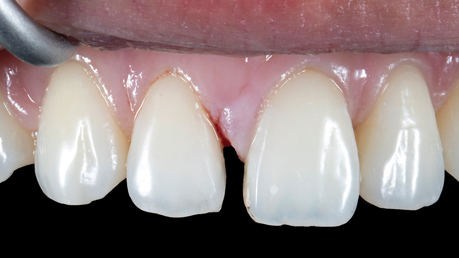
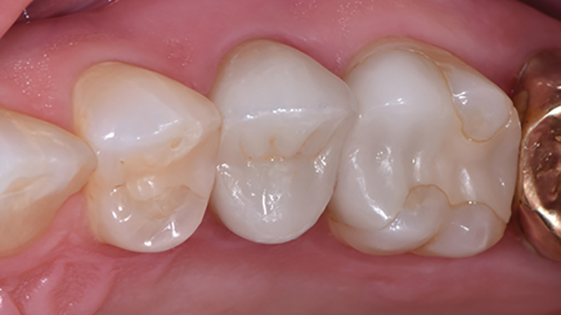
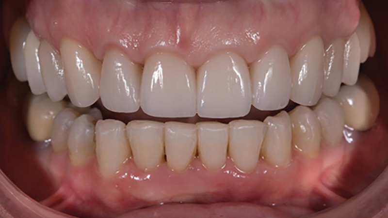
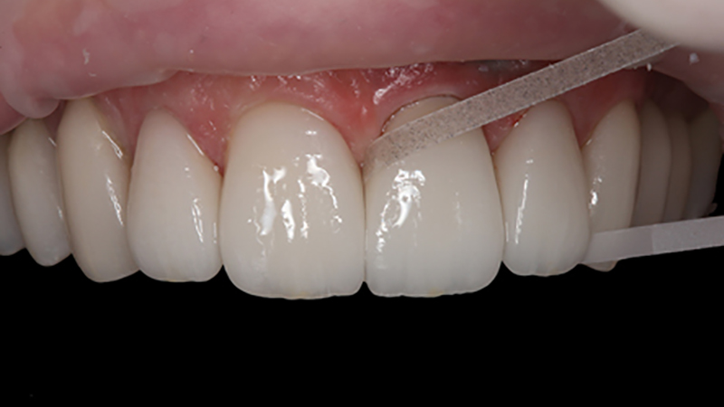
Selfie Culture Driving More Cosmetic Dentistry: A Case Report of Conservative, Responsible Veneers: Delivering the Smile

Cosmetic Dentistry

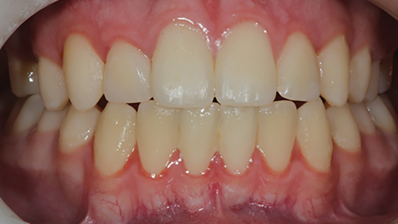
Social media has arguably become a global obsession. For teenagers and young adults, Facebook, Twitter, Instagram, and Snapchat have become the most common form of communication. Teens are increasingly posting photos of themselves and friends. Beauty standards have changed significantly over the past several decades. As our social media and “selfie culture” continues to grow, … Read more

Principles of Smile Design Treatment Planning

SMILE DESIGN

Introduction When it comes to re-creating a patient’s smile, it is not as simple as placing veneers or crowns on teeth that are whiter and brighter than the patient’s existing dentition (Figs. 1 & 2). The smile is an important reflection of one’s self along with communicating a variety of emotions to those around us … Read more

The “Single Tooth” Dilemma

single tooth

When it comes to aesthetic dentistry, many clinicians would agree that the “Single Central” cases are the ones that can be the most difficult. Trying to restore a single central brings up many discussion points: Direct or Indirect? Full coverage or Partial? What materials should we use? Often, we reach out for the help of … Read more

Aesthetic Crown Lengthening

Aesthetic Crown Lengthening

Introduction With the continued high demand for esthetic dentistry, gingival health is among the first fundamental esthetic objectives during treatment planning. Diseased gingival tissues will possess a negative impact on a smile. The literature is replete with articles describing cosmetic restorative cases with a brief mention of the preliminary gingival recontouring. It is not always … Read more

Evolving Excellence: Scientific Advances In Dentistry And New Restorative Paths

Rowe feature image alternate text for this image

Introduction In 1964 Bob Dylan shared his famous observation, “The Times They Are A-Changin’.” Those words seem to continue to ring true in every facet of life today. Evolving materials and technologies offer cosmetic dentists and ceramists new tools to meet patient demands for quality esthetic dentistry. Esthetically driven dental consumers are often exacting and … Read more

