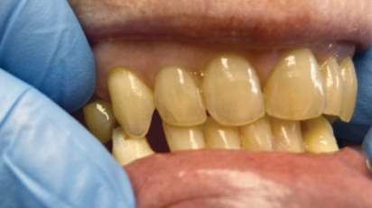
Multidisciplinary approaches to restoring vertical dimension of occlusion: Two clinical case studies of collapsed bite and symptoms of TMJ pain dysfunction syndrome

Lee-Fig9 alternate text for this image

Abstract Tooth wear due to aging is a natural physiological process that generally does not negatively impact individuals unless exacerbated by parafunctional habits such as bruxism or congenital anomalies. This paper explores the implications of the loss of vertical dimension of occlusion (VDO) and its effects on the stomatognathic system. Symptoms of temporomandibular joint (TMJ) … Read more

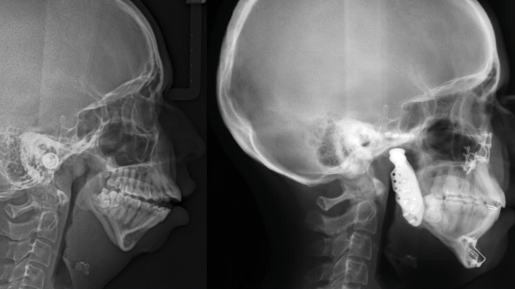
Concomitant Temporomandibular Total Joint Replacement and Orthognathic Surgery

thumbnail alternate text for this image

Abstract Facial differences and temporomandibular joint (TMJ) disorders often coexist. Some dentofacial deformities can be a common primary cause of TMJ pathology or develop as a secondary result of joint disease. Patients with these concurrent pathologies benefit from simultaneous surgical management of both issues, typically involving OGS and alloplastic total joint reconstruction (TJR). This article … Read more

The Significance of Good Posture in TMJ Care

Businesswoman meditating at workplace, back view. Zen concept alternate text for this image

Maintaining good posture is a fundamental aspect of self-care for individuals dealing with Temporomandibular Joint (TMJ) disorders, as well as for healthcare professionals and the general population to avoid TMJ-related concerns.  Poor posture can aggravate TMJ pain by putting additional strain on the neck, shoulders, and jaw. We will delve deeper into the importance of … Read more

Urbanek TMJ Device Announces Launch Of Commercial Operations

IMG_2625 alternate text for this image

The Urbanek TMJ Device and Protocol announced the official launch of its commercial operations in North America, offering dentists a new way to treat the 10+ million TMD/TMJ sufferers in the United States. “After more than 4,000 cases treated with a 95% success rate, we’re excited to finally offer this solution nationwide to treat the … Read more

Tumors and Pseudotumors of the Temporomandibular Joint

Pynn-thumnail alternate text for this image

The mandible is the only movable bone of the facial skeleton, as the condyle portion articulates with the temporal bone to form the temporomandibular joint (TMJ). A myriad of benign and malignant lesions (Tumours/Pseudotumours) may affect the TMJ, and many remain undiagnosed until they become symptomatic or are incidentally discovered through imaging. Further complicating diagnosis … Read more

Managing Hemifacial Microsomia with Total Custom TMJ Replacement

Caminiti-Figure-4-Slide6-thumbnail alternate text for this image

Introduction: The Oral and Maxillofacial Surgery program at the University of Toronto supports the Cleft Lip Palate and Craniofacial Program at Holland Bloorview Kids Rehabilitation Hospital in numerous ways. The program’s director, residents and the Temporomandibular Joint and Orthognathic Surgery Fellows work collaboratively with staff orthodontist Dr James Noble and the chief of Dentistry, Dr. … Read more

TMJ Internal Derangements

TMJ

Dentists are commonly confronted with the diagnostic and treatment challenges associated with a person who has TM joint pain, TM joint clicking and limited opening resulting from certain TM joint conditions. Paramount in our approach is the paradigm to “do no harm1” and to achieve this goal, the clinician must understand the nature of these … Read more

Relief for Chronic Migraines & Pain – YOU TUBE “RUbLES”

I know, lousy word play…..but check this out and the associated videos.. Related articles New Migraine, Not The Same As The Old Migraine (everydayhealth.com) What Makes a Migraine a Migraine? (everydayhealth.com) Alternative Therapies for Migraines (everydayhealth.com)

Bruxism and TMJ Disorder- Main Differences & Symptoms

The following is an excellent overview and explanation to patients of the distinction between bruxism and TMJ disorder…..from Dental Health Magazine staff – June 3, 2011   Bruxism is the medical condition which is the result of the fact that an individual grinds his/her teeth during the night. Since clenching of the teeth is an involuntary … Read more

DMFR, CSIS, FBI, NSA, CIA, KGB, FSB – which one applies to dentistry?

For those of you who haven’t been introduced to DrBicuspid as yet, you should make it a serious priority – Kathy Kincade and her team are simply the best of the best……I read her everyday as she is an important lead into finding salient and relevant information for this blog…..her lead entry today…which you can … Read more