Flowable Composite Class II Restorations

Lowe-003 alternate text for this image

Introduction The typical Class II posterior composite restoration is “placed on blind faith” using techniques and armamentarium designed specifically for amalgam placement. It is extremely difficult to evaluate the quality of composite layering in an interproximal preparation that is between the buccal and lingual line angles and thus, not clinically visible. Unlike amalgam, composite is … Read more

They Never Gave Us Hope…

oral-health-july-2021 alternate text for this image

In recent history, in situations when the world was facing global calamity, our leaders countered with great initiative and unflagging hope. The Lincolns, Churchills and Roosevelts rose to the challenges and overcame extreme odds. In the ongoing response to the COVID-19 pandemic that originated in Wuhan, China, hope, positivity and confidence have largely been absent. … Read more

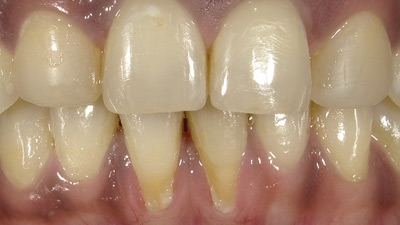
Esthetic Gingival Restoration

Freedman-Fig alternate text for this image

Esthetic Dilemma of the Gingival Margin The data is unambiguous; both porcelain and composite resin are biocompatible with the gingiva and well tolerated.1-3 The caveat is that composite tends to cause tissue irritation if it comes into intimate contact with the gingiva.4-6 This ultimately causes unesthetic gingival recession. Porcelain is less problematic, but plaque build-up … Read more

Bioflavonoid Spray Efficacy Against Respiratory Viruses

Bioflavonoid Spray Efficacy Against Respiratory Viruses

COVID-19 has raised new concerns about respiratory viral infections (RVI). This virus can reproduce within the cells that line the human respiratory tract and the resulting infections cause respiratory issues and may infect multiple other sites. At this time, there are more than 200 known viral strains that cause respiratory infection, including the coronavirus, influenza … Read more

Lips: The Forgotten Oral Tissue

Lips

Lips are defined as “either of two fleshy folds that surround the mouth in humans and many other vertebrates and are organs of human speech essential to certain articulations”1. Lips are unique oral structures, as individual as fingerprints, that play important roles in mastication and deglutition, sound articulation, facial expression and physiological protection. Lips are … Read more

Minimally Invasive Robotic-Assisted Full Arch Surgery

Griffin-Figure-8a alternate text for this image

Robotic guidance has enhanced and improved various surgical specialties and is now available to implant dentistry for both partially and fully edentulous patients through the Yomi platform developed by Neocis Inc. (Miami FL)1,2 Accuracy of implant placement has been shown to have a direct correlation with the prosthetic results.3 The Yomi platform provides visual, audio … Read more

3D Printing: Changing the Game

Lazarescu-fig-4 alternate text for this image

When I discovered CAD/CAM technology more than 10 years ago, I was amazed at the technological world that I was entering. It was novel and it was creative; but it was also rather daunting. My student years had provided some abstract images of various scanners and milling machines that were available at that time, but … Read more

Digital Scans and Human Identification

Simon-FIG alternate text for this image

Background The exponential growth of digital technology in dentistry is inherently accompanied by a significant expansion of 2D and 3D dental image records. Traditional stone models are impractical to keep long-term due to storage volume and fragility. Comprehensive and accurate models offer an excellent record of the preoperative dentition for the complete restoration of a … Read more

Prescriptive Composite Sculpting and Polishing

Roetzer-Fig alternate text for this image

It became painfully obvious to those of us practicing in the 1980s that those new-fangled “posterior” composites were just never going to handle like amalgam. For starters, composites cannot be “condensed” or “packed.” Ever since then, clinicians, academics, and manufacturers have sought to create or re-design the successful armamentarium for direct esthetic posterior restorations. Most … Read more

Teledentistry: Trending Post-COVID-19

Ochoa-Fig alternate text for this image

Practicing dentistry at a distance, utilizing instantaneous virtual mobile technology, was the stuff of science fiction just a few decades ago. We were taught in dental school that our capacity to diagnose disease and to perform dentistry relied entirely upon our hand instruments and our clinical abilities. Thus, the stereotype of the dentist holding a … Read more

Teeth Whitening & Skin Rejuvenation: Combined Therapy

Holt Fig 3 alternate text for this image

Over the last few decades, teeth whitening has become the foundation of cosmetic dentistry, representing one of the most cost effective, minimally invasive, entry level options for patients wishing to enhance the appearance of their smile. When looking at developing a complete intra- and extra-oral, Dento-Facial Aesthetic treatment plan for patients, teeth whitening should be … Read more

Communicating Oral Appliance Hygiene

Berland Fig. 2 Communicating with the patient alternate text for this image

Oral appliance homecare has a major impact on continuing compliance, treatment success, and the patient’s overall experience with the process. Individuals utilizing dentures, sleep devices, retainers, aligners and mouth guards are at a significantly greater risk of developing oral infections. Clinical research consistently demonstrates that, in a majority of patients, these appliances become infected over … Read more

“I Have It… You Need It!”

Glazer FIG. 11 Optrasculpt (Ivoclar VIvadent) alternate text for this image

There is no doubt that the world of dental materials and products changes almost as fast as the wind changes direction. Presently, the focus on products seems to be on intraoral scanners, in-office milling and 3D printing. But what about materials and products for everyday “bread and butter” dentistry? Materials and equipment that are faster, … Read more

Illuminating the Resin: What You Need to Know

Price Figure 7 alternate text for this image

Curing lights have become an integral part of dental practice 1 where they are now used to light cure direct composites, provisional restorations, luting cements, sealants, and orthodontic bracket cements. When a restoration fails (Fig. 1), or a bracket falls off, most assume that there was a problem with the materials used. But what if … Read more

A “Point-by-Point” Statement on Periodontal Host-Modulation Therapy: Safety First!

Golub Figure 3 alternate text for this image

Introduction Over the past several decades, dentistry has come to realize that: (a) Periodontitis is the most common progressive, chronic inflammatory disease known to mankind – more common than rheumatoid arthritis, chronic inflammatory bowel disease, chronic inflammatory skin disease, etc., and (b) although the dental plaque, i.e., the oral microbial biofilm (and its metabolic products), … Read more

Veneer Temporization: A Simple Approach to Healthy Results

Haber fig 1 alternate text for this image

A variety of methods have been introduced to maintain veneer preparation integrity, tissue health, and overall patient comfort. While there are many approaches to the temporization process, both indirect and indirect-direct, one of the most efficient is the direct method. Most procedures involve indirect temporizing techniques, fabricating and polishing the provisional outside of the mouth … Read more

Women in Dentistry Symposium

Women In Dentistry alternate text for this image

The 8th annual Women in Dentistry Symposium was on Tuesday, May 15th. The night is an opportunity for women throughout dentistry to network, learn and share experiences. Hosted by Dr. Effie Habsha, founder of Women in Dentistry, the event aims to instill a balance of work and life for female dental professionals. The basement of … Read more