The tooth fairy: A cautionary tale!

Child with tooth from his ear.

Case report An 8-year-old boy was referred to an ENT specialist with acute pain in the right ear. The patient had initially been treated conservatively by a general practitioner, but upon further inspection with an otoscope, a “tooth” was found lodged deep in the auditory canal. The parents explained that the child had left the … Read more

Orthodontic treatment in young children with innovative soothers: A case series

filippi_thumbnailjpg alternate text for this image

Summary Dental malpositioning, such as anterior open bites, posterior crossbites, and functional disruptions, such as persistent infantile swallowing patterns, are common in young children. These conditions are often caused or exacerbated by habits like thumb sucking or the use of baby bottles. This case series aims to demonstrate the effects of a new type of … Read more

Shwachman-Diamond Syndrome: A review of symptoms and implications for dental management

khan_featured alternate text for this image

Summary Shwachman-Diamond Syndrome (SDS) is a rare autosomal recessive disorder characterized by various systemic manifestations, including pancreatic insufficiency, bone marrow dysfunction, and skeletal abnormalities. The dental management of patients with SDS is an emerging area of interest and this narrative review aims to provide a comprehensive overview of SDS, its symptoms, and the implications for … Read more

Treating preschoolers and infants is a collaborative affair

Healthy teeth are happy teeth alternate text for this image

Many dentists do not see or treat preschoolers and infants for various reasons, from being uncomfortable to lacking the essential experience. All these factors result in pediatric patients being a neglected population. If you do not feel comfortable treating this population, do not neglect these patients, but refer them to a practitioner who will be … Read more

The Hall Technique – Teaching an Old Dog New Tricks

Step-by-step of the Clinical Hall Technique Procedure.

Background and Context Like many health fields, dentistry has been characterized throughout the years for innovating and improving upon existing interventions. Established and “classical” approaches, materials and techniques have often stood the test of time compared to more innovative and so-called “cutting-edge” technologies. In pediatric dentistry, this has proven to be true, especially when it … Read more

Best Practices for Transitioning for Patients Who Live with Disabilities

Friedman-Fig2 alternate text for this image

If you are thinking, “this article is not applicable to me”, then please consider the list of questions below: The relevance of this article extends beyond care for persons of disabilities because patients who were once healthy in your dental practice will age and may develop disabilities (temporary or permanent). Access to dental care is … Read more

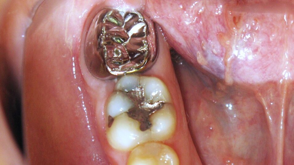
Tooth or Not, Advocate for Your Patient

ORAL-HEALTH-JAN-2024 alternate text for this image

Identifying the etiology of acute facial swelling in children can be a challenge due to growth and development, complex regional anatomy, and difficulty with obtaining a thorough history. We present a case report from rural Alberta that highlights these challenges. In particular, this case demonstrates the necessity for open communication with the child’s family and … Read more

Top 7 Paediatric Questions Parents Ask At Dental Appointments

Adam-iStock-1186054280 alternate text for this image

1. “Is the cleaning really necessary today?” Many parents do not see the benefits of dental prophylaxis as they see it as treatment they can easily do themselves at home. The goal of dental prophylaxis is to remove supragingival plaque, stains, and calculus from the patient’s teeth. It provides an opportunity for oral hygiene instruction … Read more

Retainers and the Importance of Orthodontic Retention

IMG_9746 alternate text for this image

Following orthodontic treatment, retention is fundamental in maintaining teeth in their corrected positions. Irrespective of the patient’s age, underlying malocclusion, or type of mechanotherapy used, retention is necessary to preserve the final alignment and occlusion. Without retention, there is a natural tendency for teeth to relapse back towards the original malocclusion. This article will highlight … Read more

Thinking Outside the Box

iStock-1348669757-(1)-[Converted] alternate text for this image

The other day I had a young patient with severe anxiety in my office for a new patient examination. When the young child entered the waiting room, they were tightly clinging to their mother. Upon first impression, our pediatric dental team was not too optimistic that we were going to be able to even look … Read more

Autism On the Rise: Coping in the Dental Office

ORH-JAN-2021 alternate text for this image

The U.S. Department of Education reports on its website that an astonishing 1 in 59 children in the United States are affected by Autism Spectrum Disorder (ASD) – a far cry from the figure of 1 in 2,500 that had been the accepted prevalence when I entered the dental profession more than three decades ago. … Read more

Maximizing the Lifespan of Dental Implants Placed in Young Individuals: The Role of Oral Neutrophils in Peri-Implant Diseases

Maximizing the Lifespan of Dental Implants Placed in Young Individuals: The Role of Oral Neutrophils in Peri-Implant Diseases

Introduction Dental implants are an increasingly popular treatment choice in young individuals with dento-facial anomalies characterized by missing teeth such as oligodontia and cleft lip and palate. Although dental implants may represent a predictable treatment option in the short term, over the long term the risk of peri-implant disease cannot be overlooked due to its … Read more

Managing Hemifacial Microsomia with Total Custom TMJ Replacement

Caminiti-Figure-4-Slide6-thumbnail alternate text for this image

Introduction: The Oral and Maxillofacial Surgery program at the University of Toronto supports the Cleft Lip Palate and Craniofacial Program at Holland Bloorview Kids Rehabilitation Hospital in numerous ways. The program’s director, residents and the Temporomandibular Joint and Orthognathic Surgery Fellows work collaboratively with staff orthodontist Dr James Noble and the chief of Dentistry, Dr. … Read more

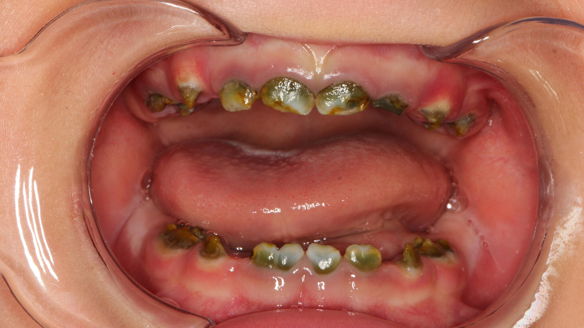
Green Teeth? The Many Shades of Congenital Syphilis

Figure2 alternate text for this image

It is a disease that you will learn about in dental school, but rarely see in actual practice. And given the many, varied features of congenital syphilis, when you do encounter your first case, you may need to review this condition and its presentation. Syphilis, generally, is on the rise in Canada. Between 2005 and … Read more

Atlantis Children’s Dentistry

dental office design

Entering this bright, playful space in Whitby, Ontario, young patients and their families are immediately immersed in the imagery of an underwater wonderland. The office environment is a testament to Dr. Arif Mamdani’s love of his profession as a pediatric dentist, and is an expression of the attention paid to both clinical requirements and design … Read more

Good News for Dentists: 2018 Economic Outlook

dentists economic

Tax and Business Measures Federal Accelerated Investment Incentive – Dentists will be allowed to write-off capital assets (i.e. equipment, leaseholds, computers, software etc.) faster for purchases made after November 20, 2018. Provincial Proposed new Low-Income Individuals and Families Tax Credit (LIFT) to eliminate provincial personal income tax for low income taxpayers with employment income starting … Read more