Using Eyelets as Braces

Case Study #3 C-December 2009 .016 nitinal archwire.

During initial bonding there are cases where there is not enough room for proper bracket placement. Bonding can often be cumbersome and time consuming. The Siamese brackets have to be steel tied and the arch wire can be difficult to engage into the slot. This helped to cause the large popularity in self-ligating brackets. As … Read more

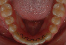
The V-loop Bonded Lingual Retainer

Figure 2 B-Maxillary and mandibular V-loop bonded lingual retainers

ABSTRACT The V- loop bonded lingual retainer is an innovative design that allows the patient to floss with ease. The interdental wire span of the V-loop design allows easier access for flossing as well as sufficient flexibility for independent tooth movement within the periodontal space. Patient acceptance of the V-loop bonded lingual retainer is excellent … Read more

A New Approach to Open Bite Treatment

Figure 8-Schematic view of difference between Cow-Catch Clear Aligners (A) and a modified Cow-Catch Clear Aligner (B).

A malocclusion characterized by an open bite is one of the most difficult conditions to treat because it results from the interaction of multiple etiologic factors.1-3 Many case reports and techniques have been reported for the orthodontic treatment of anterior open bites. Appling intrusive forces to posterior teeth is a treatment option to close anterior … Read more

Self Learning, Self Assessment 2010 (September 01, 2010)

Funding for the SLSA program has been provided by:

The SLSA program is based on current, referenced literature and consists of 40 questions, answers, rationales and references. Answers appear in the following issue at the end of each quiz. Dentists who complete the 15 question quiz in the November, 2010 issue of Oral Health may be eligible for continuing education points. The names and license numbers of all who complete the quiz will be forwarded to their respective provincial licensing authorities.

Profitable PracticeReview

1000394028-1000394029 alternate text for this image

In June of 1986, I contacted ROI Corporation to assist me in the purchase of my dental practice. The invaluable advice and guidance was instrumental in the successful purchase of one of my most profitable assets. At the age of 29, and borrowing what I thought was all the money in the world, it was … Read more

Dental Patient Management Software Requires Medical Device Licence

Jeff Coward is the President of ABELDent Inc., and may be contacted at JeffC@ABELDent.com.

On August 31, 2009, Health Canada issued a notice clarifying the classification of patient management software as a Class I or Class II medical device.1 Under the Food and Drug Act, Health Canada reviews medical devices to assess their safety, effectiveness and quality before authorizing them for sale in Canada. Since 2003, Health Canada has … Read more

A Professional Corporation – Is It the Answer for Me?

Lorne Dubros CFP, Senior Financial Consultant, Iorne.dubros@investorsgroup.com, (416) 491-7400

In recent years, a number of professions across the country have passed regulations allowing their members to incorporate. This has prompted many professionals to ask whether or not incorporation is for them. What are the benefits? The drawbacks? Here is a review of some of the issues to consider when making a decision as to … Read more

Web + log = Blog!

Catherine Wilson, Editor

T he newest arm of the Fourth Estate According to Wikipedia, a blog is a type of website or part of a website. Blogs are usually maintained by an individual with regular entries of commentary, descriptions of events, or other material such as graphics or video. Blog can also be used as a verb, meaning … Read more

Electric Handpieces: Profiting From Increased Efficiency

The dental electric handpiece is steadily winning converts in North America. These handpieces have been the more popular choices for practitioners in Europe and Asia for several decades. The reasons were initially practical: the older and less penetrable construction of buildings in these regions made it very difficult to run air lines from a central … Read more

Sybron Unveils State-of-the-Art Continuing Ed Centre

Orange, CA – Sybron Dental Specialties (SDS), Inc. announced the official opening of the Sybron Learning Center (SLC), a state-of-the-art continuing education center designed to provide dental professionals the opportunity to demonstrate and learn cutting-edge best practices.The 15,000+sq-ft facility is located directly adjacent to the Disneyland(r) Resort Theme Parks in Anaheim, CA. The learning centre … Read more

Working Poor Shut Out of Dental Cash

Toronto – Ontario’s Health Minister says there is no money to improve the oral health of Ontario’s 500,000 working poor. Deb Matthews said the province doesn’t have the resources to keep a promise of providing a dental plan for Ontario’s impoverished adults. Instead, the $135 million earmarked three years ago for affordable, routine care for … Read more

Hypersensitivity Breakthrough from Colgate

Dr. William Dorfman explains the benifts of Colgate's Pro-Argin Technology.

