Paid

Demystifying Cementation: Master the Vital Principles Every Dentist Should Know.

3m header image alternate text for this image

The last decades have seen an enormous change in dental treatments – especially in the field of indirect restorations – catalyzed by numerous new tooth-coloured materials, adhesive protocols, an ongoing trend towards monolithic restorations and the general acceleration of development cycles. On the other hand, increasing economic pressure and hygiene requirements – particularly against the … Read more

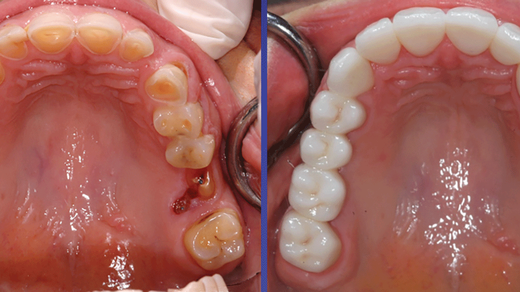
Safer Implant Prosthesis Cementation: Preventing Submarginal Cement and Open Margins

Svoboda Fig 5 alternate text for this image

Implant treatment complications related to both screw and cement-retained installation systems appear to be similar and troubling. Peri-implant disease treatments can be uncomfortable, expensive, and unpredictable.1,2 Intra-oral cementation can consistently optimize the fit of implant parts and reduce cantilevers to improve access to care,3,4 but has been plagued by complications related to residual subgingival cement … Read more

GC America Introduces G-CEM ONE™: The ONE That Simplifies All Cementation Procedures

Clinicians worldwide share a common need: a simplified adhesive and self-adhesive cementation procedure using a single product that can deliver high esthetics, exceptional bond strength and effortless clean-up. G-CEM ONE™, the new self-adhesive resin cement from GC, brings together high adhesive performance and excellent self-curing ability for a wide range of indications in one product … Read more

Zirconia – Separating Fact From Fiction

Alex-Figure-1a alternate text for this image

Abstract The use and popularity of both zirconia and lithium disilicate have increased dramatically over the last several years (Fig. 1). In fact, if current trends hold¹ it is entirely possible that that the escalating use of both zirconia and lithium disilicate will soon lead to the demise of traditional PFM’s. This article will focus … Read more

Seating crowns on implant abutments

The word NEXUS has been in my lexicon for 137 years. It was “stolen” from Avrum King who wrote a newsletter back in the 70’s and 80’s on practice management. His background or so he claimed was rumour and propaganda psychology which today would be a phenomenal fit for politicians and dental companies……humour (arh, arh). … Read more