teeth Whitening Device Launches Nationwide At Sephora

I was in Sephora today picking up eyeliner and mascara for a Goth evening on the town – pause, 1, 2, 3……humour arh, arh…. GLO Science, LLC, introduces the GLO Brilliant Personal Teeth Whitening Device–available in Sephora stores nationwide and on Sephora.com–today, Thursday May 12. The Smile Revolution is here! The GLO Brilliant Personal Teeth Whitening Device … Read more

Introducing Colgate’s New Sensitive Pro-Relief

On Monday, September 27th, Oral Health was invited to be at the product launch for Colgate’s new Sensitive Pro-Relief desensitizing paste. Using the lovely backdrop of Sassafraz Restaurant in Yorkville, Toronto and with special guest Dr. Bill Dorfman on hand, Colgate unveiled this new paste which,  with Pro-Argin technology, is clinically proven to provide instant and … Read more