Developing A System To Eliminate Cementation Failures: A Practical Understanding For Predictable Outcomes

Duplantis Feature image alternate text for this image

Abstract Cementation has a lengthy history in dentistry, with varied amounts of success along the way. As clinicians, we have seen numerous changes to formulations over the years. Each change is designed to improve our clinical results. However, misunderstanding the processes can compound the clinical applications. The intent of this article is to make the cementation protocol more … Read more

Aesthetic Restoration Of Maxillary Lateral Incisors With Direct Composite

Lowe feature image alternate text for this image

Anterior Tooth Anatomy and Matrix Options Freehand sculpting of anterior tooth anatomy using direct composite is challenging for even the most artistically talented clinician. The more surface area that is lost, along with anatomic landmarks, the more difficult it is to recreate the subtleties of anterior tooth form. Rebuilding the anterior interproximal surface presents its … Read more

Health-Driven Goals With Esthetic Outcomes

Seay feature image alternate text for this image

       Patients often present with the desire to maintain or improve their overall dental health and may state that their only goal is to have their teeth outlive them. They don’t desire a smile makeover or esthetic enhancement, but instead seek treatment that will allow them to eat, speak and enjoy life normally … Read more

A Multidisciplinary Approach For The Esthetic Treatment Of Anterior Crown Fracture

Prane feature image alternate text for this image

Introduction A common form of dental trauma is the fracture of anterior teeth, especially maxillary incisors because of their position in the arch. These types of traumatic injuries are more common in children and young adults. Aesthetic rehabilitation of traumatic injuries of the teeth and related structures is often complex requiring a multidisciplinary approach for a … Read more

An Interview With Dr. Galip Gurel

Generic feature image alternate text for this image

How did you come to put your focus on aesthetic dentistry? Well actually I’m coming from a family, which my father and mother used to be dentists. I opened my eyes in a dental practice and that was my first choice to be and I must admit I love the profession and this is why … Read more

The Pictures Really Do Matter

Adamo feature image alternate text for this image

We’ve all heard the cliché, “a picture is worth a thousand words”, but the reality is, they may be worth even more than that. Images help us learn, communicate, explain tough concepts, and certainly inspire us. We are very visual creatures. A large part of the human brain dedicates itself to visual processing. In the … Read more

The Modern Dental Revolution

Generic feature image alternate text for this image

Welcome to the new look of Oral Health Journal! This gives us a new fresh look in keeping with the modern age of dentistry. It’s so important that we keep up with the times or we inevitably fade into the past. Dentistry is truly undergoing dramatic changes in the way we can treat our patients. … Read more

Top 5 Trends in Cosmetic Dentistry

There was a time when so many people were requesting veneers it dominated the industry. The same can also be said of teeth whitening that makes teeth whiter than white. These days, however, dentists are pushing for aesthetic dentistry that focuses on achieving a more natural look for patients. Currently, the top 5 trends in … Read more

AACD Launches Cosmetic Dentistry Residency Pilot Program

The American Academy of Cosmetic Dentistry (AACD) will launch a cosmetic dentistry residency pilot program this August with three dental residents, each learning from an AACD Accredited Fellow. Elizabeth M. Bakeman, DDS, FAACD; Susan Hollar, DDS, FAACD and Brian P. LeSage, DDS, FAACD will each be instructing a dental resident and providing experience relating to … Read more

Pixels and Pictures: Photography 2018

Dental photography

As soon as I figure out how to use my iPhone, Apple releases the next generation. With the new one, I found out I couldn’t plug my old headphones into my new device without some wild adapter. Who decided to take the hole away without asking me? The world of technology has changed so fast … Read more

Communication: The Key to Esthetic Success

Adamo Figure26 alternate text for this image

Communication is defined as the imparting or exchanging of information or news; means of connection between people or places, in particular. There is no doubt that communication plays a vital role in human life. It not only helps to facilitate the process of sharing information and knowledge, but also helps people to develop relationships with … Read more

Success by Design: Elements of Planning for Restorative Excellence

Rowe Fig 17 alternate text for this image

Introduction Since Dr. Charles Pincus invented the dental veneer in 1928, popular restorative materials used and techniques employed have changed numerous times. Trends initially dictated minimal to no tooth preparation, migrated to aggressive preparation, and have now returned to an emphasis on minimizing removal of healthy tooth structure. Esthetically driven dental consumers often present with … Read more