Artificial Intelligence and Deep Learning in Dental Radiology: A Way Forward in Point of Care Radiology

Dental Radiology

Introduction The introduction of cone beam computed tomography (CBCT) to dmf (dentomaxillofacial) radiology in the late 1990s transformed the way the profession as a whole analyzes the oral and maxillofacial complex.1 Dental providers, who previously were limited to two-dimensional (2D) images of three dimensional (3D) anatomical structures, now had the ability to visualize the hard … Read more

Sirona Group receives another Top Employer Award

Since receiving the Top Employer Awards for Germany, Austria and Engineers in 2013, Sirona’s excellent human resources policy and very good working conditions have also earned it international recognition in 2014. In an award ceremony in Shanghai, Sirona China was given the “Top Employer China 2014” award in mid-January. The company’s German employees have also … Read more

Carestream Dental Donates Equipment to Aspen Dental’s MouthMobile

 Mobile Office Brings Free Dental Care Directly to Disadvantaged Communities Carestream Dental has partnered with Aspen Dental to provide equipment for the Aspen Dental MouthMobile, a fully-equipped dental office on wheels that will go directly into communities and provide free dental care and oral health education. It’s all part of Aspen Dental’s Healthy Mouth Movement, … Read more

Tru-Align reduces x-ray dose by 60% – Dale Miles

Tru-Align uses rectangular collimation to reduce radiation from dental x-rays, improve dental radiograph clarity and reduce digital x-ray retakes. By following the ALARA principle, Tru-Align protects patients and professionals. Intriguing new product. Related articles The Truth About Dental X-Rays (excursives.com) There’s No Such Thing as Safe Radiation (pakos.me)

DMFR, CSIS, FBI, NSA, CIA, KGB, FSB – which one applies to dentistry?

For those of you who haven’t been introduced to DrBicuspid as yet, you should make it a serious priority – Kathy Kincade and her team are simply the best of the best……I read her everyday as she is an important lead into finding salient and relevant information for this blog…..her lead entry today…which you can … Read more

Radiology: Yesterday, Today and Tomorrow

Figure 1-Extended field of view (3D volume stitching program) with alveolar nerve mapped. Kodak 9000 3D extraoral imaging system

There was a time when it took a few minutes to expose a tooth to get a diagnostic image, which meant that patience was a virtue for the patient as well as the clinician. All this was at the expense of the safety of the patient and in many cases the person who exposed the … Read more

Viewpoint

1000389447-1000389448 alternate text for this image

Comment on an article published May, 2010: Small Focal Field Volumetric Cone Beam Tomography: The new standard of Care in Foundational Dentistry? by Dr. F. Barnett and Dr. K. Serota would like to thank Drs. Barnett and Serota for highlighting some of the clinical scenarios when Cone Beam Computed Tomography (CBCT) can be a valuable … Read more

Diagnostic Challenge (continued from page 60)

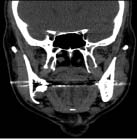
1000389449-1000389452 alternate text for this image

Diagnostic Challenge (continued from page 60)     In 1942, Edward C. Stafne documented 34 cases of a well-defined radiolucent entity below the inferior alveolar nerve canal, near the mandibular angle.1 The entity is a developmental, lingual cortical bone concavity of the mandible that usually contains salivary gland tissue, fat, muscle, blood vessels, lymphoid tissue … Read more

KODAK 9500 Now in Canada

  KODAK 9500 Cone Beam 3D System Now Approved for Sale in Canada Medium, Large Field 3D Programs Deliver Dual Jaw, Craniofacial Imaging   TORONTO, October 15 — The KODAK 9500 Cone Beam (CB) 3D System, introduced by Carestream Health, Inc. earlier this year and providing three-dimensional imaging of the dental and facial anatomy, is … Read more