Root canal shaping in the age of minimally invasive endodontics (MIE)

Buch-Fig 8bc alternate text for this image

”You cannot clean a root canal with a larger file.” — LSB We are entering a new golden age of endodontics where instrumentation with root canal files is safer, easier, and more efficient. In 1980, when the senior author matriculated from his endo residency at Temple University, the most difficult art form in clinical endodontics was … Read more

The multi-phase heat-treated file: Safeguarding against breakage of endodontic rotary files

Serota-Fig-10AB-thumbnail alternate text for this image

Endodontic engine-driven (rotary files) have revolutionized modern root canal therapy by providing increased efficiency and precision. Despite these advancements, file breakage continues to pose a significant challenge, complicating treatment and potentially jeopardizing patient outcomes. To mitigate the risks associated with file separation, various methods and technologies have been introduced. This article explores the heat-treatment manufacturing … Read more

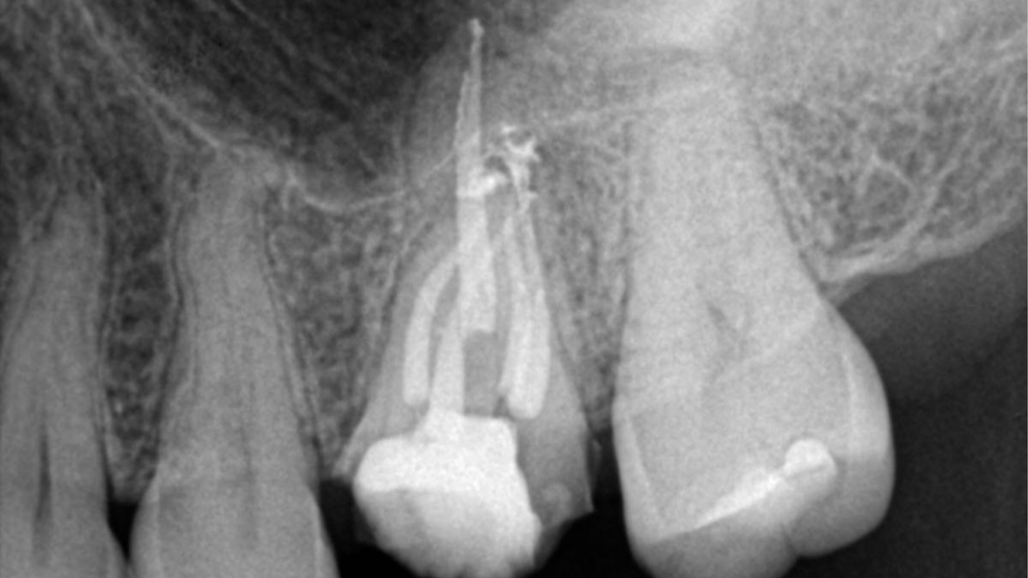
Management of second mesio-buccal canal in maxillary molars with one instrument used in reciprocation, without initial scouting and without glide path

yared_thumbnail alternate text for this image

The management of MB2 canals in maxillary molars can be challenging1 considering the complexity of the canal anatomy and the presence of calcifications.2,3 The first step in the management of a calcified MB2 canal is the initial scouting with small stainless-steel (SS) hand instruments sizes 6 to 10, which is considered as the most challenging part … Read more

Reciproc blue: Is a one file endodontic procedure the new reality?

Lanswehr—thumbnail alternate text for this image

The goal of endodontics is to remove a multispecies biofilm from the root canal system to treat apical periodontitis. Historically this was done with a series of hand files that were prone to procedural mishaps, inefficient, and potentially more problematic for patients.1,2 An obvious way to eliminate the potential for iatrogenic issues with hand files is … Read more

Endodontic-restorative continuum: Part 2

dagher_part2_thumbnail alternate text for this image

Evaluating restorability before endodontic treatment: A critical step in treatment planning Before initiating endodontic treatment, assessing the restorability of a tooth is crucial to ensure long-term success. While root canal therapy can effectively resolve pulpal infections, it is only worthwhile if the tooth can be predictably restored and functionally maintained. Failing to evaluate restorability beforehand … Read more

Endodontic-restorative continuum: Part 1

dagher-thumbnail alternate text for this image

The endodontic restorative continuum Timely and effective restoration can mean the difference between success and failure of a previously root canal treated tooth. Even after the root canal treatment (RCT) is completed, and the patient is out of pain, the clock continues to tick. Tooth contamination can start from a few hours to a few … Read more

How to communicate endodontic retreatment to your patient | Weekly Wisdom

How-to-communicate-endodontic-retreatment alternate text for this image

According to Dr. Gary Glassman, a large portion of the endodontic treatment he performs are retreatments. If you find yourself in a similar situation, here is some advice on how to best communicate the retreatment to your patients. Subscribe to Oral Health’s weekly e-newsletter to have the latest episode delivered straight to your inbox every week!

