Self learning Self assessment 2010

Funding for the SLSA program has been provided by:

The SLSA program is based on current, referenced literature and consists of 40 questions, answers, rationales r in the following issue at the end of each quiz. Dentists who complete the 15 question quiz in the November, 2010 issue of Oral Health may be eligible tthe quiz will be forwarded to their respective provincial licensing authorities.

Early Childhood Caries: The Dental Disease of Infants

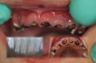
Figure 4-A very severe case of early childhood caries in a young child. Note the paruli present on the buccal gingiva of teeth 52 and 63. All maxillary anterior teeth are unrestorable and require extraction.

Introduction Early childhood caries (ECC) is a major health concern that continues to negatively affect the oral health of infants and children today. Dental caries is a chronic disease that in children is five times more common than asthma and seven times more common than hay fever.1 Even with caries prevalence declining in the permanent … Read more

The Infant Oral Exam

Figure 7-Example of a 'smear' amount of fluoridated toothpaste.

Establishment of a dental home during infancy provides an opportunity to make a meaningful impact on the oral and general health of a patient. Early dental assessment assists in the prevention of dental disease and helps to optimize oral health over a lifetime. Furthermore, implementing early dental visits is a practice builder not only by … Read more

Infection Control Questions & Answers

1. When reading the new provincial infection control guidelines I see terms referring to different classes of treatment devices and instruments. What exactly do they mean? A number of years ago, the Centers for Disease Control and Prevention (CDC) modified and updated the original Spaulding classification scheme for patient-care items. These categories termed, critical, semi-critical, … Read more

SensAble – Intergrated 3D Solutions

Andrew Joffe was born in South Africa. In 1993 he entered into the five year Bachelor of Technology Degree Program in Dental Technology. He has worked in South Africa, the United Arab Emirates and now resides in Ontario, Canada. He has been with Pow Laboratories Inc. for four years and is the Removable Team Leader.

Introduction The SensAble Dental Lab System provides a comprehensive integrated solution for scanning, design and output to 3D printing for the production of partial frameworks, crowns and bridge substructures. It is based on 3D virtual proprioception. Technicians design and create the prosthetic restoration working entirely digitally, while keeping the manual proprioception to which they are … Read more

Areca (Betel) Nut and Oral Health Implications

1000353822-1000353833 alternate text for this image

Areca (betel) nut chewing is widely practiced in many parts of Asia as well as in Asian migrant communities throughout the world. Traditional as well as commercially packaged products are now available in Europe and North America and it is estimated that globally, several hundreds of millions of people partake of this habit.1 In fact, … Read more

Harnessing Light and Energy for the Early Detection of Dental Caries

FIGURE 9-Sensitivity of early caries detection methods relative to PTR-LUM.

The detection and treatment of dental caries has not changed radically since the time of G. V. Black. Detection of caries depended upon locating mineral loss on bite wing radiographs, examining stain and discoloured areas on the tooth surface or probing lesions with a sharp explorer. All these techniques depended upon the interaction of two … Read more

Dental Photography: A New Perspective

FIGURE 20-Simplified portrait.

Introduction Other authors have described the importance of understanding the power of “visual learning”* in dental communication1 and have also described traditional guidelines for dental photographs as suggested by several dental organizations.2 These authors have also argued for extensive use of photographs in dental practice Dentistry has traditionally followed the suggested standard guidelines of lighting, … Read more

Let the Sun Shine In

Dr. Fay Goldstep sits on the Oral Health Editorial Board (Healing/Preventive Dentistry), has served on the teaching faculties of the Post-graduate Programs in Esthetic Dentistry at SUNY Buffalo, the Universities of Florida (Gainesville), Minnesota (Minneapolis), and has been a featured speaker in the ADA Seminar Series. She has lectured nationally and internationally on Healing Dentistry, Innovations in Hygiene, Dentist Health Issues and Office Design, and has published numerous articles, on these topics. Dr. Goldstep is a consultant to a number of dental companies, and maintains a private practice in Markham, Canada and can be reached at goldstep@epdot.com.

