Recognizing the signs: When to refer for early orthodontic treatment

Figure 3 alternate text for this image

Orthodontics has always aimed to create aesthetically pleasing smiles and functional occlusions, but today, we strive for even more. Modern orthodontic care emphasizes not only straightening teeth and correcting malocclusion, but also optimizing facial balance, smile aesthetics, airway development, and long-term stability. Early orthodontic treatment, typically initiated between the ages of 7 and 10, is … Read more

Vitamin D in orthodontics: A literature review

Ouan-Fig1 alternate text for this image

Abstract Vitamin D (VD) is a fat-soluble hormone involved in bone metabolism and calcium homeostasis. VD can be produced cutaneously by ultraviolet-B (UVB) irradiation or consumed in the diet. VD is essential for proper bone and tooth development, and its deficiency is prevalent worldwide. Through its effects on bone, VD is postulated to accelerate the … Read more

Orthodontic treatment in young children with innovative soothers: A case series

filippi_thumbnailjpg alternate text for this image

Summary Dental malpositioning, such as anterior open bites, posterior crossbites, and functional disruptions, such as persistent infantile swallowing patterns, are common in young children. These conditions are often caused or exacerbated by habits like thumb sucking or the use of baby bottles. This case series aims to demonstrate the effects of a new type of … Read more

UB Orthodontics Professor Honoured with Distinguished Service Award

iStock-1388177881 alternate text for this image

The Department of Orthodontics at University at Buffalo honored Stephen Aszkler for his commitment and service to the department with the inaugural S. Aszkler Distinguished Service Award. Stephen Aszkler first opened his practice in 1973, joined UB School of Dental Medicine in 2008 as a volunteer faculty member, and became an official clinical assistant professor … Read more

Retainers and the Importance of Orthodontic Retention

IMG_9746 alternate text for this image

Following orthodontic treatment, retention is fundamental in maintaining teeth in their corrected positions. Irrespective of the patient’s age, underlying malocclusion, or type of mechanotherapy used, retention is necessary to preserve the final alignment and occlusion. Without retention, there is a natural tendency for teeth to relapse back towards the original malocclusion. This article will highlight … Read more

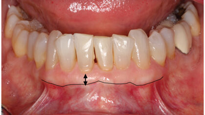
Periodontal Phenotype Modification for Patients Receiving Orthodontic Treatment

Nguyen fig 2A alternate text for this image

The 2017 World Workshop on the Classification of Periodontal and Peri-Implant Diseases and Conditions has recommended adopting the term “periodontal phenotype” instead of “gingival biotype” by the dental community.1 This term is based on both gingival phenotype (gingival thickness [GT] and keratinized tissue width [KTW]) and bone morphotype (thickness of the facial and/or buccal bone … Read more

Igniting Passion: The Heart of Orthodontics in Dentistry

Editorial alternate text for this image

Passion is defined as an intense desire or enthusiasm for something. On a recent trip to Naples, Italy, I visited the sartoria of master tailor Orazio Luciano. What impressed me was his continued excitement for his craft at the age of 80. He took pride in showing me the details of his jackets: hand-sewn buttonholes … Read more

The 411 on 911s in Orthodontic Treatments

Epstein Picture1 alternate text for this image

Abstract Orthodontic treatments can seem overwhelming, burdensome, and uncomfortable for patients, parents, and – when it comes to emergency visits – for orthodontists as well. As we evolve the industry, we must keep the patient’s experience top of mind and put them in the driver’s seat. In her article, Dr. Sima Yakoby Epstein, Founder and CEO of … Read more

Tweaking Orthodontic Emergencies with Tweakz

LastWord-1 alternate text for this image

An orthodontic wire breaks. A rough spot is making a painful gum sore. A broken bracket is rolling around on the wire. The patient calls for an emergency visit, but all it would take is a few tweaks — or Tweakz, a device from OrthoNu, to help patients handle manageable emergencies while reducing emergency office … Read more

Time for a Change? Exploring Orthodontics as a Dental Hygienist

iStock-1419565205 alternate text for this image

Now, more than ever, we keep hearing and reading about how dental hygienists are leaving the profession. New and ever-changing guidelines, critical Quality Assurance programs, and personal burn-out are adding up and causing dental hygienists to explore other career paths. Before you jump ship on a profession you have spent years in school training for … Read more

A More Efficient Orthodontic Solution from Philips and Candid

Candid x Philips_ Philips Email Hero Desktop alternate text for this image

Royal Philips (NYSE: PHG, AEX: PHIA), a global leader in health technology, and Candid Care Co[1], creator of the CandidPro orthodontic platform, announced their partnership to advance the efficiency and effectiveness of orthodontic care. The collaboration is designed to provide dental professionals with an extended integrated oral healthcare offering, including orthodontic treatments alongside teeth whitening. … Read more

OrthoNu® Launches Tweakz® for Braces and Aligners

Aligners

OrthoNu® announced the launch of Tweakz® for Braces and Tweakz® for Aligners, ushering in an entirely new category of products specifically designed to meet the needs of orthodontic patients. The Tweakz tools are designed as an oral self-care solution to address the most common orthodontic emergencies in between visits. By addressing manageable discomforts at home … Read more

Orthodontic Fund is Helping Orillia Youth

Orthodontics, beautiful smile. alternate text for this image

An Orillia realtor Mari Csumrik has donated $4,000 to the Vern Herron Dental Fund, which was created to help the youth of the city to access dental care. “Csumrik set up the fund in memory of her late father, a passionate local dentist for whom the fund is named, following discussions with the youth centre … Read more

AOSC 2023 – The Region’s Must-Attend Orthodontic Event Returns In-Person

aosc2021-conference-1_51289122553_o alternate text for this image

Association of Orthodontists (Singapore) Congress (AOSC), will return as an in-person event for the first time since the onset of the pandemic. Expecting close to 800 attendees, AOSC 2023 is set to take place at Marina Bay Sands, across three days from 17-19 February 2023. Organized by the Association of Orthodontists (Singapore), AOSC 2023 will … Read more

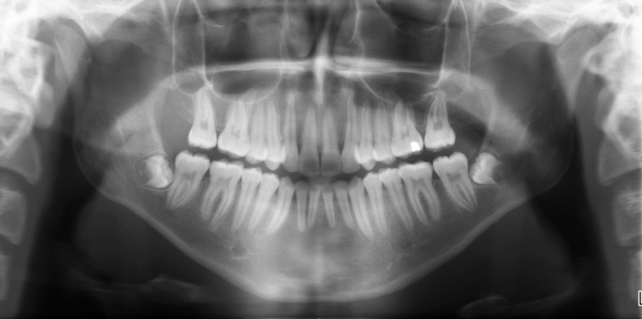
To Expand or Not to Expand? That is the Question

Sectakof fig 1A alternate text for this image

A 9-year-old female patient visited the orthodontic office for an initial consultation. She presented with a Class II malocclusion, crowding, and high/blocked out canines on the panorex. (Fig. 1A) The patient was placed on a reassessment schedule and returned 16 months later. She presented with an improved arch form that resulted in decreased crowding. A … Read more

Orthodontist Hopes Doctor-owned Company Will Inspire Other Healthcare Workers

Dentist Shows the Wright Way To Brush Your Teeth with Braces alternate text for this image

For years, Paul Helpard was content to run the clinic on Vancouver Island where he practised orthodontics, a specialty of dentistry that focuses on diagnosing and treating the misalignment of teeth. Owner-operators like him were the way dentists had traditionally worked. But that was beginning to change. Large companies backed by private equity were starting … Read more