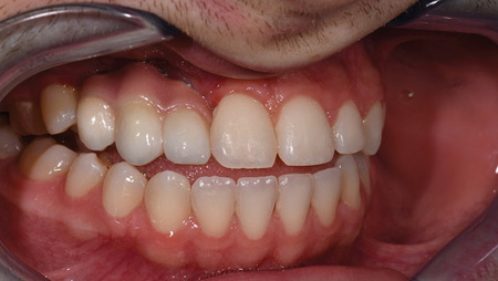
Successful and Efficient Complete Restoration of an Abrasion Dentition

Brown-Fig-19b alternate text for this image

New technologies and modern concepts require close cooperation of the individual partners in dentistry, dental technology and also dental industry. Dr. Cary Brown and dental technician Frankie Acosta, both from California, USA, have worked together for seven years now and are a well-rehearsed team, who are enthusiastic practitioners of digital dentistry. They have integrated a … Read more

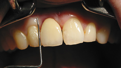
Decisions, Decisions, Decisions: Choosing the Optimal All-ceramic Crowns

Ward-Fig-38-Case-3 alternate text for this image

Cast Gold and Porcelain fused-to-metal crowns have a proven track record and are predictable.1,2 They are forgiving materials that can be used in less-than-ideal conditions such as uneven tooth reduction, sharp line angles and varying finish lines. Masking the underlying metal can result in high value opaque crowns. Gum recession may show an unaesthetic crown-tooth … Read more

Post-pandemic Strategies for the Dental Practice

Engelhardt-iStock-1175530803 alternate text for this image

To say that 2020 threw the world a giant curve ball would be one of the understatements of the decade. For some, it felt as though the earth had stopped revolving on its axis and it has never quite begun turning the same way. Government mandates closing offices, PPE requirement that increased costs and created … Read more

Treatment Decisions for Missing Maxillary Laterals Based on Case Types and Stages of Development

Lotardo figure 4 alternate text for this image

Introduction Congenitally missing maxillary lateral incisors present a challenge for both the orthodontic and restorative treating dentists. Often, only two scenarios are discussed: canine substitution or replacing the missing lateral.1 The former is often considered an orthodontic solution while the latter is more restoratively driven. However, there are complexities in these cases that are dependent … Read more

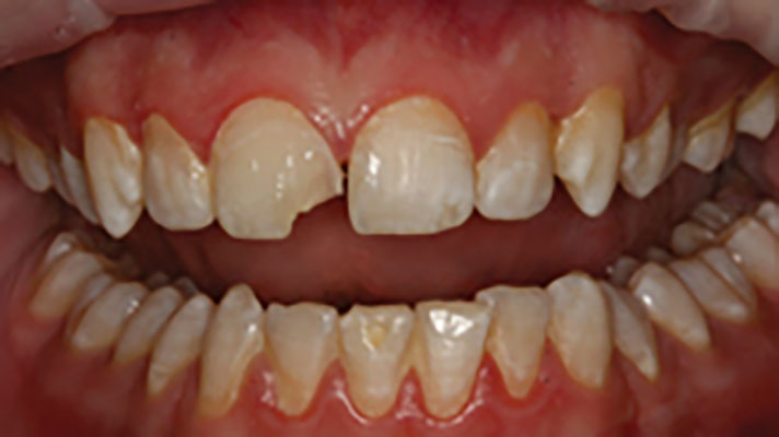
Planning for the Unpredictable: A Case of Dental Trauma

Rowe-FIG-2 alternate text for this image

Introduction Predictability is a worthy goal for any practicing dentist. The study of evidence based models in dentistry has developed increasing predictability of the success of specific dental treatments and procedures in achieving optimum oral health.1 While dental treatments have continued to become more predictable, life, however, consistently presents unforseen situations. A traumatic dental injury … Read more

Aesthetic Dentistry and the Dunning-Kruger Effect

ORAL-HEALTH-APRIL-2022 alternate text for this image

Imagine you are 18 years old and all your life you have dreamed of a career in acting or modelling. Everyone that you talk to in your chosen field tells you the same thing. You have what it takes to make it, except for one thing. Your teeth are simply too unattractive. So you do … Read more

