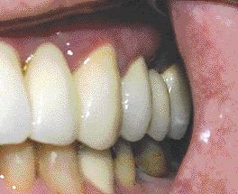
Oral Surgery: Understanding the Principles and Applications of Oral Radiosurgery

FIGURE 12--Tissue sutured in place.

Oral electrosurgery or radiosurgery is widely accepted throughout the world and has a broad range of clinical applications. Electrosurgery is an excellent alternative to the scalpel or lasers for soft tissue management, and in most instances, would be the instrument of choice. For those practitioners that want to incorporate electrosurgery into their routine patient treatment … Read more

Internet Directory (October 01, 2003)

ASSOCIATIONS CANADIAN ACADEMY OF PERIODONTOLOGY Excellent source of informationon periodontics. www.cap-acp.ca CANADIAN DENTAL PROTECTIVE ASSOCIATION Bad things happen to good dentists. www.cdpa.com iCANADEN…internet CANAdian DENtistry An OPEN FORUM on the business and practice of dentistry. www.canaden.com ONTARIO STUDY CLUB FOR OSSEOINTEGRATION Seminar calendar and OSCO Information www.osco.org TORONTO ACADEMY OF DENTISTRY Toronto Meetings Calendar, CE, … Read more

2003 Self Learning Assessment (October 01, 2003)

The SLSA program is based on current, referenced literature and consists of 40 questions, answers, rationales and references. Answers appear at the end of each quiz. Dentists who complete the 15 question quiz in the November, 2003 issue of Oral Health may be eligible to receive continuing education points. The names and license numbers of … Read more

Anxiety Management

A recent issue of Time magazine was devoted to understanding anxiety, citing the 9/11 disaster as an exacerbating factor in correctly labeling us as a nation of anxious worriers. “We live in a particularly anxious age,” Time says, noting that all animals appear to feel anxious, that being Nature’s way of preventing us from feeling … Read more

Letters (October 01, 2003)

Re: Editorial, ‘What’s In a Name?’ March 2003 Dr. Goodlin suggests that the public’s best interests are served in recognizing the accreditation in AACD as a specialty degree in “cosmetic dentistry”. The assumption is that cosmetic dentistry exists in a vacuum, that it is a discipline unto itself and that it should be recognized as … Read more

Summer Fallow

Dr. Birek is Associate Professor with the Faculty of Dentistry, University of Toronto and maintains a practice in Periodontics and Implant surgery in central Toronto.

Out west’, as my family often refers to any place west of the Ontario-Manitoba border, our farmers on the Prairies leave the land unseeded after plowing for a period of time to allow for natural recovery–they call this Summer Fallow. Summer holiday “Up North”, for many of us, is a time of reflection in addition … Read more

Pending Legislation: What Every Dentist Needs To Know About Privacy Legislation

Dentists wishing to sell their practices will face significant, if not insurmountable, legal obstacles starting January 1, 2004. For almost all dentists, the federal privacy act comes into force on that date. Most dentists will need to change their policies and procedures for collecting, using and disclosing personal information. The sleeper issue for many dentists … Read more

Just What We Need — More Rules and Regulations!

Dr. Lang is an orthodontic lecturer at the University of Toronto and past president of the Ontario Association of Orthodontists. He maintains an orthodontic practice in Mississauga and Etobicoke. Dr. Lang is co-chair of Oral Health's editorial board.

January 1, 2004, just three short months from now, looms as the day that Canadian dentists will be forced into a new regime of heightened vigilance about the privacy of our patient records. And it is all because of a complicated piece of federal government legislation that most of us have never heard of — … Read more

Let The Stigma Cease: Chemical Dependency in the Dental Office

How things change. Did you know that for many years after the construction of the Washington Monument, women were not allowed to ride in the elevator with men? It was deemed inappropriate for a woman or women to be in such close quarters with men. The ride was 12 minutes long. The men, therefore, rode … Read more

Humour: Gender-Specific Practice

From blacksmith to barber to cosmetic imaging specialists, dentists have admirably held to the goal of pursuing excellence in their profession. Early on, many general practitioners, realizing that there was just too much to know about human dentition and the medical ramifications thereof, wisely restricted their practices to specialized areas. This allowed them to know … Read more

Internet Directory (September 01, 2003)

ASSOCIATIONS CANADIAN ACADEMY OF PERIODONTOLOGY Excellent source of informationon periodontics. www.cap-acp.ca CANADIAN DENTAL PROTECTIVE ASSOCIATION Bad things happen to good dentists. www.cdpa.com iCANADEN…internet CANAdian DENtistry An OPEN FORUM on the business and practice of dentistry. www.canaden.com ONTARIO STUDY CLUB FOR OSSEOINTEGRATION Seminar calendar and OSCO Information www.osco.org TORONTO ACADEMY OF DENTISTRY Toronto Meetings Calendar, CE, … Read more

Letters to the Editor (September 01, 2003)

Re: Implant Complications and Maintenance Issues, July, 2003 Drs. Lai and Albert do not make a distinction between research-driven implant system designs and those that were developed for practical clinical applications. That is still common with most implant authors today. Our profession is indebted to the research-driven implant system designs (RDISD) for “The high predictability … Read more

Finance: Tax Recovery… the Overlooked Investment Return

It has been difficult to make money in stocks over the past three years. In fact, the bear market of 2000-2003 ranked as the second most severe of the past 100 years, only the depression of 1929-1933 caused more pain for shareholders.

Practice Management: Successfully Presenting Treatment Plans & Fees

Providing quality dentistry is important. It keeps your patients happy and increases referrals. But, as a business owner, being profitable is as important, because it allows you to pay your team well and invest in your facilities, equipment and future. Believe me, you can make a profit without feeling guilty…and, it’s easier than you think. … Read more