Toronto – Colgate introduced its new Colgate Sensitive Pro-Relief desensitizing toothpaste with Pro-Argin Technology at a special launch party in downtown Toro-nto recently. The paste is clinically proven to provide instant and lasting sensitivity relief after one application. Dr. Bill Dorfman (of Extreme Makeover fame) was on hand to introduce the product, which contains arginine, … Read more

A Move For The Better

1000394042-1000394049 alternate text for this image

In 2008, after practicing for almost 20 years in the historic Medical Arts Building as the St. George Dental Group in Toronto, Drs. Michael Weinberg and Jay Niman faced a difficult and career changing decision. The University of Toronto had purchased the building and all existing tenants were asked to leave as soon as their … Read more

Dental Tenants… Beware of Landlords with 13-Inch Rulers!

Dale Willerton is The Lease Coach and exclusively works for tenants. He has authored "Negotiate Your Dental Office Lease or Renewal"Contact information: 1-800-738-9202, e-mail DaleWillerton@TheLeaseCoach.com or visit www.TheLeaseCoach.com, www.HelpULeaseDental.com.

Are you paying for Phantom Space? Some landlords are over-charging dentists for more square footage than the tenant actually has. This is a common discrepancy in the commercial leasing industry. Dental tenants frequently trust the reported square footage of their leased premises. However, whether this figure was accidently reported by the landlord or reported by … Read more

Anterior Overlay for Simplified Anterior Design

1000381214-1000381221 alternate text for this image

Every day, the restorative dentist is faced with a great many challenges. Patient demands, esthetic concerns, parafunctional habits, pain management and a plethora of other obstacles need to be identified and addressed so that we can reliably do our jobs. Recently, Cad Cam dentistry has evolved to a level that allows us to effectively deal … Read more

‘The Big-Easy’

Dr. Nicolucci is president of the Canadian Society of Oral Implantology and is Oral Health's editorial board member for Implantology.

New Orleans — Bourbon Street, the French Quarter, the ‘Big Easy’. The latest world meeting of the I.C.O.I. (International Congress of Oral Implantologists) was held at the end of April in this historic city. It was evident that it has still not fully recovered from hurricane ‘Katrina’. A tour of the area revealed many areas … Read more

Re: Dr. Bruce Pynn’s editorial: June, 2010, You’re Only a Dentist

This editorial brought forth countless negative memories about this pejorative, yet true statement. It prompted me to write a few of my experiences with not only the public but also our fellow medical colleagues. The first incident occurred during my first year in dental school. For those who are unfamiliar with McGill’s dental program, students … Read more

Treatment Fees and Risk Factors for Implant Dentistry

Figures 13 a, b-A panoramic radiograph of the final restorations, implants and bone grafts.

Implant dentistry has become the most predictable method to replace missing teeth. The doctor and the patient often have an incentive to do treatment, which is faster, easier and less expensive. As a consequence, treatment planning for implant dentistry is most often driven by the existing bone volume in the edentulous sites. This method is … Read more

Using an Implant Mount as a Tool for Bite Registration Records

FIGURE 8-Final restoration.

One of the critical steps in prosthodontics is the impression. The precision of an impression determines the fit of the restoration. Following final impressions, an inter-occlusal record is taken in order to articulate the upper and lower models. In the Kennedy class one and two, partial edentulism, there is no posterior occlusal support. Therefore, bite … Read more