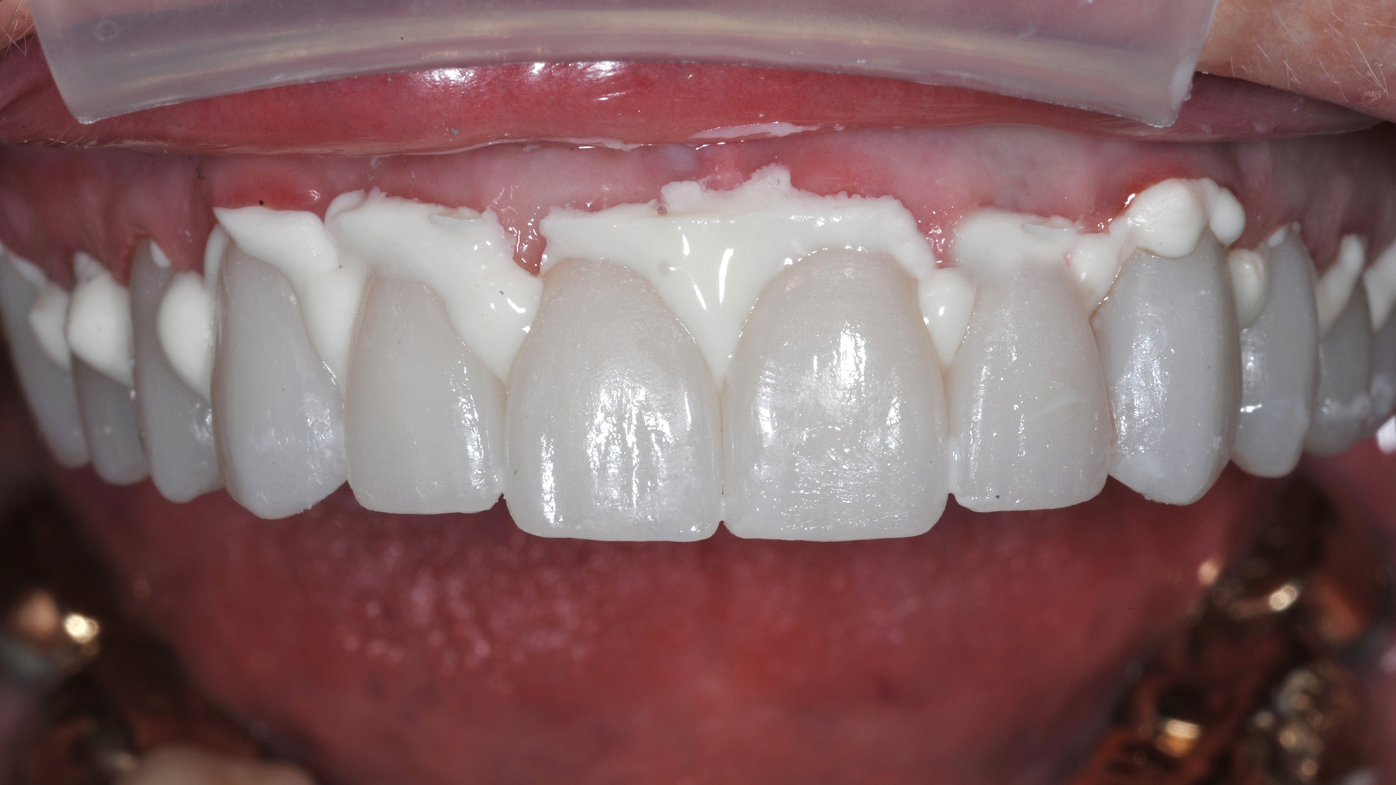
Integrating Digital Smile Design Into the Aesthetic Workflow

Lowe-001 alternate text for this image

Introduction Achieving a successful outcome in aesthetic dentistry can be a formidable challenge for all dental practitioners, regardless of their experience level. The patient describes their expectations for the case to the dentist, who then diligently works with provisional restorations to satisfy those aesthetic desires, only to have to rely on the dental technician (ceramist) … Read more

A Digital Workflow to Improve the Single-Unit Anterior Implant Success

Duplantis-Fig-2—Post-Orthodontic-Photos alternate text for this image

Abstract The anterior single unit implant can present a challenging dilemma to both the restorative dentist and the surgeon. Several factors may present that can adversely affect the final restorative outcome of cases such as these. Appropriate planning and execution are crucial for a pleasing result to both the patient and clinical team. Digital tools … Read more

3D Printing in Your Office: Better Outcomes in Minimal Time

McMahon-Figure9 alternate text for this image

Increasingly, more dental professionals are embracing digital dentistry and the technologies that accompany it. Pivoting to digital dentistry streamlines many processes while increasing convenience, comfort, and creating better clinical outcomes for patients and practitioners alike. With the inevitable march of dental technologies, restorations and dental procedures are being completed rapidly and efficiently, without middlemen nor … Read more

Case Study: Begin With the End in Mind – From Wax to Composite

Rowe-FIG17 alternate text for this image

Introduction For many dental students the first-year class focused on Dental Anatomy and Morphology is their initial “real” introduction to a life-long, in-depth professional relationship with teeth. While the lecture portion of the course may closely resemble the format of many biology classes encountered in college, the laboratory component traditionally introduces one of the most … Read more

What Motivates You?

motivating factor

As I write this editorial I certainly feel how time has flown by. Sitting in front of my computer, I realized that my 30th anniversary of graduating from dental school is approaching in May. I thought to myself, “Wow that’s a lot of years!” I started wondering, what is it that motivates me to keep … Read more

Four Team Members, One Goal: A Transformation Story

Soll-fig-34-thumbnail alternate text for this image

ABSTRACT Quite often patients have the desire to improve their oral care and appearance but don’t know where to start. Compounding the problem is that when the patient is seeking solutions, they are often turned away or trivialized because their practitioner does not have the knowledge or skill to treatment plan the patient’s needs or … Read more

A Multidisciplinary Case for Smile Enhancement

nash-thumbnail alternate text for this image

A patient presented for orthodontic care with a chief complaint to straighten her front teeth, eliminate her overjet, and balance her lip eversion. Her dental history included annual dental cleanings and root canal therapy on #9. Due to the skeletal class 2 retrognathic profile, the severity of her mandibular asymmetry, the vertical discrepancies in the … Read more

Case Study: The Missing Canine – A Puzzle with Functional and Esthetic Pieces

Rowe-Fig-5 alternate text for this image

Introduction Few restorative situations provide more stress for a functionally driven esthetic dentist than one involving a missing canine. A missing cuspid creates not only an esthetic issue, but a functional complication, as well. While group function may be viewed as a viable alternative in the absence of a canine, anterior and cuspid guidance is … Read more

When is “Good Enough” Good Enough?

Fig-16-GRIFFIN-THUMBNAIL alternate text for this image

“I always do the best for the patient”. That is noble, we’ve all said it and absolutely should practice that way. However, our ability to deliver on this is often limited by many factors including patient desires, ability to afford treatment, and practice limitations. It’s very rare that a patient comes into the office wanting … Read more