Glass Ionomers: Why, Where and How

Knight Figure 6 alternate text for this image

Composite resin is a suitable restorative material to restore an existing failed restoration, however it is unsuitable to restore a carious lesion due to the large amount of remineralizable dentin required to achieve a reliable adhesive base. Glass ionomer cements (GIC) will adhere to caries affected dentin, minimizing the amount of tooth removal required to … Read more

Bioactivity In Restorative Dentistry: A User’s Guide

Goldstep FIGURE 6 alternate text for this image

Introduction The word “bioactivity” is one of the latest buzzwords in the dentistry. It is highlighted as a feature in many restorative products with different and conflicting claims. This has stirred up confusion and controversy surrounding the concept. This article will attempt to provide clarity for the practicing restorative dentist: What is bioactivity? What are … Read more

What To Do When The Evidence Is Lacking?

Flossing

Introduction You may recall the media storm in 2016 that was precipitated by a report by Jeff Donn from the Associated Press. He wrote there is no solid evidence that flossing is effective. Based on various form of social media it seems that it did not sit well with the dental community. However, Donn was … Read more

Minimally Invasive Diagnostic Tools in the Diagnosis of Periodontal Disease

Periodontal Disease

Introduction The most common chronic inflammatory conditions worldwide and collectively the most common diseases known to mankind, are inflammatory periodontal diseases.1 Periodontal diseases include gingivitis, where the inflammation confined to the gingiva is reversible with good oral hygiene, and periodontitis, an extension of the inflammation that results in tissue destruction and alveolar bone resorption.1 Periodontitis … Read more

Heroic Dentistry – Courage or Folly?

december-oh-cover alternate text for this image

Every day we come to the rescue of our patients by taking them out of pain, combating the results of an accident, reversing the ravages of time or simply getting them ready for a special day in their lives. We become heroes to our patients. We can do this simply and easily because of the … Read more

Evidence-Based Dentistry: How to Find Answers to Apply in Clinical Practice

clinical-practice-2 alternate text for this image

Evidence-Based Medicine Since the 1980s, when McMaster Medical School in Canada termed the process of integrating scientific information into medical practice, Evidence-Based Medicine (EBM), it was formally adapted by the Evidence-Based Medicine Working Group, and a new paradigm for medical practice emerged. 1 Later, other health fields, like oral health care, began incorporating the same … Read more

Heroic Restorative Repairs – A Universal Adhesive

freedman-fig-1 alternate text for this image

The task of repairing restorations has historically been an unproductive procedure in the dental practice. Dental professionals have learned through extensive personal experience that repairs, whether intra- or extra-oral, have a very poor prognosis. In fact, no matter how carefully the fractured ceramic or composite surface was roughed, cleaned, dried, primed, and bonded, the repair … Read more

Modern Advancements in Pediatric Dentistry

wren-case-1-figure-5 alternate text for this image

Pediatric dentistry has seen considerable improvements in materials and treatment options over the past few years. While other dental specialties have experienced tremendous developments in their materials and methods over the past forty years, pediatric dentistry has seemed to evolve much more slowly. Although we have enjoyed success with the treatments of the past, less invasive … Read more

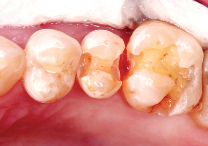
The Evolution of Glass Ionomer Restorative Materials

ward-figure-15-first-molar-and-second-premolar-excavated alternate text for this image

Glass ionomers have enjoyed many firsts in dentistry. They were the first materials designed to resist recurrent decay. They were the first bioactive materials, which release fluoride in an acidic environment and recharge or replace lost fluoride ions when they are re-introduced back into the oral environment. They were the first easy to use bulk-fill … Read more

Avoiding Peri-implantitis: Key Factors for Improved Clinical Outcomes

tawil-figure-5 alternate text for this image

Dental implants have emerged as the standard of care for replacing a single tooth in healthy patients. In the US alone more than 35 million Americans are edentulous and 178 million are missing at least one tooth. 1 According to the Levin group it is estimated that the number of dental implants received by patients … Read more

Laser Assisted Periodontal Therapy as an Adjunct to Scaling and Root Planing

cortes-figure-2 alternate text for this image

A 42-year-old male client presented with generalized chronic moderate to severe marginal gingivitis and generalized chronic moderate to advanced periodontitis. He reported that non-surgical periodontal therapy, by means of scaling and root planing, had failed to prevent increased clinical attachment loss and he was referred to a periodontist for pocket reduction surgery. After consultation, the … Read more

Prescribing Hydrogen Peroxide in the Treatment of Periodontal Disease

dunlap-image-2 alternate text for this image

Antibiotics used for the treatment of periodontal disease have come under increasing scrutiny in recent years. One concern lies in the rise of bacteria resistant to antibiotics, complicating treatment and posing general health risks. Some patients want to avoid antibiotics and their side effects altogether. Many dentists have raised concerns about antibiotic long-term efficacy. An … Read more

Oral Clinical Manifestations of Patients Infected with Zika Virus

december-oh-cover alternate text for this image

Few studies have described ZIKV manifestations in the mouth of infected patients. Recently, Brasil et al. reported local hyperemia and petechiae on the hard palate of an infected patient. 1 Some viruses are transmitted through saliva, including herpes simplex virus types 1 and 2 (HSV1, HSV2) and cytomegalovirus (CMV). 2 Notably, HSV and ZIKV display … Read more