University of Md. Pediatric Dental Students Learn by Showing ‘Smile Kids’ Oral Health

University of Maryland

Flashing a big smile of his own at the University of Maryland School of Dentistry’s latest “Give the Kids a Smile” day, Vineet Dhar, BDS, MDS, PhD, associate professor, said the dentistry can sometimes seem to be a small part of educating pediatric dental students. The Smile day at the School’s National Dental Museum in … Read more

Disability Equality for Children and Youth with Special Health Care Needs Accessing Oral Health Care Services

Robert P. Carmichael, Chief of Dentistry, Director, Ontario Cleft Lip and Palate / Craniofacial Dental Program, Holland Bloorview Kids Rehabilitation Hospital. rcarmichael@hollandbloorview.ca

Being a child with a special health care need (SHCN) places you in one of Canada’s largest minority groups. According to Human Resources and Skills Development Canada, in 2006 there were 202,350 children (3.7% of children) between the ages of 0 and 14 years with a disability in Canada. Oral health issues are more prevalent … Read more

Policy on Patients with Special Health Care Needs

The American Academy of Pediatric Dentistry (AAPD) defines Special Health Care Needs (SHCN) to include any physical, developmental, mental, sensory, behavioral, cognitive or emotional impairment or limiting condition that requires medical management, health care intervention and/or use of specialized services or program. The condition may be congenital, developmental or acquired through disease, trauma or environmental … Read more

All Children Deserve a Healthy Smile

Canada's Tooth Fairy

Nathaniel, a child with special needs, was just five years old. This little boy was unable to eat and suffered severe headaches, fevers and pain due to three infected teeth. Night after night, his mother held her son as he cried, her heart breaking with each sob as she watched the little boy she loved … Read more

Orthodontic Care at Holland Bloorview Kids Rehabilitation Hospital

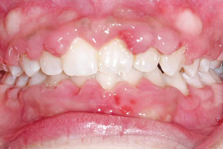
Figure B. After orthodontic treatment. Note hyperplasia of gingival secondary to anti-seizure medication

One of the foundations upon which health care professionals practice is a commitment to provide the best possible treatment to each and every one of their patients. For some patients, medical or socioeconomic circumstances may present a challenge to the delivery of optimal care. Fortunately, we live and practice in a country that provides an … Read more

Treatment Planning for Missing Maxillary Lateral Incisors

Figure 4F.

INTRODUCTIONTreatment planning for missing maxillary lateral incisors is a common clinical predicament encountered by orthodontists, particularly at Holland Bloorview Kids Rehabilitation Hospital where congenital absence of maxillary lateral incisors is a common feature of many of our patients afflicted by syndromal or non-syndromaloligodontia. Three main treatment options exist including: canine substitution; a tooth supported restoration; … Read more

Dentistry at Holland Bloorview Kids Rehabilitation Hospital

Figure 8. The Holland Bloorview Northern Outreach Team

INTRODUCTION AND VISIONHolland Bloorview Kids Rehabilitation Hospital is Canada’s largest rehabilitation hospital, serving children and youth with dis­abilities, not only in Ontario, but also throughout Canada and around the world. By pioneering treat­ments, technologies and real ­world programs that give children with disabilities the tools to participate fully in life, Holland Bloorview strives to fulfil … Read more

Non-pharmacologic Management of Patients with Special Health Care Needs

INTRODUCTION Dentistry at Holland Bloorview Kids Rehabilitation Hospital provided care to 1,649 unique patients with special health care needs (SHCN) in 2011/12. Children with SHCN include children with autism spectrum disorder, cerebral palsy, spina bifida, muscular dystrophy, complex medical conditions and syndromes, global developmental delay, and more. These children present a unique challenge in the … Read more

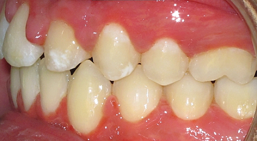
ICON Treatment of Post Orthodontic White Spot Lesions

Figure 13. Final post-operative.

FORWARDIn the dental world, new products are introduced all the time. Dental technology and our materials are evolving daily. In this evolution, products are often introduced and labeled as “ground breaking” or “revolutionary.” These descriptions are all too often thrown around indiscriminately. As dental professionals we must be able to make informed decisions about the … Read more

Noteworthy Trends in a Successful Governmental Dental Program in Alberta

The Alberta Child Health Benefit (ACHB) is a program administered by Alberta Human Services, formerly Alberta Human Resources and Employment. It was launched in response to the need for a health benefit program in low-income families identified by Albertans before the National Child Benefit (NCB) program was introduced.1,2 The ACHB is Alberta’s key provincial reinvestment … Read more

Atypical Presentation of a Suspected Malignant Hyperthermia Episode

Figure 1. Panoramic image of the patient at the time of consultation

INTRODUCTION There is a growing trend towards performing community-based dental treatment under deep sedation or general anaesthesia. Indications for dental treatment under anaesthesia may include patients with extensive treatment needs, acute situational anxiety, uncooperative age appropriate behaviour, immature cognitive function, disabilities or medical conditions.1 Patients known or suspected to be susceptible to malignant hyperthermia (MH) … Read more

We Are What We Drink!

1000806063-1000806088 alternate text for this image

As a paediatric dentist, I am presented with young patients having multiple carious lesions on a daily basis. In my discussion of risk factors with the patient/parent(s), the use of fluoride is always brought up. I am shocked at how many families don’t drink tap water and are therefore not benefiting from the preventative effects … Read more

A Failure to Report Abuse

Dr. Stechey is a general dentist in Hamilton, Ontario and a recognized forensic expert in how dentistry can be used for the detection & recognition of abuse on victims of all ages.  Email: fstechey@gmail.com

We are all familiar with the following recent headlines; “Paterno and Sandusky are indicted at Penn State”; “Player abuse should have been reported years ago”; “the coaches should have acted sooner.” But failing to report suspected abuse could just as easily involve Canadian dentists and not sports professionals. Some Interesting facts are as follows:• Over 60% … Read more

Letters To The Editor

Re: We Can Only be the Best by Doing Our Best, With the Best, Louis Malcmacher, DDS, November, 2011 I read with interest Dr. Malcmacher’s excellent article on new technologies that make us more efficient while maintaining quality in our practice. I was especially intrigued by the DentalVibe (Bing Innovation) that Dr. Malcmacher described. Forty-five … Read more

Spousal Help Is Required To Have Alternatives To The Zero Tolerance Rule (ZTR)

Bernald Larry Pedlar, DDS, MSD, FACP, FACD

Treat your spouse in Ontario and you’re exposed to the immediate loss of your license for five years. Grass roots spousal and dentists’ submissions can help assure alternatives. We have allegedly been told by the HPRA council that spouses and dentists have been breaking the law since 1993. RCDSO has also told us that post … Read more

DENTAL INTERNET DIRECTORY LISTINGS

ASSOCIATIONS ASSOCIATION OF DENTAL ECHNOLOGISTS OF ONTARIOThe official voice of Registered Dental Technologists in Ontariowww.ADTO.org CANADIAN DENTAL PROTECTIVE ASSOCIATIONBecause bad things happen to good dentists.www.cdpa.com ONTARIO ACADEMY OF GENERAL DENTISTRYQuality of care through life long learning.www.ontarioagd.org TORONTO ACADEMY OF DENTISTRYToronto Meetings Calendar, CE, Winter Clinic, Society Listings, etc.www.tordent.com CONTINUING EDUCATION FACULTÉ OF ORTHODONTIC RESEARCH & … Read more