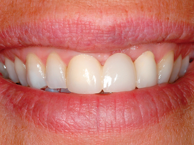
Grandio® blocs: Nano-Ceramic Resin Hybrid CAD/CAM Block

PS-Grandio-blocs_Set_Druck alternate text for this image

VOCO proudly introduces Grandio blocs, the new 86% filled nano-ceramic resin hybrid CAD/CAM block indicated for crowns, inlays/onlays, veneers, and implant supported crowns.  With a combination of optimal tooth-like physical properties, category leading compressive strength, extremely low water absorption, and natural esthetics with enhanced color stability, Grandio blocs provide a new solution for practitioners and … Read more

Clinical Brief: Splinting or Non-Splinting

Clinical Brief Mark Lin Spinting alternate text for this image

The age old question: To splint, or not to splint. That’s what Dr. Mark Lin is tackling in our newest Clinical Brief video. Watch last week’s video: Using Screw Retained Implant Restorations From our June issue of Oral Health: Not All Occlusal Splints are Created Equally

Children at Risk?: One Dentist’s Thoughts

sedation

On July 9th, the show Sunday Night with Megyn Kelly aired a piece called “Children at Risk? Kids and Sedation at the Dentist’s Office” that may generate discussion among your colleagues and in your practices. The lead reporter in the piece was NBC News national correspondent Kate Snow. In that piece, the safety of sedation … Read more

Risk Factors in Implant Dentistry: “Patient Local Related” Risk Factors

Arlin 5A alternate text for this image

Introduction This article is the third in a series for Oral Health magazine (August issues) that highlights the discipline of Implant Dentistry. The first article 1 of the series was published in the August 2015 issue with the title “Surgical Risk Factors in Implant Dentistry: “Effect on Failures and Bone Loss”. The second article 2 … Read more

Full Arch Immediate Fixed Implant Rehabilitation: A Case Demonstration

Microsoft Word – All In 1 Arch.docx alternate text for this image

The Quality of Life studies in the scientific literature highlighted the compromises with conventional removable prosthesis versus benefits of implant retained removable or fixed prosthesis. In addition, even a larger but unspecified number of patients present with terminal non-restorable dentition that will require full Arch/mouth rehabilitation in due time. When given a choice, most patients … Read more

Editorial: Remembering Greatness

sedation

Dr. Carl Misch was a friend of our family whom I would best describe as a passionate man – both in his personal and professional life. And professionally, his passion was for dental implants. As a child, Carl always said he wanted to be a dentist.  Later during his dental schooling, when asked why he … Read more

Predicting The Transition Line Of An Immediate Complete Maxillary Implant Prosthesis

Introduction Complete maxillary implant rehabilitation presents great challenges in achieving optimal aesthetic outcomes. The aesthetic component of the rehabilitation can often be unpredictable and not satisfy patients’ expectations, which implies the need of highly well done pre-operative examination and treatment planning. In patients with a high lip line, the transition between the implant prosthesis and … Read more

Keys to Predictable Socket Grafting: Part 2

sedation

The last article discussed the first five keys to bone grafting. The keys to bone grafting are local factors that affect the prognosis of the procedure and include: defect size, absence of infection, soft tissue closure, space maintenance, graft immobilization, regional acceleratory phenomenon, bone vascularity, growth factors, healing regeneration time, graft materials and a transitional … Read more

The Economics of Dental Aesthetics

Lowe 018 alternate text for this image

The Past When it became possible to bond tooth colored restorative materials to enamel in the early 1980’s, dental practice, as we know it was changed forever. The “Age of Aesthetic Dentistry” was born. No longer did the dentist deal with only dental disease (caries and periodontal), but now could offer solutions for aesthetic dental … Read more

CBCT In Treatment Planning Of External Cervical Resorption: A Case Series

Nahmias Figure 1 alternate text for this image

Resorption of tooth structure happens in primary and permanent dentitions. Physiologic tooth resorption involves primary teeth, preceding their shedding. In permanent dentition, tooth resorption is a pathologic phenomenon, and is classified as internal or external resorption, depending on the surface of tooth structure involved. External root resorption can be further classified into surface resorption, external … Read more

