SDF in a restorative dental practice: A prosthodontist’s perspective

Muniz_thumbnail alternate text for this image

Silver diamine fluoride (SDF) has been used in caries prevention since the 1800s and has gained relevance in private practice since its FDA approval in the United States in 2015.1 While it is FDA approved for dentinal hypersensitivity, clinicians have been using SDF off-label for caries prevention and treatment, as it has been shown to stabilize … Read more

The Knowledge Paradox

oral health november 2022 alternate text for this image

It was once said by Albert Einstein, “We cannot solve our problems with the same thinking we used when we created them.” Hence, throughout history, we as human beings all continually strive to research and acquire knowledge. Likewise in dentistry, scientists and researchers at universities will perform bench top experiments, followed by animal studies, which … Read more

Complete Digital Workflow for Mandibular Full-arch Implant Placement and Temporalization by “Smile in a Box”

Lin-Fig 2a thumbnail alternate text for this image

Abstract Modern oral implantology requires comprehensive diagnosis, intricate planning, and precise execution to achieve desired prosthetic and functional outcomes to meet patients’ and clinicians’ expectations. In this context, digital dentistry has been adopted as an excellent service, especially for complicated full-mouth rehabilitation cases, to which the implant all-on-6 concept has become an established treatment option. … Read more

Management of a Dislodged Implant-supported Full-arch Bridge Due to Multiple Prosthetic Screw Fractures: A Case Report

figure 3 – localized inflammation of site 32 alternate text for this image

Abstract: Introduction: Implant-supported prostheses predictably lead to successful esthetic and functional rehabilitations of patients with missing teeth. Nonetheless, technical and biological complications may be encountered including those leading to a dislodgement of an implant-supported prosthesis. Case report: An 83-year-old female patient presented to the University of Toronto, Graduate Prosthodontic specialty clinic on an emergency basis … Read more

Knowledge in Life

ORAL-HEALTH-NOV-2021 alternate text for this image

Knowledge is defined as facts, information and skills acquired through experience or education; the theoretical or practical understanding of a subject. According to Krathwohl (2002), knowledge can be categorized into four subtypes: factual, conceptual, procedural and metacognitive. It’s important to clearly understand the distinctions between the four and strive to implement your strengths and limitations … Read more

Risk Management Issues in Implant Dentistry

ORAL-HEALTH-NOV-2021 alternate text for this image

Implant dentistry can be profitable and challenging work for dentists. However, this area of dentistry is not without legal risks. Dental regulators across Canada look closely at implant complaints, because they may be concerned that some dentists chose implant dentistry for financial reasons only, without having the necessary skills to practice successfully. Regardless of whether … Read more

All-on-X: Contemporary Solutions to Old Challenges

Pin-Fig_13-thumbnail alternate text for this image

I. INTRODUCTION The prevalence of terminal dentitions and edentulism is undeniable. Predicted population studies and data have forecasted present findings.1 Edentulism (Fig. 1) is a recognized physical disability associated with multiple co-morbid health concerns including local, systemic, and psychological factors.2 The basic premise of prosthodontic rehabilitation of the edentulous patients has been and still is … Read more

Alternative Verification Jig for the Assessment of Mandibular Flexure

Wong-fig-5-thumbnail alternate text for this image

PATIENT: M, Age: 62, ASA II (pharmacological management of hypertension and high cholesterol). CHIEF COMPLAINT: Patient presented for the fabrication of a mandibular implant supported fixed prosthesis, with implants having been placed 6 months ago. CLINICAL FINDINGS: Maxillary arch had a fixed implant supported prosthesis with implants in the 17, 16, 14, 13, 22, 23, … Read more

Prosthetic Consideration and Treatment of a Patient with Ameloblastoma

Leung-fig-20-thumbnail alternate text for this image

Surgical Background and Treatment The patient is a 31 year old healthy gentlemen who presented to the oral surgery office with a 3 month history of a left mandibular swelling. He was evaluated by his dentist and the thought at that time was a dental infection originating from tooth #36. Subsequently, he saw an endodontist … Read more

