Overcoming Deficiencies to Create an Aesthetic Smile: A Case Study

Bernstein Fig 11 alternate text for this image

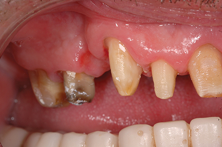
Abstract Providing patients with a great aesthetic outcome along with the need for full mouth reconstruction can be very challenging. Full mouth reconstruction is one of the more demanding procedures in dentistry. It draws upon the knowledge and experience of the clinician and relies on the input from a talented laboratory ceramist. The challenges can … Read more

Esthetics and the Mixed Dentition – A Responsible Solution

Rowe FIG 29 alternate text for this image

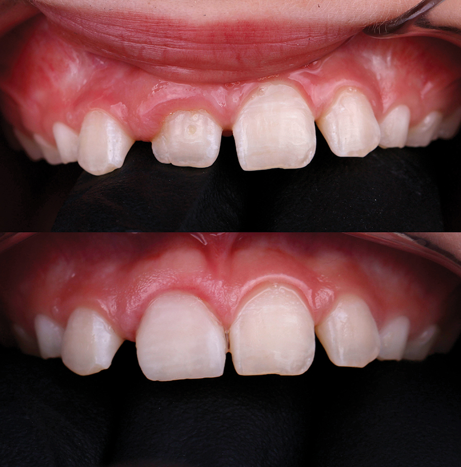
Introduction The growth and development of the adult dentition is a sequential process that can be a cause for increased self-consciousness in some children. Children are well aware of when they exfoliate their first baby tooth, and are often critical of their appearance and that of their peers during the time they exhibit mixed dentition. … Read more

Beyond the Teeth

Griffin Fig 13 alternate text for this image

It’s easy for us dentists to minimize our own significance in overall patient health. We drill holes, we fill holes. We grind, we restore. We clean, we re-clean. Rewarding work but often becomes just routine for some of us. Instead of “just” filling and restoring, we need to understand that we provide therapy. Don’t minimize … Read more

Treatment of Tetracycline Discoloured Teeth with Full Ceramic Restorations

Vandenborght fig 20 alternate text for this image

Tetracylines were introduced in 1948 and are broad-spectrum antibiotics that may be used in very different cases of infections. Every dental practitioner has seen several cases of tetracycline stained teeth. The effects of Tetracycline antibiotics on teeth are well documented. There are four categories of tetracycline stained teeth (Feinman et al. 1989): 1. Mild Tetracycline … Read more

White to Black

Viewpoint Hunter Jordan alternate text for this image

“If you look you up the word experience in the dictionary, it says see mistakes” and at 60 years old you, feel that you have mastered a lot over the years. Consequently, at this stage in life most of us will succeed because of the “experience” we will have gone through. As a dentist I … Read more

The Use of Digital Smile Design for Everyday Dentistry

Shah Figure 7 alternate text for this image

The use of a diagnostic wax-up has always been beneficial in the planning and execution of restorative and surgical procedures. It serves multiple purposes from treatment planning, communication with the interdisciplinary team and showing patients what possibilities exist for treatment. Traditionally, impressions and a bite record are taken and sent to the lab. Information is … Read more

Digital Denture: Esthetic Complete Dentures Milled from Two Discs

digital-denture-main alternate text for this image

Users can now avail themselves of a quick and reliable digital method to create monolithic dentures that are both esthetic and of high quality. Two material discs are at the heart of the process. Digital Denture is a manufacturing process for the rapid digital production of removable dentures. The process integrates the treatment steps in … Read more

New SR Vivodent S DCL Tooth Line: High Esthetics for Patients

sr-vivadent alternate text for this image

Nature creates the most beautiful shapes and shades and these have guided the design of the new anterior moulds SR Vivodent S DCL. Esthetically and prosthetically optimized, these moulds are designed to meet the individual requirements of today’s and tomorrow’s patients. The teeth are available in A-D shades and are especially suitable for combined denture … Read more

PrograMill: Digital Manufacturing of Highly Esthetic Restorations

programill alternate text for this image

Ivoclar Vivadent is introducing four new milling machines which, together with the the innovative materials and coordinated processess offered by the new Ivoclar Digital product portfolio, fulfil the exacting standards of modern dental laboratory and clinical technology. PrograMill One: the new benchmark PrograMill One is the world’s smallest 5-axis milling machine. It combines industrial manufacturing … Read more

Aesthetic Restoration of the Primary Anterior Dentition

OLYMPUS DIGITAL CAMERA alternate text for this image

One of the greatest challenges in paediatric dentistry is aesthetic restoration of the primary maxillary dentition. We are faced with both a restorative and behaviour management challenge due to the lack of cooperation often exhibited by young children. These patients often present to the dentist between the ages of two and three with decay on … Read more

ACTIVA BioACTIVE Deemed “Revolutionary” Product in Aesthetic Dentistry

activa_family_062016 alternate text for this image

Dr. Howard Glazer has dedicated the past four decades to the field of dentistry. This clinician, educator and former AGD President has evaluated many products over the years and describes ACTIVA BioACTIVE-RESTORATIVE as “revolutionary” in a recent interview with Compendium.  “With ACTIVA, we have the ability to treat the tooth from within” says Dr. Glazer, explaining … Read more

Heroic Restorative Repairs – A Universal Adhesive

freedman-fig-1 alternate text for this image

The task of repairing restorations has historically been an unproductive procedure in the dental practice. Dental professionals have learned through extensive personal experience that repairs, whether intra- or extra-oral, have a very poor prognosis. In fact, no matter how carefully the fractured ceramic or composite surface was roughed, cleaned, dried, primed, and bonded, the repair … Read more

The Father of Aesthetic Dentistry, Dr. Irwin Smigel, Passed Away Monday

Dr. Irwin Smigel, a pioneer of aesthetic dentistry who brightened the smiles of celebrities like Elizabeth Taylor, Tony Bennett, Jimmy Fallon and Bruce Willis, died on Monday at his home in Manhattan. He was 92. The cause was complications of pneumonia, said his son, Robert Smigel, a comedian and screenwriter and the voice of the puppet Triumph … Read more