Self learning, Self assessment 2010 (August 01, 2010)

Funding for the SLSA program has been provided by:

The SLSA program is based on current, referenced literature and consists of 40 questions, answers, rationales and references. Answers appear in the following issue at the end of each quiz.Dentists who complete the 15 question quiz in the November, 2010 issue of Oral Health may be eligible for continuing education points. The names and license numbers of all who complete the quiz will be forwarded to their respective provincial licensing authorities.

Dentistry’s Role in Mass Fatality Incidents

Figure 10-Post Mortem X-ray. Courtesy - Personal Files of Dr. Frank Stechey, Hamilton, Ontario.

“It is impossible to predict if, when, and where the next act of terrorism or natural disaster will occur. Every American, including emergency workers and first responders, has the right to expect that if they are a victim of a terrorist attack or natural disaster, every effort would be made for a quick and accurate … Read more

Dental education…As you like it

Dr. Freedman is a founder and past president of the American Academy of Cosmetic Dentistry, a co-founder of the Canadian Academy for Esthetic Dentistry and a Diplomate of the American Board of Aesthetic Dentistry. Dr. Freedman sits on the Oral Health Editorial Board (Dental Materials and Technology) is a Team Member of REALITY and lectures internationally on dental esthetics and dental technology. He is a visiting professor, Universita di Firenze, Florence, Italy. A graduate of McGill University in Montreal, Dr. Freedman maintains a private practice limited to Esthetic Dentistry in Markham, ON, Canada.

Continuing dental education has taken many and varied forms over the years. The first ongoing dental journal, the Dental Cosmos, was published by Samuel Stockton White (founder of the SSWhite Company) in 1859. This magazine eventually morphed into the Journal of the American Dental Association. Dental conferences, congresses, symposia, and single or multiple-day courses, intended … Read more

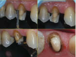
New Paradigm for Crown Preparation: Great White Ultra Carbide Instruments

Figure 29

The standards of dental care have evolved rapidly over the past 50 years.1 Today’s best practice modalities require both tooth conservation and clinical efficiency.2 These concepts are not always mutually compatible. The efficient, and preferably rapid, removal of existing tooth structures and restorative materials must be accomplished with minimal heat generation during the preparation phase.3 … Read more

Soft Tissue Diode Laser

Figure 9a--After.

Surgery. No one wants to hear the word. Electrosurgery or radiosurgery. Again, no one wants to hear the word let alone have the procedure. But laser surgery. Now you are talking high tech, and yes, patients are more willing and open to the idea of having a procedure with a laser. So, what is a … Read more

To Our Readers

Regarding the relevance of the breast picture in the June, 2010 issue (page 22). Admittedly this is a bit unusual for Oral Health Journal. It is simply to show the post-operative scar from the rib graft site and how esthetic it is. If you look closely you can see it in the inframammary crease. It … Read more

Economical Single Appointment Resin Crowns for Clinical Problem Solving

Figure 13--Immediate post op of the Natural 1 Crown cemented to place.

Problem solving issues that present in our offices nearly every day is what makes the pursuit of continuing education and learning new techniques imperative to providing consistent quality care to our patients. Whether it is in an article like this, lectures, hands-on classroom training or sitting around with a group of dental friends discussing what … Read more

Griptab — Make Life Stress-free When Placing Inlays, Onlays, Crowns and Veneers

Figure 19--Griptab facilitation of shade matching with two resin try-in pastes prior to cementation of the veneers. Note how the Griptabs do not interfere with colour matching and they make pickup and release of the veneers a simple, predictable procedure.

One of the major challenges in placing indirect aesthetic restorations is handling and controlling the restoration during preparation for bonding, loading with bonding material, and accurate placement of the restoration. A new product from Triodent, developers of the V3 Ring system for managing contact points, has been released to make the placement of indirect restorations … Read more

Getting wired with Oral Health & Dental Practice Management

At Oral Health & DPM, we have always taken pride in delivering the very best clinical and practice management information to our readers. Thanks to your loyal readership, Oral Health & DPM are Canada’s leading clinical and practice management publications. Now we are proud to extend the reach of Oral Health/DPM publications to our website, … Read more

Self Learning, Self Assessment 2010 (July 01, 2010)

Funding for the SLSA program has been provided by:

The SLSA program is based on current, referenced literature and consists of 40 questions, answers, rationales and references. Answers appear in the following issue at the end of each quiz. Dentists who complete the 15 question quiz in the November, 2010 issue of Oral Health may be eligible for continuing education points. The names and license numbers of all who complete the quiz will be forwarded to their respective provincial licensing authorities.

Emerging Natural Therapies for Oral Care: Reflections on Oral Health from a Holistic Perspective

Patients increasingly seek integrated and preventative approaches to their healthcare. In this changing health environment, oral healthcare specialists can leverage and expand their long-standing commitment to the preventative care model. The preventative care model in dentistry focuses on education and ongoing maintenance. As processed sugary foods flood a market sated by quick fixes, dentists respond … Read more

You’re Only a Dentist…

Dr Pynn practices oral and maxillofacial surgery in Thunder Bay, Ontario.

I was relaxing on the plane during a recent transatlantic flight; deeply focused on my book when I heard, “is there a doctor on board”? As no one responded, my wife, Tania, sitting across from me, gave me the look and told me to go help out. So I walked to the back of plane … Read more

Effective Post-Surgical Pain Management

Figure 5

Abstract The inroads made over the last decade have greatly increased our knowledge in pain conduction and perception. This has lead to pain management protocols that place excellent pain control modalities in the hands of the clinician. Trigeminal anatomy, the physiology of pain and the anatomical basis for pain management protocols are described. Concepts of … Read more

Replacement of the Temporomandibular Joint

Figure 5 a,b,c,d,e,f,g,h--38 year old female with PSS (progressive systemic sclerosis). Note the absence of condyles, anterior open bite and the stiff board like facies. Bilateral total joint reconstruction in combination with orthognathic surgery led to a significant improvement in occlusion, functional range of motion and esthetics.

While dentists deal with aspects of, or problems with and related to the temporomandibular joint every week in our practices, we do not often meet patients who are in need of replacement of their mandibular condyle or fossa or both. As a matter of fact it would be a rare requirement to need fossa replacement … Read more

Getting Wired with Oral Health

1000374013-1000374014 alternate text for this image

At Oral Health, we have always taken pride in delivering the very best clinical information to our readers. Thanks to your loyal readership, Oral Health has become Canada’s leading clinical journal. Now we are proud to extend the reach of Oral Health‘s print journal to our website, delivering you new content electronically. We are delighted … Read more