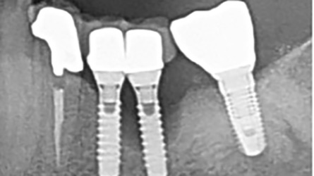
Prognosis of Implants in Previously Failed Surgical Sites

Desouza-case-3-fig-6-thumbnail alternate text for this image

Introduction Implant therapy has been shown to be predictable, effective and reliable for the replacement of missing teeth in edentulous and partially edentulous patients. Clinical evidence has demonstrated long-term (>10 years) survival rates up to 95% (Moraschini et al., 2015). Despite the high success and survival rates of dental implants, failures can and do occur. … Read more

What is the Best Option to Rehabilitate the Edentulous Maxilla Using Dental Implants?

Aragon-case-5-fig-3-thumbnail alternate text for this image

Maxillary implant prosthetic treatments may be considerably more difficult to accomplish when compared to the similar treatments for patients with edentulous mandibles due to many factors including bone quality, position of implants due to anatomical landmarks, need for grafting, prosthetic space needed, etc. It is very important to assess a patient’s dental and medical history … Read more

An Alternative Prosthetic Design for Lower Full-Arch Implant Restorations

Frontal view of finished prosthesis.

Replacing a full set of teeth with dental implants, especially in the mandible, has been well researched and is often a life-changing treatment for many patients. This treatment involves the extraction of failing teeth, immediate implant placement, immediate loading of the implants with a fixed provisional prosthesis, followed by the fabrication of a definitive prosthesis … Read more

Peri-implantitis: How to Reduce Risk and Manage Implant Failure?

Suzuki-Fig-3-thumbnail alternate text for this image

Abstract Peri-implantitis can lead to implant failure. Strategies to reduce risks and treat peri-implantitis can manage implant failure and restore function. These strategies can be derived from information on peri-implantitis progression in patients, including prevalence, diagnostic and microbial findings, the impact of systemic diseases, and peri-implantitis therapies. These reports suggested that: 1) peri-implantitis is higher … Read more

Valuable Lessons Learned from a Global Pandemic

oral-health-november alternate text for this image

In March 2020, as Corona virus cases grew rapidly, it was advised that routine, non-essential oral health care be delayed until there had been sufficient reduction in COVID-19 transmission rates. What followed was an almost complete global shut down of most sectors of our society. While these measures have been central to mitigating the spread … Read more

Dental Implants: A True Life Changing Experience for a Functionally Compromised Patient: A Case Report of a Maxillary and Mandibular Rehabilitation with a Dental Implant Retained Prosthesis

Shieh-thumbnail alternate text for this image

INTRODUCTION The goal of modern dentistry is to restore the patient to normal contour, function, comfort, esthetics, speech, and health, whether by removing caries from a tooth or replacing several teeth. What makes implant dentistry unique is the ability to achieve this goal, regardless of the atrophy, disease, or injury of the stomatognathic system. However, … Read more

An Overview on Dental Wear

Rotella-thumbnail alternate text for this image

Dental wear is a general term that can be used to describe the surface loss of dental hard tissues from causes other than dental caries, trauma or as a result of developmental disorders. It is a normal physiological process that is macroscopically irreversible; Lambrechts et al.1 estimated the normal vertical loss of enamel from physiological … Read more

The Strategic Use of Compromised Teeth/Tooth Roots to Help Serve as Abutments for a Fixed Provisional Prosthesis During Implant Reconstruction

Belcastro-thumbnail alternate text for this image

Convenient Engineering’, a term coined by Michael Cohen ‘Interdisciplinary Treatment Planning, Quint Dec. 2011’, states that “while planning cases on ‘auto-pilot’ may save time and money and may be compatible with both the wishes of the dentist and the patient, it may also be thought of as ‘CONVENIENT ENGINEERING’ and is not necessarily in the … Read more