Researchers explore repurposing EGFR inhibitors to manage oral cancer pain and opioid tolerance
Study links EGFR signalling to oral cancer pain and opioid tolerance, raising interest in repurposing existing cancer drugs to manage pain.
Study links EGFR signalling to oral cancer pain and opioid tolerance, raising interest in repurposing existing cancer drugs to manage pain.
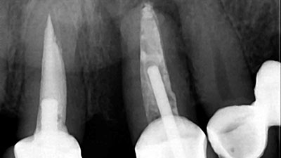
The following case presentation will illustrate an anterior maxillary reconstruction with the use of dental implants and fixed prosthodontics. Our patient (P.C.) presented to the office with the pre-existing dental treatment done over 10 years ago as illustrated in Figures 1 and 2. Due to a large diastema between 11 and 21, the previous practitioner … Read more