Digital composite veneers are minimally invasive for young patients who want ‘immediate’ change, says dentist

young people – veneers alternate text for this image

For young patients in their late teens and early 20s, seeking aesthetic changes in line with their TikTok-scrolling generation, pearly white smiles are in rising demand. “I see a lot of young patients. It’s just my patient demographic,” said Dr. Sunny Verdi. While dentists like Dr. Verdi may suggest orthodontics or interdisciplinary treatment, young patients … Read more

3D Face Scanning: Readily Affordable and Easy-to-Use

horovitz_thumbnail alternate text for this image

The precise mapping of three-dimensional spatial interactions between the hard dental and facial structures and the soft facial tissues is essential to obtaining both functional and esthetic outcomes in dental diagnostics and restorative therapy. This is especially crucial for patients undergoing orthodontic and orthognathic treatment; in the former, it is necessary to anticipate the facial … Read more

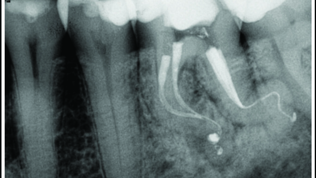
Safe and Effective 3-D Endodontic Disinfection: Laser Assisted Endodontic Irrigation

GM-Fig5c alternate text for this image

The ultimate goal of endodontic treatment is the prevention and/or treatment of apical periodontitis such that there is complete healing and absence of infection1 while the overall long-term goal is the placement of a definitive, clinically successful restoration and preservation of tooth structure. Successful endodontic treatment depends on a number of factors, including proper instrumentation, successful … Read more

3D Printing: The Revolution in Dentistry

oral-health-july-2023 alternate text for this image

3D printing in dentistry is HERE, and it is changing everything. Its auspicious beginning is reminiscent of cosmetic dentistry in the 1980s, veneers and bleaching in the 1990s, implants in the 2000s, and milled restorations in the 2010s. The needs are many, the technologies are numerous, the applications are almost unlimited, and the potential is … Read more

3D Fabrication Workflow: Solid & Lattice-structured Titanium Alloy Dental Implant Overdenture Bars

Kalman fig 1 alternate text for this image

Introduction Dental implants remain the gold standard for the replacement of one or more missing teeth.1,2 In an edentulous arch, all the teeth are missing and rehabilitation with implants provides the patient a significant improvement in function, aesthetics and quality of life.3 Implant bars, where a bone-affixed bar supports and retains the denture instead of … Read more