Work in Dental Research and Pharmacology Education Recognized

University at Buffalo School of Dental Medicine faculty members Frank Scannapieco and Peter Bradford have been named 2017 fellows of prestigious academic societies in the fields of dental research and pharmacology. Frank Scannapieco, DMD, PhD, chair and professor in the Department of Oral Biology in the UB School of Dental Medicine, was named a fellow … Read more

Antibiotics Prior to Procedures May Be Helpful in Preventing Infections

New American Academy of Orthopaedic Surgeons (AAOS) criteria specify when it may be appropriate to consider antibiotic administration prior to various dental procedures to prevent infection of orthopaedic replacement joints or implants. “Appropriate Use Criteria (AUC) for the Management of Patients with Orthopaedic Implants Undergoing Dental Procedures” was recently approved by the AAOS Board of … Read more

Pacific Dental Conference 2016

The 2016 Pacific Dental Conference will once again be held at the Vancouver Convention Centre from March 17th-19th. The Pacific Dental Conference is one of the largest dental conferences in North America, offering a varied and contemporary selection of continuing education programs. With over 150 open sessions and hands-on courses and over 300 exhibiting companies … Read more

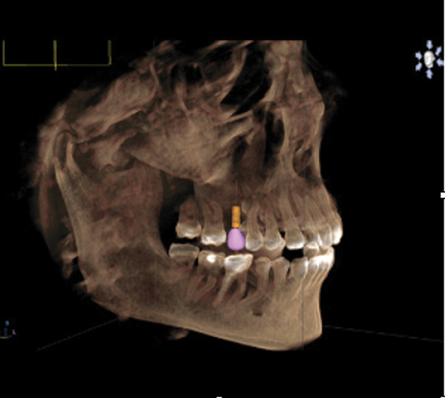
ConeBeam CEREC Integration

Chagger Figure 1 alternate text for this image

Digital radiography can improve our ability as clinicians to treat patients effectively, quickly and in a manner that leads to treatment allowing for less pain and recall. This article describes digital radiography techniques, which help with diagnosis for all aspects of dentistry and implant treatment planning. It describes procedures, which merge the use of CEREC, … Read more

ARTICAINE 30 Years Later

Malamed Figure 1. Chemical formulas of procaine (ester), lidocaine (amide) and articaine alternate text for this image

Introduction Local anesthesia forms the backbone of pain control techniques in dentistry. Local anesthetics represent the safest (when used properly) and most effective drugs for the prevention and management of perioperative and post-operative pain. The first known injection of a local anesthetic (1885) was an inferior alveolar nerve block administered by the famed medical surgeon … Read more

Minimal Oral Conscious Sedation with a Oral Benzodiazepine for the Adult Patient A Fact or Fiction Quiz

Performing minimal oral (enteral) conscious sedation on a healthy adult patient with a benzodiazepine is a safe, cost-effective way to treat certain patients with dental anxiety. Go through the ten statements below with the intent of determining whether each presented statement is fact or fiction. NOTE: While many of the answers below make reference to … Read more

Viewpoint: The Creative Destruction of Medical Histories

The term “creative destruction” was coined by Joseph Schumpeter in 1942.1 Schumpeter was an economist who was commenting on how capitalism evolves. Creative destruction in its original form refers to industrial mutations that revolutionize economic structures from within, creating a new structure. Put another way, it is the free market’s way of delivering progress.2 This … Read more

Registration: It’s Not All Bad

Dr Nkansah alternate text for this image

We have to register for a lot of things in Canada. We’re at the point where if we are asked to register for anything else, there is a good possibility that we will object. Take the recent debates about long-gun registration and long-form censuses as examples. The need for various professions and disciplines to be … Read more