Clinical Considerations In An Endodontic Retreatment: A Case Report

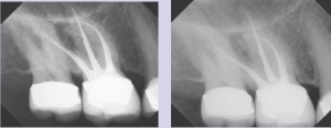
Figures 10 & 11--Postoperative views after retreatment of #3. The MB2 canal is clearly visible in Figure 11.

Endodontic retreatment of failed root canal therapy is primarily a specialist procedure. This fact notwithstanding, the clinical strategies used in retreatment have crossover value to the general practitioner in non-surgical orthograde root canal therapy. In addition, retreatment is one of the primary means for resolution of failed root canal procedures along with apical surgery. All … Read more

You Can Learn A Lot From A Learning Curve

Figure 4--Radiograph of a bicuspid after obturation. Both plains are free of voids.

We often limit our awareness of a learning curve to simply that which must be accomplished to master a technique. However, the learning curve itself gives us insight into the intelligence built into the system we are about to learn. When I observe the learning curve for rotary NiTi instruments, I quickly realize that it … Read more

Cutting Through The Purple Haze

Elliot Mechanic practices esthetic dentistry in Montreal, Quebec. He is Oral Health's editorial board member for esthetics.

Imagine Ozzy Osbourne in a dazed out confused stupor after a bad trip! “I don’t know where I am, I don’t know where I’ve been, I don’t know where I’m going,” he mumbles. Ozzy might be able to survive and succeed in a purple haze but can we? Dentistry is a really tough profession (at … Read more

Naviguer Dans Les Vapes

Dr. Elliot Mechanic practices esthetic dentistry in Montreal, Quebec. He is Oral Health's editorial board member for esthetics.

Essayez d’imaginer Ozzy Osbourne, compltement perdu et ml, au terme d’un bad trip, en train de vous dire : Je ne sais pas o je suis, je ne sais pas o j’ai t pis je ne sais pas o je m’en vais. Ozzy est sans doute le seul pouvoir sur-vivre et russir en pareille situation. … Read more

Sad, But True

Dr. Jordan Soll is Cosmetic Consultant to Oral Health Journal and is principle of Aesthetics in Dentistry.

I am amazed at the technological advances that are being made on a daily basis. Recently, I read an article about a new industry that is being spawned by software developers to create programs that are compatible with Apple’s new “iPhone.” The article went on to talk about how the developers create the software, sell … Read more

Self Learning, Self Assessment 2009 (April 01, 2009)

The SLSA program is based on current, referenced literature and consists of 40 questions, answers, rationales and references. Answers appear in the following issue at the end of each quiz. Dentists who complete the 15 question quiz in the November, 2009 issue of Oral Health may be eligible to receive continuing education points. The names … Read more

Use Of The Natural Tooth As A Provisional Following Immediate Implant Placement

figure 21

The loss of a tooth in the anterior esthetic region due to periodontal disease, trauma, endodontic failure, or root resorption can be a traumatic experience for the patient to go through. Traditional implant therapy often required two to three months of alveolar ridge remodeling following tooth extraction and an additional six months of non-loaded healing … Read more

Using Digital Photography In Laboratory Communication

Figures 18

The Digital Camera as a Diagnostic Tool Communicating shade to the dental ceramist is still a visually sub jective process using shade guides that may or may not closely match the existing natural tooth. Shade taking devices, such as EasyShade (Vident), and others, use colorimetric information to convey shade information to the technician. The age … Read more

A Cinder-Ella Story

figure 31

Every so often, a chance meeting for an individual turns into a life altering experience. Ella, a very pleasant 51 year old woman working part time and raising two sons, had such an encounter. Inside she felt alert, vivacious, and youthful but externally her appearance said droopy, and tired. In reviewing Ella’s concerns, she had … Read more

The Evolution Of Posterior Aesthetics

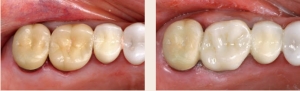
Figures 10 & 11--Deteriorating crown and Cerec 3D restoration

In most publications the excitement and interest seems to revolve around anterior aesthetics. Which anterior material and technique seems to look the best and last the longest? With so much focus on veneers and other anterior aesthetics, sometimes the posterior aspect of the mouth seems to be overlooked. In reality, posterior restorations are the “bread … Read more

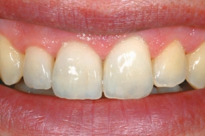
The Smile: An Artistic Emotion

Figure 4--The patient's smile. Esthetics has been restored, in harmony with surrounding teeth, even if not in symmetry.

Wake up, look at yourself in the mirror, smile and love what you see! Is there a better way to start your day? The perception of beauty starts in our eyes and goes to our soul with a process involving feelings, knowledge and experiences. The smile is responsible for 60 up to 70% of the … Read more

Interdisciplinary Treatment Planning With Implants

figure 26

People in our society can expect to live longer than in any previous generation. Many choose to avoid loosing their teeth and refuse to use removable dental prostheses. They present with increasingly complex dental histories. For these reasons, dentists in the mainstream of dental care are increasingly practicing the skills of interdisciplinary treatment planning in … Read more

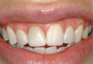
Single Tooth Replacement: The Ultimate Aesthetic Challenge (April 01, 2009)

Figure 18--An unretracted smile view after completion of tooth number 9.

Patient J. R., aged 19 years, attended the dental office with a chief complaint of a failing upper right central incisor. He was seeking a second opinion regarding his options for replacing the tooth. He was excited by the option of immediate implant placement and provisionalization because his appearance during the healing interval was a … Read more

Where You Read Oral Health (April 01, 2009)

(standing) Chadi Saade and Dr. George Freedman and (seated) Dr. and Mrs. Sabbagh and Dr. Robert Lowe, PDC meeting.

Please note: PHOTOS WILL NOT BE RETURNED. Due to space and quality requirements, we are unable to print every photo we receive. Submit your photos of YOU reading oral Health to: Catherine Wilson, Managing Editor 12 Concorde Place, Suite 800, Toronto, ON M3C 4J2 or e-mail digital images to: cwilson@oralhealthjournal.com

Snap On, Snap Off, The Snapper

Catherine Wilson, Editor

“Snap-on-Smile,” maker of a cosmetic device that snaps on over your teeth, says sales of its device rose 22.2 percent in the fourth quarter of ’08, compared to the third quarter. December sales were 62 percent higher than those in October. Recession be damned, people are still spending money on big ticket and small ticket … Read more