Paid

Why Thousands Of Doctors Are Trusting OMNICHROMA

Since its launch at the Chicago Midwinter show in February, 2019, OMNICHROMA has been making a huge splash across the country, impacting dentists’ practices and simplifying their procedures. As the first universal composite that matches every tooth shade with a single shade of composite, OMNICHROMA is now finding itself as the main composite for many … Read more

Totally Simplified Colour Matching: Single Shade Direct Composite

Lowe-002 alternate text for this image

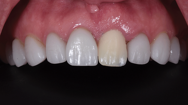
Placing tooth colored direct composite restorations is a clinical challenge for even the most experienced clinician. Aside from the technique sensitivities involved in adhesive bonding, determining a shade (whether single or layered) that predictably and precisely matches the natural tooth each and every time can be extremely difficult. Shading for most composite materials relies on … Read more

Colour Modifiers To Match An Odd Shade

Mazza-Fig-14 alternate text for this image

Matching odd shades (particularly if they do not appear in shade guides) can be a challenging task for a dental professional. A skillful practitioner who is familiar with principles of colour (Value, Chroma, Hue and Translucency) and composite systems, colour modifiers and shade matching principles, can create and match a restoration to the existing dentition … Read more

Paid

How OMNICHROMA Can Make Your Practice More Efficient

For most dentists, having reliable, high-quality composites is essential for day-to-day restorations. However, maintaining inventory of composites and the vast variety of shades they come in can be challenging and expensive. Moreover, shade selecting in restorative procedures can often be tiresome and tricky for certain cases. Tokuyama Dental’s OMNICHROMA streamlines the restorative process and simplifies … Read more