Is root canal treatment boring? | Weekly Wisdom 

Is-root-canal-treatment-boring alternate text for this image

Dr. Gary Glassman shares why he does not get bored despite doing root canal treatments all day! Subscribe to Oral Health’s weekly e-newsletter to have the latest episode delivered straight to your inbox every week!

Weekly Wisdom: The Essential Role of Dental Dams

The Essential Role of Dental Dams alternate text for this image

Dr. Gary Glassman says 90% of dentist around the world are not using dental dams when performing root canal treatment. For him it is a must. Watch this week’s tip to find out why! Subscribe to Oral Health’s weekly e-newsletter to have the latest episode delivered straight to your inbox every week!

Closed-System Negative Pressure Irrigation

buchanan-featured-image alternate text for this image

Irrigation of root canal systems is the most important aspect of RCTT 1,2,3, yet it may also be the least understood thing we do inside these complex spaces.4 Evidence for that statement is the fact that, to this day, very few endodontists understand how the introduction of rotary shaping files caused an increase in our irrigation failures,5 not to … Read more

The Lateral Puff in Endodontics: Clinically Significant or a Storyteller of Anatomy and Etiology? – A Case Report Series

Gilbert-featured-image alternate text for this image

In modern endodontic practice, the focus has shifted from traditional cleaning, shaping, and filling methods to prioritizing conservative canal shaping first, opening the canals, and using advanced disinfection protocols with irrigation, enabling more effective cleaning before three-dimensional filling.1 To be more accurate and descriptive of root canal anatomy, it is recommended to use the term … Read more

Weekly Wisdom: Best Way to Use an Apex Locator

Best-Way-to-Use-an-Apex-Locator alternate text for this image

Dr. Gary Glassman discusses the top 5 best ways to use an apex locator when working on a root canal. Subscribe to Oral Health’s weekly e-newsletter to have the latest episode delivered straight to your inbox every week!

Weekly Wisdom: The Ideal Irrigation Protocol

WW Thumbnail_1920x1080_230124 alternate text for this image

Endo expert, Dr. Gary Glassman, returns to the series to discuss his irrigation protocol that is used in his final irrigation. Subscribe to Oral Health’s weekly e-newsletter to have the latest episode delivered straight to your inbox every week!

Weekly Wisdom: Innovations in Endodontics

WW Thumbnail_1920x1080_211123 alternate text for this image

Dr. Gary Glassman discusses the innovations in technique and technology in Endodontics, with a focus on irrigation, debridement, 3D disinfection of the root canal. Subscribe to Oral Health’s weekly e-newsletter to have the latest episode delivered straight to your inbox every week!

Weekly Wisdom: Access Preparation for Root Canals

WW Thumbnail_1920x1080_241023 alternate text for this image

Dr. Gary Glassman returns to Weekly Wisdom to discuss one of the most important parts of root canal treatment. Subscribe to Oral Health’s weekly e-newsletter to have the latest episode delivered straight to your inbox every week!

Harnessing Fluid Engineering and Bioactivesto Refigure Root Canal Treatment

oral-health-may-2023 alternate text for this image

Over the decades, cleaning the root canal system has been considered the pivotal step in endodontic treatment. The clinical recommendations have been to adequately enlarge the canal to uphold effective irrigation with bleach and obturation of the root canals with sealers and gutta-percha. However, as the importance of preserving natural tooth structure continues to evolve, … Read more

UB Receives Grant to Improve a Root Canal Treatment Alternative

Dentist cleaning teeth with titanium metal tooth pick instrument to remove plaque and decay. alternate text for this image

University at Buffalo researcher Hacer Aksel has received a grant from the American Association of Endodontists’ Foundation for Endodontics to investigate a potential biomarker to support the success of vital pulp therapy, an alternative to root canal treatment that aims to preserve and maintain the healthy pulp tissue in damaged teeth. The minimally invasive treatment … Read more