Sunlight is the source of power that fuels much of life. The fact that it is in such short supply at this time of year affects us all. This human reaction has led to many major cultural and religious festivals throughout history being placed in the darkest months of the year, in order to keep … Read more

Photo-Activated Disinfection

FIGURE 19

The preparation of the tooth is complete. The walls of the cavity seem hard to the explorer. There is no telltale brown decay visible, even under magnification. Therefore, the cavity must be clean, and ready for restoration. FIG. 1 Or is it? If cariogenic bacteria are retained at or below the tooth-restorative interface, the long-term … Read more

Diode Lasers for Periodontal Treatment: The Story So Far

Figure 4-Pocket depth is measured pre treatment and 3 months post treatment.

The concept of using dental lasers for the treatment of periodontal disease elicits very strong reactions from all sides of the spectrum. Everyone has an opinion. Everyone is certain that their own opinion is correct. But the only certainty is confusion, and the lack of clear direction in the concept of Laser Assisted Periodontal Therapy … Read more

Curing Lights: What you should know before buying one

FIGURE 7-Valo.

The selection of a curing light that fits your style of practicing remains one of the most important equipment purchases you will make. If you have an active restorative practice, it is a device that you use virtually every time you treat a patient. The right light can help you achieve success, while the converse … Read more

Low Level Laser Therapy: An Untapped Resource in the Dental Industry

Figure 8-Application of LLLT for Soft Tissue Lesions.

Imagine a tool that could reduce pain, improve wound healing, relieve muscle tension and regenerate nerves without the use of pharmaceuticals and the associated side effects. Although it may sound like magic, it’s actually a therapeutic technology that has been used clinically for decades: low level laser therapy (LLLT). Light therapy has been used for … Read more

The Historically Frowned Upon Concept of ‘Selling’ Dentistry

Catherine Wilson, Editor

I appreciate you walk a fine line between healthcare provider and marketer. I appreciate that some of you would rather die than sully yourselves in the cesspool of commercialism. However, my friends, it is a fine line, not the Great Wall of China. Upon graduation, were you planning to practice only on each other? There’s … Read more

Dentists Recognize Nurses’ Contribution to Oral Health

1000351276-1000351277 alternate text for this image

Toronto_The Registered Nurses’ Association of Ontario (RNAO) was recently acknowledged by the Canadian Dental Association (CDA) for its contribution to oral health promotion. The Oral Health Promotion award was bestowed on the nursing association for its best practice guideline, Oral Health: Nursing Assessment and Interventions. Irmajean Bajnok, Director of International Affairs and Best Practice Guidelines … Read more

Client Appreciation Night

Photographed are (l to r) Dr. Stephen Abrams, Susan Klausz, Robert Klausz, RDT, and Ronald Klausz, RDT.

In honour of Robert Klausz’ retirement, the event was held at the Nobel Biocare Training Centre in Richmond Hill, ON. More than 30 dental guests attended. Some dentists have been clients for more than 30 years.

Equipping your practice for Success

Stephen Prime is responsible for leading RBC Royal Bank's service to health care professionals. He supports a team of 75 health care specialists across Canada who are experts in serving the needs of dentists, doctors and veterinarians. Mr. Prime ensures these specialists have the tools and support to provide customized solutions that help health care professionals successfully operate and grow their practice, while effectively reducing their risks.

Being a great dentist doesn’t always mean you have the same time and skills to devote to the business side of your practice. And yet you face critical decisions about investing in equipment and technology that can affect your ability to stay at the leading edge of your profession

Six Questions

Here are six questions to ask yourself as you consider whether to acquire new technology or equipment: Do you want to increase productivity and/or efficiency, leading to greater profitability — would new technology or equipment help you to accomplish this? Do you want to grow your practice and/or expand the services you offer? Would investing … Read more

Is your front desk working for you?

Julie Johnstone is the principal of Custom Made Marketing, a strategic marketing partner to dental professionals. She helps general and specialty practices attract and retain patients and reach business goals by implementing dynamic marketing and customer service initiatives, including "undercover" mystery patient roles to observe staff behaviour. Contact Julie at info@custommademarketing.ca. www.custommademarketing.ca

Do you know how your phone is answered or how your staff greets new patients? Many dental offices invest valuable time and money to promote their services but neglect to consider what happens when people call or arrive. It doesn’t make sense to budget for marketing unless you are confident your front desk staff can … Read more