Root Canals Could Be Seeing Their Last Days

Could root canal procedures go by the wayside in the not-too-distant future? Scientists from the University of Nottingham and Harvard University’s Wyss Institute hope so. They’re developing a new treatment strategy that could someday help heal a damaged tooth using the patient’s own stem cells. Though the work is still in its early stages, and … Read more

An Updated Approach to Ridge Preservation

Kohl 36. resorbable membrane secured with tack alternate text for this image

In a perfect world, after the extraction of a tooth, there would be complete preservation and restoration of the original ridge volume via the natural process of tissue modeling, which is ideal for future implant placement. Commonly, and unfortunately, this is not the case. Regardless of whether tooth removal is atraumatic or not, healing of … Read more

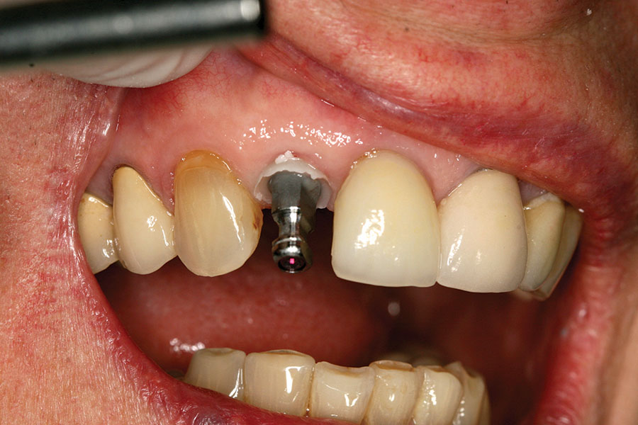
Predictable Enhanced Esthetics in Implant Restorations

Rosenfeld Fig42 alternate text for this image

Much has evolved about the placement protocols and usage of endosseous dental implants. Early on, the osseointegration of dental implants was imagined as a way to restore patients with total or near-total edentulism, through the stabilization of a removable prosthesis. Initial protocols called for several months of healing after tooth removal. It was recognized that … Read more

American woman wakes from surgery with British accent – pity eh what!

No, this is not an updated version of the Guess Who song from 1970… By Seamus McGraw When she went under the oral surgeon‘s knife 18 months ago, Karen Butler sounded like any other lifelong resident of coastal Oregon. But when she shook  Cover of The Guess Who off the anesthesia, the 56-year-old mother of … Read more

Lindsey Lohan Banned for Dental Sedatives Drugs

I figured that if there was a Lindsay Lohan dental story, it would give some serious street cred to this new blog………so here goes………..Even though Lindsay Lohan has been banned by a Judge from taking drugs, she underwent anesthesia recently for dental surgery. She has been ordered by a judge recently to stay away from … Read more