The Oral-Systemic Science: Emerging Evidence of a Strong Relationship

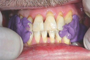
Figure 3 - Papillary Bleeding Scale.

The concept that there is a connection between periodontal disease and systemic health is not new. Dr. Willoughby Miller, in 1891, recognized and outlined the concept in a book called The Dental Cosmos, describing the mouth as a “focus of infection where microorganisms or their waste products obtain entrance to parts of the body adjacent … Read more

The Dentist’s Role in Sport Performance Mouthwear

"It really seems to help your breathing. The way it clenches your jaw down, it's not like anything I've ever worn before. The comfort level is like you don't even have a mouthguard in your mouth." - Rick Nash, Columbus Blue Jackets

Dentists have long advocated that protective mouthpieces be worn during active, and particularly contact sports. The mouth guard separates the arches by inserting a secured cushioning device around the teeth. Not only the does the mouth guard protect the integrity of the teeth from inadvertent crushing occlusal forces, but also acts as a shock absorber … Read more

Dentistry: Conformative and Reconstructive

Dr. Dmitri Svirsky is a Diplomate of the American Board of Prosthodontics and Fellow of the Royal College of Dentists of Canada. He completed his training and has taught at the Boston University School of Dental Medicine, Post-Graduate Program in Prosthodontics. Dr. Svirsky has been lecturing on topics related to conventional and implant prosthodontics in Canada, the United States and overseas. His private practice in Toronto is limited to conventional and implant prosthodontics.

My professional journey began in a dental laboratory school and progressed to graduation from Dentistry in the Ukraine. I continued my studies at Boston University, Goldman School of Dental Medicine at an undergraduate and graduate level. After graduation in prosthodontics I joined the faculty as an assistant professor and taught at both levels. Now after … Read more

The Ethics of Cosmetic Dentistry: Beneficence, beauty or “bucks”?

The attractive elderly woman on the glossy front cover of the brochure had an appearance that revealed the expected attributes of aging. Sagging jowls and wrinkles appear on a face framed by a shock of white hair. Her mouth formed a whimsical “o” hiding teeth, which is likely an intended feature of this ad for … Read more

Crown-Lengthening Procedure – A Variation of the Conventional Surgical Technique for Cosmetic Purposes

The purpose of crown lengthening is the creation of ideal conditions for crown preparations while respecting the biological width concept.1 If not respected the desirable effect is neither healthy nor cosmetically pleasing (Fig.1). Periodontal surgery in general requires removal of healthy supporting alveolar bone resulting in soft tissue “gaps” between teeth (Fig 2). Although the … Read more

The “Sunshine Vitamin” and Periodontal Health: A Vitamin D Update

Vitamin D is also known as the “sunshine vitamin” as we can endogenously synthesize vitamin D via stimulation of our skin by ultraviolet B rays. Arguably, reports on vitamin D and health are among the most popular nutrition topics in the media. There are numerous reports of an association between poor vitamin D status with … Read more

The Spirit of Berlin

1000389428-1000389429 alternate text for this image

y wife and I visited Berlin this summer – a long desired but much delayed visit … the Reichstag, Unter then Linden, Brandenburg Tor, Checkpoint Charlie, the Jüdische Museum, Topography of Horror, Tiergarten, and the Holocaust Memorial, to name a few visited sites. These places all stood witness to a painful and shameful past and … Read more

Viewpoint

1000389447-1000389448 alternate text for this image

Comment on an article published May, 2010: Small Focal Field Volumetric Cone Beam Tomography: The new standard of Care in Foundational Dentistry? by Dr. F. Barnett and Dr. K. Serota would like to thank Drs. Barnett and Serota for highlighting some of the clinical scenarios when Cone Beam Computed Tomography (CBCT) can be a valuable … Read more

Diagnostic Challenge (continued from page 60)

1000389449-1000389452 alternate text for this image

Diagnostic Challenge (continued from page 60)     In 1942, Edward C. Stafne documented 34 cases of a well-defined radiolucent entity below the inferior alveolar nerve canal, near the mandibular angle.1 The entity is a developmental, lingual cortical bone concavity of the mandible that usually contains salivary gland tissue, fat, muscle, blood vessels, lymphoid tissue … Read more

Ridge Preservation: rationale and outcome

Figure 6-Clinical photographs illustrating a graft procedure following tooth extraction. The root fragment in the alveolar socket (a). Entrance of the alveolar socket after flapless extraction (b). Biomaterial. Note that the biomaterial should be trimmed as needed (c). The biomaterial packed into the socket to the level of the bone margin (d). Free gingival graft removed from the palate (e). The entrance of the socket is closed by the gingival graft that is secured in place by single sutures (f).

Abstract   The aim of the present review was to summarize the current knowledge about (i) the dimensional alterations that occur in the alveolar ridge following tooth extraction and (ii) the available clinical procedures to preserve the ridge dimension. Several studies in human and in dogs demonstrated that the healing of the edentulous site is … Read more

Oral Decontamination Through Definitive Sanative Therapy: Peace in the Periodontal Regions

Figure 8- This radiograph taken 2 years after baseline reveals a decrease in the diastema as well as resolution of the angular defect on the mesial of 11 seen at baseline.

The periodontal tissues including the alveolar bone, the periodontal ligament, cementum and gingiva are the battleground upon which is staged an intricate assault by micro-organisms and a clever defense by the host’s immune system. As Napoleon wrote, “Victory belongs to the most persevering.” When defended effectively, and reinforced by appropriate oral hygiene and professional prophylaxis, … Read more

The Pathfiles: A New Series of Rotary Nickel Titanium Instruments for Mechanical Pre-Flaring and Creating the Glide Path

Figure 26-Case treated with PathFile and GTX. Post-operative radiograph (Courtesy of Dr. Stephen Buchanan, Santa Barbara, CA, USA).

Rotary NiTi instruments have revolutionised endodontics, allowing even the less experienced dentist to create perfectly truncated-conical shaping in harmony with the original anatomy, and improving the prognosis even of the most complex cases. Many “in vitro”1-13 and “in vivo”14-17 studies show quite clearly that the nickel-titanium alloy is greatly superior to stainless steel, since with … Read more

Dumb Stupid Laws

Dr. Lang is an orthodontic lecturer at the University of Toronto and past president of the Ontario Association of Orthodontists. He maintains an orthodontic practice in Mississauga and West Toronto, ON. Dr. Lang is co-chair of Oral Health's editorial board.

If you sit at your computer and Google “dumb stupid laws”, you will be surprised to find all sorts of websites listing hundreds of really dumb stupid laws, in both the United States and Canada. Some of my favorites are as follows: • In Alabama, it is illegal for a driver to be blindfolded while … Read more

Disclosure of Adverse Events in Health Care

It is now well established that patients commonly suffer injuries on account of medical treatment (‘incidents’ or ‘adverse events’). Studies done in Canada,1 Spain,2 Australia,3 the UK,4 and the US5 reveal very similar rates of adverse events: about 10% of hospitalized patients experience an adverse event, 1 in 200 die in part due to these … Read more

Is This Article Worth Reading? A Critical Analysis of Peer Review

Introduction Dr. John O’Keefe, Editor- in- Chief of the Journal of the Canadian Dental Association is of the opinion that, “The peer review process is the cornerstone of the JCDA. It ensures that the material presented in the publication meets certain criteria of quality, accuracy, and relevance to practice.”1 Dr. Richard Smith, a former editor … Read more