What Your Older Patients Want From Their Dental Services

FIGURE 7--

There is a transition in the practice of dentistry, which is perhaps best illustrated by the emergence of root caries, a chronic infectious disease. Ten years ago, root caries had little impact on the Canadian dental office but now it has become a common problem in many Can adian dental offices. Inter estingly, one might … Read more

Aesthetic Rehabilitation Of Maxillary Central Incisors Using All Ceramic Crowns (Procera™) — A Case Report Involving Long Term Provisionalization

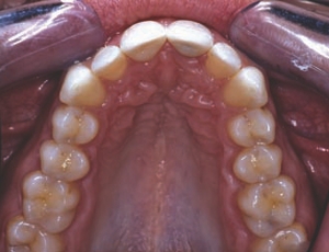
FIGURE 31--Maxillary occlusal 1:2 post-op.

Maxillary anterior crowns provide an exciting challenge to our artistic and technical abilities and call upon our knowledgeof smile design principles of proportion, symmetry, harmony and tooth morphology. Smile rejuvenation can positively impact a patient’s selfesteem and emotional health through improved appearance. 9 Excellent soft tissue health and correct tooth contours and emergence profiles are … Read more

1000344934-1000344937 alternate text for this image

Oral Health -Canada’s Leading Dental Journal “MEET OUR PRESS” Oral Health Journal Invites You to Meet, Learn and Discuss with its Editors! Toronto Academy of Dentistry’s Winter Clinic Meeting Friday, November 13th, 2009 8:45am 11: 45am Programme Moderator: Melissa Summerfield Senior Publisher, Oral Health BONE GRAFTING -THE CHOICES Blake Nicolucci DDS, London, Ontario Dr. Nicolucci … Read more

Why A Dentist?

Catherine Wilson, Editor

You’ve been spat upon, kneed in the groin, gagged at, cursed at, slapped, threatened and sued. And those are just the patients who like you! Your senior hygienist is dating the office manager; the strip mall you’re in has been rezoned; some dental magazine says your practice is nowhere if you don’t invest in cone … Read more

Caregivers Don’t Understand Importance Of Primary Teeth

1000345267-1000345268 alternate text for this image

OAK BROOK, IL–Most American children don’t see their family dentist until they are well over two years old, far later than is recommended by both dental and medical professionals. That’s one of the key findings from a survey of American children’s oral health, conducted on behalf of Delta Dental Plans Association. The survey of primary … Read more

Cosmetic Dentistry Continuum 2009

Toronto–The Canadian Institute for Cosmetic Dental Education (CICDE) is offering a cosmetic program beginning October 31, 2009, that encourages growth in the art and science of modern dentistry. Each of the 12 modules in the CICDE Hands-On Continuum is designed to build on the previous one. This precise approach will allow you to effectively integrate … Read more

U Of T’s Restorative Esthetic Continuum

Toronto–The goal of the University of Toronto Advanced Restorative Esthetic Continuum is to provide participants with a logical and insightful perception as to how to examine, treatment plan and deliver dentistry to their patients that is functional, esthetic and optimally maintainable. Participants will receive a certificate from the University of Toronto Faculty of Dentistry Continuing … Read more

Forest Hill Children’s Dentistry

Forest Hill Office Design

That Forest Hill Children’s Dentistry is committed to providing high quality dental care to children in a caring and cheerful environment, is evident immediately upon entry. Located on the ground floor of a pre-war four-plex in Toronto, the practice was recently expanded into the adjacent unit, and the entire space renovated to create an inviting, … Read more

Legal Matters For The New Dentist

Dentistry is a profession and a business. As a new dentist, prepare yourself for imminent business and legal matters that will arise in the first few years. Associate Agreements The terms and conditions of Associate Agreements are not “standard” and they can vary widely. Key terms and conditions might include: 1. Are you an employee … Read more

Legal Matters For The Retiring Dentist

With your retirement approaching, now is the time to begin preparing your practice for sale. Clean (in every respect), well managed practices are in high demand and a few measures on your part can go a long way towards ensuring this. A significant portion of the value of your practice is the goodwill (the future … Read more

The New Graduate Dentist And The Associate Experience

The long process of becoming a qualified dentist is over. Now what to do? Some dentists will go directly into postgraduate studies or internships. Others take the long deserved vacation, but most will go into practice as an Associate. Associating has many advantages: No additional financial burden — the Principal pays all the bills and … Read more

The Career Associate And The Locum Dentist

The Career Associate There are many very successful Associates arrangements whereby neither party wish to be partners and the junior is happy to remain as an Associate for life. Female dentists often seek this arrangement to allow them the opportunity to raise a family. Most wish to establish their own practice but often at a … Read more

New Dentists Financial Road Map To Do’s And Traps To Avoid

After obtaining your license to practice dentistry, which is an important milestone, one needs to consider how they will pay for their education and build a career/business. LIFECYCLE OF A DENTIST Our observations indicate the typical “life cycle of a dentist” Years Since Graduation Activities 0-2 Associating, honing clinical and interpersonal skills, paying off student … Read more

Golden Years Retirement Can Be The Golden Parachute If You Plan Ahead

After spending years nurturing your dental career/ practice, it is time to harvest the fruits of your labour. Retirement takes years of planning. HOW DO YOU PREPARE YOURSELF? • Plan ahead — Plan at least 2 years, but preferably 3 years, prior to the sale. • Meet your financial advisors (financial planner, insurance agent, banker, … Read more

5 Tips For A Better Practice Purchase

Buying your first dental practice is a big deal; maybe not as big a deal as getting married but certainly as big a deal as buying your first house. What makes buying your first practice tricky is that there is probably a lot of business “stuff” that you don’t know or haven’t experienced. Additionally you … Read more

5 Tips For A Better Sale

Selling your dental practice can be a very emotional process and one that is fraught with traps and mistakes, which can be easily avoided by following a few simple rules. In the following article I have set out five points (by no means all-inclusive) that if followed will help make the sale of your practice … Read more

Top 10 Technology Upgrades For New Dentists

Regardless of the speed or order of implementation, there are certain technologies that are beneficial to a growing and successful new practice. Some are self evident, such as telephones, a web site, email, fax, etc. Here are the top 10 overlooked, contentious, or underutilized technology upgrades. 1 Upgrade to digital imaging Upgrade now. The longer … Read more