Dentsply Sirona Implant Supporting Full Implant Treatment Process

SmartFix EV_1234277 alternate text for this image

The implant treatment process contains many steps—from imaging and diagnosis, treatment planning and implant surgery to abutment selection, restorative solutions and patient follow-up. Dentsply Sirona Implants presents several new solutions to their already extensive portfolio to delegates at their second World Summit Tour stop in San Diego. “Whether thought leader, researcher, educator, Specialist, GP, or … Read more

ImplantPro® Family Expands with New Titanium Scalers and Curettes

ImplantPro-5 alternate text for this image

Brasseler USA®, a leading manufacturer of quality instrumentation, is pleased to announce an expansion of its popular ImplantPro® family of products with new ImplantPro® Titanium Scalers and Curettes. The thin, durable tips and ergonomic design of ImplantPro Titanium Scalers and Curettes safely yet effectively remove calculus and biofilm around implants, both supra- and sub- gingivally … Read more

The Evolution of the BEGO Semados® S-Line SC/SCX Implants

bego-implant alternate text for this image

The proven self-tapping thread design of the cylindrical S-Line implants has been reengineered in the thread course and the cutting groove taking the existing preparation instruments into account and optimises the micro-threads on the implant head in the SC/SCX-implants. The machined shoulder of the new SC implant enables it to connect seamlessly with the known … Read more

Viteo Base: New Titanium Base for Implant-Supported Single-Tooth Restorations

viteo alternate text for this image

Viteo Base is a titanium base for implant-supported single-tooth restorations. The bonding surface with recessed rotation protection is characterized by a special “soft edge” design. The base provides optimum support for CAD/CAM-processed or pressed all-ceramic materials. As the bonding surface is preconditioned, quick and reliable bonding is ensured. The abutment height can be shortened to … Read more

Brasseler USA® Introduces ImplantPro® Titanium Probes

ImplantPro alternate text for this image

Brasseler USA®, a leading manufacturer of quality instrumentation, is pleased to announce the expansion of its popular ImplantPro® family of products with new ImplantPro® Titanium Probes. A reliable alternative to plastic probes, ImplantPro Titanium Probes are ideal for use on both implants and natural dentition. Designed with a winning combination of innovative design and superior … Read more

Implant Treatment with Integrated Solutions for Efficient Workflows

2015-12-03-Sirona_M04_1471 alternate text for this image

Dentsply Sirona’s integrated solutions for implant dentistry enable dental professionals to deliver safer and more efficient treatment processes as well as increased comfort and improved quality of life for their patients. The merger between DENTSPLY and Sirona has brought together two companies with long-term expertise in their respective fields, providing innovative and clinically tested technology, … Read more

CEREC: Complete System for Restorations, Implantology and Orthodontics

CEREC open_02 alternate text for this image

More than 30 years ago Dentsply Sirona brought CEREC to the market, a system which pioneered single visit dentistry. CEREC has been continually developed in that time so that not only restorations, but also implant drill guides, custom implant prosthetics and even orthodontic indications are covered by the versatile system. In so doing, Dentsply Sirona … Read more

Integrated Implantology with Teneo

Abb2 alternate text for this image

Integrated functions make Teneo a true expert – especially in implantology. Many implantologists have already come to appreciate Teneo’s qualities. The premium treatment center from Dentsply Sirona Treatment Centers has allowed the familiar steps of implantology treatment to be performed by setting speed, torque, and sterile coolant. To further optimize processes, Teneo has been enhanced … Read more

New Solutions Allow Dentsply Sirona to Provide Full Implant Support

DS_Implants_SmartFix alternate text for this image

The implant treatment process contains many steps – from imaging and diagnosis, treatment planning and implant surgery to abutment selection, restorative solutions and patient follow-up. At IDS, Dentsply Sirona Implants presents several new solutions to their already extensive portfolio to further support dental professionals in their daily work. Implant solutions – The SmartFix concept SmartFix … Read more