Etiology and management of a common and complex dental problem: Tooth wear

figure 2b alternate text for this image

Abstract Tooth wear has become an increasingly prevalent condition across age groups. With this article, we want to explore the etiology, classification, diagnosis, and management of tooth wear, focusing on the interplay of mechanical, chemical, and biomechanical factors such as abrasion, attrition, erosion, and abfraction. Dietary habits, parafunctional activities, systemic diseases, and oral hygiene practices … Read more

Soft Drinks Found To Be The Crucial Link Between Obesity And Tooth Wear

A new study published today in the journal Clinical Oral Investigations, has found that sugar-sweetened acidic drinks, such as soft drinks, is the common factor between obesity and tooth wear among adults. Scientists from King’s College London found that being overweight or obese was undoubtedly associated with having tooth wear. Significantly, they also found that the … Read more

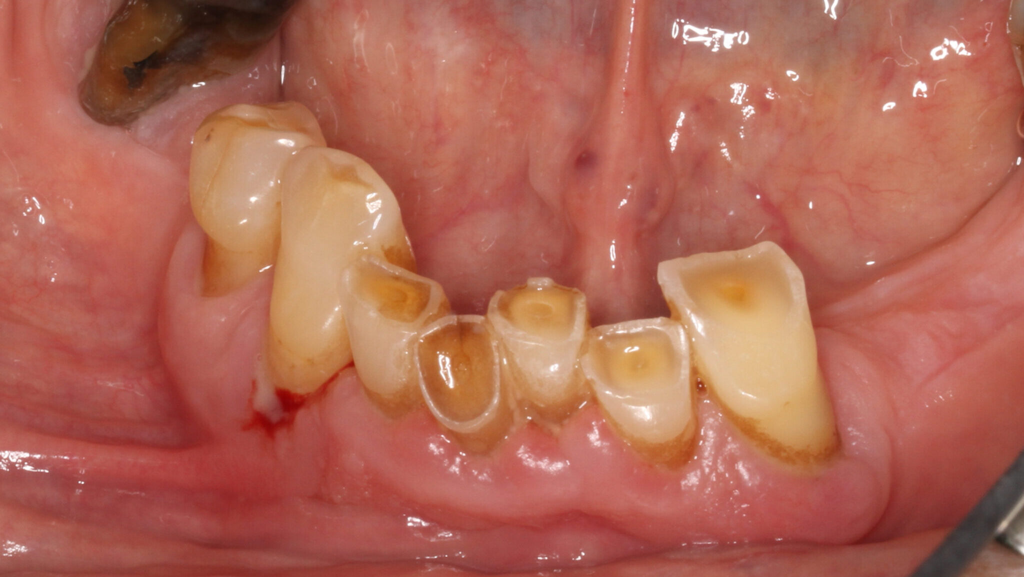
Prosthodontic Treatment of The Severely Worn Dentition

OH-PinHarry-main alternate text for this image

Introduction The severely worn dentition often poses a challenge to the restorative clinician. Diagnosis and treatment planning involve multidisciplinary and in-depth evaluation of etiological, esthetic, occlusal, functional and preventive factors. Modern dentistry has made tremendous progress in areas of decay prevention, treatment of periodontitis and preservation of the natural dentition. Patients in general are more … Read more