Immediate Loading of Extra-short Implants (6.5 mm in length)

anitua-feature alternate text for this image

A Retrospective Study with 2 to 6 Years of Follow-up Immediate loading of dental implants is a protocol that has become increasingly widespread since it began to be used in the 1990s1-3 and today has success rates similar to those of implants inserted using the “conventional” loading protocol (98.2% for immediate loading versus 99.6% for conventional … Read more

An Implant Osteotomy Paradigm Shift – Benefits of Minimally Invasive Implant Osteotomy Creation Utilizing a Simple 2-Step Process

Birdi-Fig-35 alternate text for this image

The field of implant dentistry has seen rapid innovation since Per-Ingvar Brånemark1 placed the first screw-retained dental implant in 1965. Yet, the approach to osteotomy creation has remained largely unchanged. Even with the advent of guided implant surgery and drilling innovations,2 patients are still expected to wait anywhere from three to six months for delivery of the … Read more

The Evolving Journey of Implant Dentistry

oral-health-august-2023 alternate text for this image

As dentists, when considering tooth replacement for our patients, dental implants are top of mind. They are a stable and durable treatment modality, considered the gold standard for tooth replacement. Dental implants have come a long way since the Toronto Conference in 1982 and the initial work of Dr. Brånemark. The variety in modalities, be … Read more

Weekly Wisdom: Computer Guided Implant Surgery

WW Thumbnail_1920x1080_230822 2 alternate text for this image

  Dr. Mark Lin, Director of TIDE, talks about the concept of computer guided implant surgery in this episode of Weekly Wisdom.     Subscribe to Oral Health’s weekly e-newsletter to have the latest episode delivered straight to your inbox every week!   Sponsored by The Institute for Dental Excellence (T.I.D.E.) is committed to providing … Read more

Trusting Nature

august-2022 alternate text for this image

The opportunity to learn many lessons has been hurled upon us over the last two and a half years. We have seen storms come and go and temperatures rise to new limits. We have also witnessed almost every aspect of our lives be disrupted by an infectious agent so small it cannot be seen by … Read more

Exploring Blockchain in Dentistry

Aerial view of mangrove forest in Gambia. Photo made by drone from above. Africa Natural Landscape. alternate text for this image

The information flowing along a blockchain is like a river that knows no country borders, is as unregulated as nature, and forever carries upstream pollution. Everyone paddling on the water can agree on the river’s depth at any point along the journey, and the river does not run straight because there is no one in … Read more

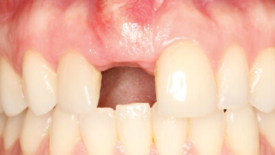
Digital Workflow for Implant Provisionalization in the Aesthetic Zone

Intraoral photo showing frontal view of the patient in MIP with implant healing abutment.

Dental implants have been the recommended treatment of choice as a conservative approach in replacing missing teeth while preserving adjacent tooth structure when compared to fixed dental prostheses.1 The ability of the implant supported crown to replicate natural tooth like emergence profile provides the advantage of achieving higher aesthetic results in the anterior zone.2 Their … Read more

Removal of Osseointegrated Dental Implants

Termei Fig 3A alternate text for this image

Implant therapy has become a predictable treatment option for tooth replacement with a 5-year survival rate of 97.1%.1 Despite this high survival rate, implant failure can still happen which would necessitate removal, or better said, explantation of the unsuccessful implant. Approximately 34% of failures occur within the first 5 years after placement and it could … Read more

Keys for Successful Aesthetic Zone Single Implant: Case Reports

Noroozi_3Fig5 alternate text for this image

To achieve a successful aesthetic result and good patient satisfaction, implant placement in the aesthetic zone demands a thorough understanding of anatomic, biologic, surgical and prosthetic principles. The ability to achieve harmonious, indistinguishable restoration from adjacent natural teeth in the aesthetic zone is very often challenging. Placement of dental implants in the aesthetic zone is … Read more

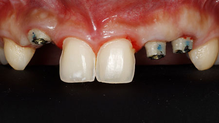
Transcrestal Sinus Lift Combined with Short Implants Inserted with Low Torque in Type IV and V Bone with 10 to 12 Years Follow-up.

