ADAs 23rd New Dentist Conference In Miami

Chicago–Distinguished speakers are slated to discuss oral health issues currently before Congress and their impact on the dental profession as well as clinical and practice issues at the American Dental Association (ADA) 23rd New Dentist Conference at the Hyatt Regency in Miami, April 30 to May 2. Dentists are invited to join the ADA Committee … Read more

Add A Little Aloha To Your Practice

Madison, WI–Excellence in Cosmetic Dentistry 2009 provides dentistry’s premier program of cutting-edge continuing education and exquisite networking events. Experience excellence in cosmetic dentistry with the most innovative professionals in the field from Monday, April 27-Friday, May 1, 2009. World-renowned educators will teach modern clinical techniques in cosmetic dentistry via lectures and in-depth hands-on workshops. The … Read more

Recession? What Recession?

New York City–There’s at least one profession the recession isn’t taking a bite out of: dentistry. Dental offices had higher profit margins than any other industry in ’08, according to Sageworks, a US-based firm that tracks private company financial performance. With average profit margins at 17 percent, dentistry outperformed accounting, tax preparation, legal services, payroll … Read more

IFED 6th World Congress

1000228503-1000317334 alternate text for this image

Chicago, IL–Passion, Esthetics & New Technology: The Future of Dentistry is the theme of the IFED event in Las Vegas, August 2-5, 2009, hosted by the American Academy of Esthetic Dentistry. IFED holds a world scientific meeting every two years, hosted by a member academy and attended by delegates from around the world. Programs are … Read more

Supersize your pension with an Individual Pension Plan

Angela A. Hamilton, PFP

Many Canadians have seen their RRSPs take a significant hit in the markets this year. Most can do little more than hope for a quick recovery. But there is another option. It’s called an Individual Pension Plan (IPP), and it’s something every incorporated oral health professional should consider as retirement draws near. WHAT IS AN … Read more

The Greening Of An Ottawa Practice

1000228530-1000317346 alternate text for this image

Located in southwest Ottawa, Capital Periodontics has successfully merged contemporary design and eco-friendly practices. When Dr. Shelemay designed the office, the goal was to create a warm, inviting space for patients, a comfortable work environment for staff, and to use the space as a centre for continuing education for the Ottawa dental community while keeping … Read more

Deducting Your Home/Cottage Mortgage Interest

1000228569-1000317347 alternate text for this image

Who Benefits? Individuals who: a. Have personal non-tax deductible debts, such as a home mortgage, and b. Own a practice, which operates as a proprietorship or partnership, and c. Have built up value in the practice. Note: This maneuver does not work if a dentist has a professional corporation. Tax Saving You can get a … Read more

Making the TRANSITION from CEO to FFO

Sarah K. Lynch

Freedom From Ownership (FFO) is on the minds of an ever increasing number of healthcare professionals. Over 50% of Canadian dentists are between the ages of 50 and 65. The years 2009 to 2012 are destined to reveal the Baby-Boomer-Business-Owner (BBBO™) exit phenomenon — in ever-increasing numbers. Are you ready to relinquish your CEO “hat” … Read more

Dental Technology Of Tomorrow… Or Is It Here Today?

I have been involved in the field of dental technology for over 40 years and I have witnessed many changes in how we, (the dental mechanics of the ’60s, the dental technicians of the ’80s, and the technologists of the 21st century) deliver our products and services to the dental health professionals for the welfare … Read more

Self Learning, Self Assessment 2009 (March 01, 2009)

The SLSA program is based on current, referenced literature and consists of 40 questions, answers, rationales and references. Answers appear in the following issue at the end of each quiz. Dentists who complete the 15 question quiz in the November, 2009 issue of Oral Health may be eligible to receive continuing education points. The names … Read more

Innovations In CAD/CAM Technology: CEREC AC With Bluecam

Figure 12--Milling Preview window illustrating position of the design within a polychromatic block

Advances in technology continually challenge dentists to re-evaluate their current techniques for patient treatment. Computer Assisted Design/Computer Assisted Machining (CAD/CAM) is a technological innovation for dentistry that has significantly affected materials and processes in both the dental laboratory and clinic. A number of digital systems have been introduced that offer dentists the opportunity to deliver … Read more

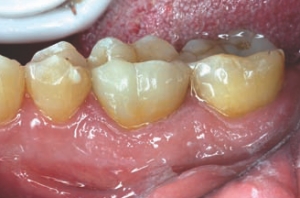
Case Presentations For The Use Of E4D CAD/CAM Dentistry In General Practice

Figures 16-19--(Case 2) The scanning in case 2 was done from an impression. The design center has an impression mode which allows the certified dental assistant to scan the impression yet see the restoration in the correct orientation. The scanning of an anterior is done in a different order and can require a few additional scans. Scanning to the the same tooth in the other quadrant is helpful is the design. The crown was designed to present a more esthetic smile

The use of CAD/CAM technology in dentistry is increasing in popularity, whether lab related or chairside. Chairside units (E4D Dentist and CEREC) provide clinicians with multiple advantages of providing same day dentistry to their patients, controlling delivery times, costs and providing the dental team with additional reponsibilities. Specifically, the E4D Dentist System offers this technology … Read more

Women’s Conference: Women’s Weekend Dental Conference 2009

1000229933-1000322734 alternate text for this image

Clinical Research Dental is pleased and excited to announce our first Women’s Weekend Dental Conference that will be held on June 5-6, 2009 at the Nottawasaga Inn Resort in Alliston, ON. Just a short 45 minute drive north of Toronto, lies the luxury Nottawasaga Inn Resort, where you’ll experience world-class amenities in a tranquil countryside … Read more

A Historical Perspective Of Tooth Preparation For CEREC Technology

figure 20

CAD/CAM technology was introduced to the dental world now over 20 years ago. The CEREC 1 machine with its large diamond milling wheel allowed the clinician to fabricate all-ceramic inlays and onlays from a monochromatic block of ceramic in a single-appointment. The dental CAD/CAM world took a large leap forward in the late 90s with … Read more

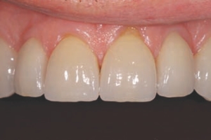
Treatment Of And Delivery Of An All-Ceramic Restoration

figure 12

Ceramic prosthetics can provide patients with durable, functional and esthetic restorations. While all phases related to this process are important, this article will focus on the proper delivery of a ceramic restoration. Proper delivery will mean utilization of the right materials and the proper technique. Among the materials necessary is a dentin-enamel bonding system, a … Read more

Dermatological Applications Of A Dental Laser Device In A General Practice

figure 6

Dental clinicians often encounter small lesions on the lips and areas bordering the lips that raise an important question: how far outside the oral cavity does the scope of dentistry extend? Where does the practice of dentistry coincide with the overall health of the patient in areas surrounding the oral cavity? While a dentist should … Read more