Practice Management: Should I Raise or Lower My Fees?

Running a business is like driving a go-cart. You have a gas pedal and a brake pedal. If you start to have a line forming outside your front door, you will have patients waiting longer than three weeks to get an appointment. This is known as excess demand. There are two methods to deal with this patient excess. One is to hit the gas pedal and produce more dentistry in less time. The other is to hit the brake pedal and raise your fees.

Technology: Avoiding Computer Disasters

Happily, there are only two things that can go wrong with the data stored in your computer systems: Either 1) something unfortunate happens and the right people can’t access it properly, or 2) something even more unfortunate happens and the wrong people CAN access it. Unfortunately the majority of dental offices are not doing enough … Read more

Practice Management: The Strength of Team

How many times have you observed other practices, wishing your team was as effective and professional? Or, how often have you wished you could be only a dentist and not be involved in personnel? Putting together a professional dental team is important for your practice success and peace of mind. It requires effort. People are … Read more

News (September 01, 2003)

Sandra Cassolato

ANTISEPTIC RINSING REDUCES INTERPROXIMAL PLAQUE, GINGIVITIS Toronto–A study published in a recent issue of the Journal of the American Dental Association (JADA) demonstrates that rinsing twice daily with an essential oil-containing antiseptic mouth rinse is just as effective at reducing plaque and gingivitis in interproximal areas of the mouth as flossing once daily. This trial … Read more

2003 Self Learning Assessment (September 01, 2003)

The SLSA program is based on current, referenced literature and consists of 40 questions, answers, rationales and references. Answers appear at the end of each quiz. Dentists who complete the 15 question quiz in the November, 2003 issue of Oral Health may be eligible to receive continuing education points. The names and license numbers of … Read more

Orthodontics: The Cantilever Wrap Around Appliance

FIGURE 2--Cantilever Wrap Around Appliance anterior view.

The author finds this appliance design to be exceptionally useful for maxillary retention. It is ideal for a well-finished case where the second molars are included in the final occlusion. Some of the features and advantages of the Cantilever Wrap Around Appliance are: 1) .036″ wire is used for both the cantilever arm and the … Read more

Office Design: Nurturing Nature, Naturally

Waiting room.

When Drs. Marty Sekand and Steve Schneider planned their relocation from Markham, ON, to Richmond Hill, ON, they were clear in their vision for the new office: an environment that would be comforting to patients, but that would have a clean, contemporary look indicative of their high standards of practice and state-of-the-art procedures. In keeping … Read more

Mind Your Ascenders

1000181596-1000269826 alternate text for this image

I have the handwriting of a serial killer. And so, I prefer cutting letters out of the newspaper and pasting them together on paper but it turns out that’s not a good idea. Everyone’s so touchy these days. My predicament is the result of being left-handed. Being of a certain age, relatives who shall remain … Read more

Internet Directory (August 01, 2003)

ASSOCIATIONS CANADIAN ACADEMY OF PERIODONTOLOGY Excellent source of informationon periodontics. www.cap-acp.ca CANADIAN DENTAL PROTECTIVE ASSOCIATION Bad things happen to good dentists. www.cdpa.com iCANADEN…internet CANAdian DENtistry An OPEN FORUM on the business and practice of dentistry. www.canaden.com ONTARIO STUDY CLUB FOR OSSEOINTEGRATION Seminar calendar and OSCO Information www.osco.org TORONTO ACADEMY OF DENTISTRY Toronto Meetings Calendar, CE, … Read more

My ‘Point of View’

Dr. Nicolucci is president of the Canadian Society of Oral Implantology and Oral Health's implantology Board member.

When I was much younger, I remember thinking that ‘once something happened in the States, it was only a matter of time before it came to pass in Canada’. Take for example — Sunday shopping. When there was no Sunday shopping in Canada, people often headed to the U.S. for entertainment and shopping. There were … Read more

Implantology: Immediate Occlusal Loading for Fixed Prostheses

FIGURE 11--A panoramic radiograph demonstrating the final restoration in place.

ABSTRACT The concept of immediate implant occlusal loading root form implants for fixed restorations has received increasing interest over the last five years. Studies have discussed the factors that may influence results, including implant number, implant length, bone density, occlusal schemes and patient habits. To reduce the risks, implant numbers should be increased, occusal forces … Read more

2003 Self Learning Assessment (August 01, 2003)

The SLSA program is based on current, referenced literature and consists of 40 questions, answers, rationales and references. Answers appear at the end of each quiz. Dentists who complete the 15 question quiz in the November, 2003 issue of Oral Health may be eligible to receive continuing education points. The names and license numbers of … Read more

Implantology: Defining Occlusion

FIGURE 9--Neutralization - a benefit of intra-incline space.

Occlusion is an interesting subject. It is the one subject that everyone should agree on, yet there is no consensus. The standard of care is undefinable, the question of temporomandibular joint (TMJ) liability is unclear, and attempts by academia to explain and understand this subject on a scientific and biologic basis have not been successful. … Read more

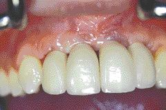
Implantology: A Non-customized Surgical Guide System for Placement of Dental Implants

FIGURE 15--The final restoration.

ABSTRACT A continuing challenge in implant dentistry has been the placement of implant(s) in a manner that enables the creation of functionally and esthetically superior restorations. Over the years, a variety of surgical guides have been developed to optimize placement, but the fabrication of such guides remains costly and time-consuming, and inadequate posterior access all … Read more

Simple Ways to Increase Implant Case Acceptance

Can implant case acceptance be increased dramatically? Based on extensive research, the answer is ‘yes’. After analyzing the data, we now have an excellent knowledge base on how to increase the number of implants performed by any type of practice. When all the factors have been considered, case presentation and patient finances are central concerns … Read more