Anitua_fig4 alternate text for this image

The transcrestal or transalveolar sinus lift procedure was described by Summers in 19941 as an alternative to the “traditional” approach, using the lateral window to reduce the morbidity of the technique. As initially described, the procedure consisted of an approach from the alveolar ridge using progressive caliber osteotomes that are activated using a hammer that … Read more

Weekly Wisdom: Laboratory Fabricated Guides

WW Thumbnail_1920x1080_260722 1 alternate text for this image

  Dr. Mark Lin, Director of TIDE, discusses the concept of laboratory fabricated guides in this episode of Weekly Wisdom.     Subscribe to Oral Health’s weekly e-newsletter to have the latest episode delivered straight to your inbox every week!   Sponsored by The Institute for Dental Excellence (T.I.D.E.) is committed to providing its members … Read more

Weekly Wisdom: Free Handed Surgical Implant Placements

WW Thumbnail_1920x1080_210622 2 alternate text for this image

  Dr. Mark Lin, Director of TIDE, discusses the “free handed” surgical guide to aid in precise implant placements in this episode of Weekly Wisdom.     Subscribe to Oral Health’s weekly e-newsletter to have the latest episode delivered straight to your inbox every week!   Sponsored by The Institute for Dental Excellence (T.I.D.E.) is … Read more

Congenitally Missing Teeth: A Prosthodontic Case Report

Seyedan-thumbnail alternate text for this image

Introduction The maxillary lateral incisors are the most common congenitally missing teeth after the upper and lower second premolars. Gender differences are negligible, with women slightly more affected than men.1 Agenesis of the maxillary lateral incisors presents a significant challenge to clinicians since it negatively impacts dental and facial esthetics. Furthermore, this condition impacts function … Read more

Weekly Wisdom: Define Implant Dentistry

WW Thumbnail_1920x1080_310522 1 alternate text for this image

  Dr. Mark Lin, Director of TIDE, shares the definition of implant dentistry in this episode of Weekly Wisdom.     Subscribe to Oral Health’s weekly e-newsletter to have the latest episode delivered straight to your inbox every week!   Sponsored by The Institute for Dental Excellence (T.I.D.E.) is committed to providing its members with … Read more

Paradigm Shifts

AUGUST-2021 alternate text for this image

Dental implants are a standard of care in dentistry but this wasn’t always true. I distinctly remember one of my dental instructors saying I shouldn’t get involved in that “voodoo” dentistry. Perhaps he had heard the ADA say in the late ’70s that dental implants were not recommended for routine clinical practice and was simply … Read more

Minimally Invasive, Inter-Disciplinary Management for Cosmetic Rehabilitation in a High Smile Line Patient: A Case Report

Said-Picture6 alternate text for this image

Introduction: The purpose of this case report is to illustrate the potential of utilizing digital technology to minimize surgical invasion and increase precision in management of compromised sites in the esthetic zone. Article In modern-day implant dentistry, the ability to achieve a harmonious integration of the implant restoration is no longer optional but to a … Read more

Angulated Implant Placement in the Posterior Maxilla to Avoid Sinus Augmentation and Improve Prosthesis Support: A Case Report

Pollak-fig5 alternate text for this image

Abstract The success of dental implant procedures is dependent on many factors. Overall medical status and health, and economic considerations can be limiting factors in determining which of our patients are appropriate candidates. Additionally, the time required for some implant treatments, and the need to perform bone grafting and augmentative procedures in a staged manner … Read more

Osseodensification for Implant Dentistry: Multiple Clinical Applications

Goodman-5-22987 alternate text for this image

Osseodensification (OD) is a innovative technique that aims at bone preservation utilizing the collection of autogenous bone with nonsubtractive drilling within the implant site via the compaction of cancellous bone, which has good viscoelastic and plastic deformation characteristics. Unlike traditional osteotomy, OD does not excavate bone but simultaneously compacts and autografts the particulate bone in … Read more

Regenerative Surgical Therapy for the Treatment of Peri-Implantitis: A Case Report

Bhide-Figure5 alternate text for this image

Introduction Peri-implantitis is a high prevalence, biofilm-initiated pathological condition characterized by inflammation of the peri-implant mucosa with progressive loss of supporting bone surrounding a functional endosseous implant.1-3 If left untreated, peri-implantitis can lead to loss of osseointegration and ultimately, implant failure. Current therapeutic approaches for peri-implantitis include non-surgical and surgical treatments followed by ongoing supportive … Read more