Should gerontology be a dental speciality in Canada?

Dentist showing diagnosis and treatment plan on digital tablet to a senior woman patient during consultation in a modern dental clinic

Geriatric dentistry, also referred to as gerodontics, gerontology, or gerodontology, focuses on providing dental care to older adults, including the diagnosis, prevention, and treatment of various dental issues.

CAOMS Update 2024

istock-viewpoint alternate text for this image

With great honour and enthusiasm, I assume the role of President of our esteemed organization, the CAOMS. Stepping into the shoes of my friend and well-respected colleague, Dr. Robert Wagner, is both a privilege and a responsibility that I embrace with dedication. I consider myself fortunate to be surrounded by an exceptional executive team. Working … Read more

Why I Stopped Believing “Everything Happens for a Reason”

iStock-1460014746 alternate text for this image

Everything happens for a reason…” People reach for it when something horrible happens, and they don’t know what else to say but want to sound hopeful. Failure and loss are inevitable. Things happen randomly and often unfairly. It’s part of being human. A cancer diagnosis, the unexpected loss of a loved one, a failed business … Read more

The Necessary Reassessment of Mask Use in Dentistry

Surgeon with protective mask alternate text for this image

This viewpoint aims to start an open, scientific discussion in the dental community and the authors’ opinion on the use of masks. It does not necessarily reflect the views of the publication. Please feel free to contact the author or the editor if you have any questions or concerns. For at least three decades, masks … Read more

CAOMS Update

oral-health-june-2023 alternate text for this image

It is with honor and gratitude that I am the President of the CAOMS for the next year. The same sentiment goes to being a dentist, physician, and specialist in Oral and Maxillofacial Surgery. As with anyone reading this, you have made sacrifices and have worked hard to achieve your professional designation as a care … Read more

Minimally Invasive Endodontics –It’s Really All About the Peri-Cervical Dentin!

oral-health-may-2023 alternate text for this image

Endodontics has traditionally been founded on the principles of thorough canal cleansing and natural tooth structure preservation. However, for many decades, we were forced to focus on more operator-centric techniques (straight-line access openings, large canal preps) to facilitate new technologies as they became available. For example, coronal flaring or enlargement was a big part of … Read more

Biotensegrity

ORAL-HEALTH-MARCH-2021 alternate text for this image

Biotensegrity is a new word. An explanation of its origins opens the door to a new and unfamiliar world which seems to have nothing to do with orthodontics. Does it merit spending time on it or is just another distraction in an overcrowded schedule? Is it an attempt to sell another piece of equipment? This … Read more

Root Cause Netflix Movie: Fighting Mythical FIRE, with Scientific FACT

airway dentistry

It has often been said that to bring attention to a controversial matter simply affirms its existence, memorializes it and gives it credibility. The corollary is to ignore it and allow wrong and negligent statements to pass as science. Instead of burying our heads in the sand, we would much rather bury bad science once … Read more

Safer Implant Treatment

Implant Treatment

Knowledge is forever advancing. In my early days when my computer froze, I used to think “What did I do wrong now.” Today I think “What is wrong with this computer!” No, it’s not always the clinician that is to blame for problems. Many systems that we have come to use daily, are simply flawed. … Read more

RCDSO Mandatory PET exam and Mandatory Category 1 Con Ed requirements. Why Not?

Implant Treatment

In 2013 the RCDSO introduced the mandatory Practice Enhancement Tool (PET) for licenced Ontario dentist to be exercised every five years: “a computer based self-assessment program … that allows members to evaluate and assess their practice, knowledge, skill and judgement”. 1 At the same time the RCDSO introduced the mandatory requirement for 15 Category 1 … Read more

CAOMS Update

CAOMS

The Canadian Association of Oral and Maxillofacial Surgeons (CAOMS) is a not-for-profit organization that serves the needs of hundreds of Oral and Maxillofacial Surgeons across Canada. It is designed to support the ongoing practise requirements of OMFS and ensure that they are able to maintain excellence in their area of specialty – translating into the … Read more

CAOMS, An Acronym: What’s In It?

Penetrating Injury

It behooves me to talk about CAOMS as a recently appointed executive director to the organization. Let me first mention I’ll be as excited as uncomfortable trying to walk in shoes quite larger in size than my small footprint. So happens when one follows Chris Robinson in a task. Back at consonants and vowels: C … Read more

Dental Tourism: Caveat Emptor

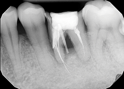
Viewpoint FIGURE #1 alternate text for this image

Many of our patients are attracted to the allure of cheaper dental treatment abroad. Tooth #36 in the accompanying radiograph (Fig. 1) and photo (Fig. 2) is an example of such a case. Unfortunately in this case, almost every possible iatrogenic endodontic mishap was encountered. This treatment is substandard and if done in Canada the … Read more

White to Black

Viewpoint Hunter Jordan alternate text for this image

“If you look you up the word experience in the dictionary, it says see mistakes” and at 60 years old you, feel that you have mastered a lot over the years. Consequently, at this stage in life most of us will succeed because of the “experience” we will have gone through. As a dentist I … Read more

I NEED HELP…

I suffer from a metacognitive inability known as the Dunning-Kruger effect. I was working with a keen and knowledgeable intern who was suturing a wound in the posterior maxilla. Now, it was a rather difficult area but I gave the intern the room and time to practice this skill. During the 10 minute excursion to … Read more