Letters to the Editor (August 01, 2003)

1000176161-1000260045 alternate text for this image

Re: Viewpoint, Dr. Janice Goodman March, 2003 and Letter of Dr. Cooper-Lall, May 2003. I have been actively involved in organized dentistry, in several provinces over the years and especially in Alberta the last two decades. I never felt the urge to write in response to your articles, nor viewpoints, which tend to be useful … Read more

Endodontics: Use of Ophthalmic Dyes in Root Canal Location

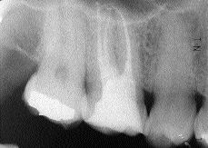
FIGURE 27--Immediate postoperative radiograph. Mb and Mb2 join in the coronal third to exit as one canal.

The relationship between uninstrumented root canals and endodontic treatment failure has been studied extensively. Locating all the canals, then subsequently shaping and cleaning them in their entirety has shown to be essential for predictable clinical and biological success.1-4 High visual magnification and fibre optic illumination incorporated in the surgical operating microscope (SOM) has revolutionized endodontic … Read more

Paediatric Dentistry: How In-Vitro Research Can Contribute to an Appreciation of the Clinical Requirements for the Long-Term Success of Bonded Restorations In Primary Molar Teeth

FIGURE 5B--SEM base of resin composite cylinder, note resin tags and attached collagen mesh (x10.0K).

After many decades of scientific and clinical controversy new and innovative restorative materials are gaining acceptance as viable alternatives to the traditional use of silver amalgam and stainless steel crowns for the restoration of primary molar teeth. These new generations of materials bond directly to tooth material by mechanical or chemical means or by a … Read more

Implantology: Expect the Unexpected!

FIGURE 29--Another 'HAPPY ENDING.'

Most of the time, when a patient comes in for implant treatment and you have done all of the pre-treatment work-up (complete and thorough) you might probably expect the case to go to completion with little (or no) complications. As routine as this might be in a high volume implant practice, it is not always … Read more

Oral & Maxillofacial Surgery: Multiple Jaw Cysts in a Syndromic Patient

FIGURE 10--Photomicrograph showing left mandibular cyst wall composed of fibrous tissue and lined by keratinized epithelium with a polarized basal cell layer (Haematoxylin and Eosin x 40).

Carolina Ortega, DDS, Jessica Kudlats, DDS, Nick Blanas, DDS, FRCD(C) and Simon Weinberg, DDS, FRCD(C) Odontogenic and non-odontogenic jaw cysts usually occur as solitary lesions although the presence of multiple lesions in one patient is possible. The presentation of multiple cysts of the maxilla and mandible is more common when they occur as a component … Read more

2003 Self Learning Assessment (July 01, 2003)

The SLSA program is based on current, referenced literature and consists of 40 questions, answers, rationales and references. Answers appear at the end of each quiz. Dentists who complete the 15 question quiz in the November, 2003 issue of Oral Health may be eligible to receive continuing education points. The names and license numbers of … Read more

Periodontics: Implant Complications and Maintenance Issues

FIGURE 10--Framework Fracture of Fixed Implant Prosthesis.

By Jim Yuan Lai, DMD, MSc(Perio), FRCD(C) and Francine Albert, DMD, MSc(Prosth), FRCD(C) The high predictability and long-term success of implant therapy has been well documented (Adell 1981, Albrektsson 1986). Complications do arise, as it may be the case after any Prosthodontic or Surgical procedure. In recent years, a number of authors have specifically looked … Read more

Government Torpedoed Biopsy Funding — Dark Clouds Over Ontario

Dr. Kryshtalskyj is Oral Health's contributing consultant for Oral and Maxillofacial Surgery; Fellow American College of Oral and Maxillofacial Surgeons; Fellow American College of Dentists; Fellow International College of Dentists; Fellow Academy of Dentistry Internationale and Fellow Pierre Fouchard Academy.

As an oral and maxillofacial surgeon, I want to bring to the readership’s attention an issue of great importance to the public as well as to the profession. It involves the unilateral government withdrawal of funding for the interpretation of oral pathology tissue biopsies and subsequent detection of oral cancer. Oral cancer kills approximately 3,000 … Read more

Dental Internet Directory (July 01, 2003)

ASSOCIATIONS CANADIAN ACADEMY OF PERIODONTOLOGY Excellent source of informationon periodontics. www.cap-acp.ca CANADIAN DENTAL PROTECTIVE ASSOCIATION Bad things happen to good dentists. www.cdpa.com iCANADEN…internet CANAdian DENtistry An OPEN FORUM on the business and practice of dentistry. www.canaden.com ONTARIO STUDY CLUB FOR OSSEOINTEGRATION Seminar calendar and OSCO Information www.osco.org TORONTO ACADEMY OF DENTISTRY Toronto Meetings Calendar, CE, … Read more

Dirty Money

Janice Goodman is Oral Health's editorial board member for Restorative dentistry.

Consider the following scenario. It’s Sunday night and you take your family out for a treat at a favorite fast food restaurant. While standing in line, you notice the server is really into her hair, which she has re-arranged while waiting for the fries to be ready. She has pretty bad skin and that cold … Read more

Office Design: Dare to Dream

1000127856-1000260148 alternate text for this image

The O’Connor Dental Health Group is located on the ground floor of the Clarica Center in downtown Ottawa. This spectacular office was produced by a joint venture between CLWG Design Inc, and Henry Schein Arcona. Even though CLWG Design Inc. and Henry Schein Arcona have designed five other offices for Dr. Michael Rizk, his specific … Read more

Finance: Individual Pension Plans: Got One?

1000127913-1000260160 alternate text for this image

Have you heard about Individual Pension Plans (IPP)? As more dentists choose to incorporate their practices, IPPs will become their Sanctioned CCRA Tax Avoidance Vehicle of choice over RRSPs. IPPs were established in 1991 by Ottawa and were written into the Income Tax Act to provide senior executives and business owners with the opportunity to … Read more

Letters (June 01, 2003)

Re: What’s In a Name?… My View, Janice Goodman, March, 2003 I am a dentist in Vancouver and thought I would write a note of agreement to the sentiment expressed in your recent ‘Viewpoint’ in Oral Health. It would be a sad day indeed if the practice of cosmetic dentistry was restricted to accredited members … Read more

Good for Us! We Did It Right

The SARS epidemic, without doubt, has caught the attention of the world. Patients were exposed to the media-hype 24/7. The symptoms of fever, myalgias, headache, sore throat, dry cough, shortness of breath or difficulty in breathing are too well known. Dentists, their receptionists, hygienists and chairside assistants were constantly questioned about SARS. OSAP, in conjunction … Read more