Shining the Light on Power Bleaching: A Review

Polonsky figure 5 alternate text for this image

Introduction There is no arguing the fact that we live in a society where appearances are important. When I was growing up, I was told frequently, “you only have one chance to make a first impression, so make it a good one!” A smile is one of the most powerful tools for opening channels of … Read more

A Season for Reflection

Cosmetic Esthetic

Spring is in the air! Especially after attending the Pacific Dental Conference in Vancouver with all the beautiful weather. The benefit of the esthetic issue coming out in April every year is that it allows me the ability to look outside as I write this editorial, as things start to bloom, and reflect. What a … Read more

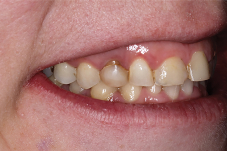
How To Avoid Occlusal Adjustments When Placing Final Restorations

Soll image006 alternate text for this image

To ensure long-term success, a greater understanding of occlusal concepts needs to be incorporated into the restorations we provide our patients. We must ensure that the beautiful smiles we create today will hold up to the rigors of mastication and occlusal forces well into the future. Fixed restorations have come a long way since the … Read more

Developing a Cosmetic/Esthetic Practice

Cosmetic Esthetic

With the increase in awareness and popularity of cosmetic dental procedures, most general practices are offering some level of cosmetic and esthetic treatment to patients. There are many possibilities; from teeth whitening to cosmetic bonding and porcelain veneers; as well as minor orthodontic procedures, tissue re-contouring and more. Patient demand has fueled the attention to … Read more

Transitional Bonding for the Severely Eroded Dentition

Vandenborght-1 alternate text for this image

Dentists are often faced with conflicting demands between function and aesthetics. Patients demand from their dentists an improved smile at a reasonable fee. Dentists want to not only meet the patients wants but also want to do that in a durable and evidence-based way. Thanks to the well-known improvements of enamel and dentin bonding, it … Read more

Botulinum Toxin: Not Just a Pretty Face

Roberts Figure 17-b Referred pain from the lower Masseter to the Mandibular molars. copy alternate text for this image

Mention “Botox” (the neuromodulator Botulinum Neurotoxin Type A or “BoNt-A”) sold in North America as Botox, Dysport, and Xeomin (Fig. 1), and the average person thinks immediately of wrinkles. However, the January 16, 2017 issue of Time Magazine’s cover page article (Fig. 2) identified 800 medical uses of BoNt-A including depression, heart trouble, migraines, erectile … Read more

Pre-Orthodontic Set-Up for a Patient with Teeth Too Small for his Dental Arches

Mechanic 8 LEFT alternate text for this image

In order to establish a comprehensive treatment plan, it is essential for the entire dental team to be able to visualize the final result before commencing treatment. A compromised or wrong treatment choice can affect a patient’s dental and medical health as well as their appearance. Orthodontists often are first in a decision-making process that … Read more

A New Smile for a Beauty Queen

Ross Nash 31 alternate text for this image

Introduction Wendy Jordan, a professional model, presented to my office for general care. After radiographic and clinical examination, it was determined that she needed only a prophylaxis. Her overall dental health was good with no periodontal disease or active caries. In a subsequent re-care appointment, we discussed the possibility of orthodontic realignment of her maxillary … Read more

The Systematic Treatment of a Canted Smile

Modi Fig. 24. Patient Final Full Face Photo alternate text for this image

Introduction For dentists who have a keen interest in Cosmetic Dentistry, it is exciting when a patient expresses an interest to change their smile. It allows us to perform and deliver dentistry that can be immensely rewarding and life changing for a patient. Patients who have high esthetic demands can be a challenge but also … Read more

The Economics of Dental Aesthetics

Lowe 018 alternate text for this image

The Past When it became possible to bond tooth colored restorative materials to enamel in the early 1980’s, dental practice, as we know it was changed forever. The “Age of Aesthetic Dentistry” was born. No longer did the dentist deal with only dental disease (caries and periodontal), but now could offer solutions for aesthetic dental … Read more

Gearing Up for 41st Annual ASDA Conference

The 41st Annual ASDA International Aesthetic Dental Conference will be convened October 25-28, 2017 at the JW Marriott in Austin, Texas.  The conference will bring together top leaders in aesthetic dentistry.  Speakers will include Dr. Larry Rosenthal, Dr. Alan Jurim, Dr. Barry Goldenberg, Dr. Frank Higginbottom, Dr. Joyce Bassett and Dr. Bob Margeas.  A hallmark … Read more

Kerr™ Launches Campaign to Simplify Product Selection

kerr-aesthetic-restorations alternate text for this image

Kerr is launching a new campaign aimed at simplifying the lives of dentists by helping them identify the combination of products to use for their most common procedures. The “How to…” campaign provides step-by-step guides to various types of dental work that practitioners face on a daily basis, identifying recommended protocols and top performing Kerr … Read more

Editorial: Who Owns the Face?

Editorial Les Rykes alternate text for this image

Boy time flies! A year ago I was given the privilege of becoming the editor of the April Aesthetic issue of Oral Health. Taking over for Dr. Elliot Mechanic is not an easy task and one that I have not taken lightly. Every April, Dr. Mechanic had successfully assembled articles from some of the best … Read more

Porcelain Laminate Veneers: Full Digital Work Flow

Gural FIG 22 alternate text for this image

The demand for aesthetic dentistry is increasing as more and more patients come to desire the perfect or natural looking smiles. The professional approach of restorative dentistry has changed significantly with the development of new techniques augmented with advanced dental materials, enabling clinicians to achieve aesthetic improvements and aesthetically pleasing results. In aesthetic cases, a … Read more

Creating Natural-Looking Composite Restorations Using Different Layering Techniques, Materials and the Erbium YAG Laser

Composite Restorations

Introduction Improved materials and instruments help us to produce restorations that are natural looking. Composite systems have been developed that have optical qualities similar to the tooth structure they are replacing. 1 Composite materials with dark opacity and fluorescence are useful to recreate dentin. 2 Enamel replacing materials with added translucency and opalescence give the … Read more

No Prep Ceramic Laminates for a Beauty Queen

Nash 9 alternate text for this image

Introduction Each year I have the honor of performing a smile makeover for the winner of the Mrs. North Carolina America and Mrs. South Carolina America beauty pageants. Each of these women go on to participate in the Mrs. America Pageant and each would like for her smile to be the best it can be … Read more

3D Digital Smile Treatment Plan: What are Advantages for Patient and Dentist?

3D Digital Smile Treatment Plan

Abstract Digital dentistry has existed for over 30 years, but many dentists are still reluctant to incorporate this technology into their practice. To many colleagues, digital techniques are only a marketing tool to impress patients. Yet, digital technology provides us with ways and means to improve and facilitate our dental procedures. Dental laboratories, for their … Read more

Planification numérique 3D du sourire: Quelles sont les avantages pour le patient et le dentiste?

Robert fr case 1 pic 6 alternate text for this image

RÉSUMÉ La dentisterie numérique existe depuis plus de 30 ans, mais plusieurs dentistes hésitent encore à intégrer cette technologie dans leur pratique. Pour plusieurs collègues, le numérique n’est qu’un instrument de marketing servant à impressionner leur patient. Pourtant, le numérique est un instrument nous permettant d’améliorer et faciliter nos traitements dentaires. Les laboratoires dentaires, de … Read more