A Novel Simplified Stepwise Approach to Diagnosing Periodontal Diseases and Conditions

Prete-fig3-thumbnails alternate text for this image

Abstract Background: The classification system for periodontal diseases and conditions was revised in 2017. Evidence-based criteria were developed, and extensive revisions made, to reflect advancements regarding the etiology and progression of periodontal diseases. Among the many updates made to the previous classification system, a novel definition for periodontal health was introduced, along with a staging … Read more

A New Tool for Cleaning Excess Resin Cement

Lawson-fig1-thumbnail alternate text for this image

Cleaning excess cement after cementation of a crown is a tedious but important clinical procedure. Failure to remove excess cement can lead to plaque accumulation, gingival inflammation and possibly even bone loss.1 Removal of cement is even more difficult when using resin cement. A recent Practice Based Research Network study reported that almost 40 percent … Read more

Rehabilitation of Both Failing Implants and Remaining Dentition with Implant Overdentures: A Case Report Part 2: Prosthetic Treatment

dabuleanu-thumbnail alternate text for this image

Introduction This publication is a continuation of the case report published in 2020, on rehabilitation of both failing implants and remaining dentition with implant overdentures. Prosthetic treatment was delayed last year due to COVID-19. Prosthetic Treatment The patient’s provisional upper denture was under-extended to maximize support, retention, and stability in light of the horizontal prosthetic … Read more

Oral Cancer as a Result of Betel Quid Use: An Interventional Analysis of Betel Quid Prevention and Cessation in Papua New Guinea Adolescents and the Role of Dentists as Global Citizens

Red-stained smile in adolescent from daily use of BQ. Photo courtesy of Kathleen Prior.

Ared-stained smile, often observed in Asia-Pacific populations, is the hallmark of betel quid (BQ), a carcinogenic seed chewed by an estimated 600 million people globally (Ping-Ho et al., 2017). This practice is deeply rooted in Asia-Pacific culture; however, BQ is widely recognized to cause multisystem adverse health effects and oral cancer (Chu, 2001; Moe et … Read more

Removal of Impacted Third Molars: High Speed Bur or Piezosurgery?

Figure-2-Piezo-Tips alternate text for this image

Approximately 20 percent of the general population have impacted teeth, the majority of which are third molars.1 Therefore, the removal of impacted teeth is one of the most common procedures to be performed in oral surgery practices.2 It is also a procedure that instills fear and anxiety in many patients. Third molar removal can range … Read more

Effective Periodontal Charting Leads to Effective Periodontal Care

Low-Figure-1 alternate text for this image

Periodontitis has now been established as a major chronic inflammatory disease. There exist significant links to systemic health conditions under the umbrella of the “oral systemic link”. Recent epidemiologic research has linked periodontal pathogens to several systemic diseases, including cardiovascular disease, diabetes mellitus, and preterm birth, possibly mediated through markers of systemic infection and inflammation. … Read more

Never Waste a Good Crisis: An Opportunity to Bounce Forward

oral-health-october-2020 alternate text for this image

Given the requirement for aerosol generating procedures to provide effective dental treatment, the COVID-19 pandemic has been particularly challenging for all dental professionals. As leaders of our teams, dentists are used to being prepared for all sorts of emergencies. However, emergencies and disasters are quite different. During an emergency you need quick decision making; there … Read more

Polycystic Ovarian Syndrome and Periodontal Disease: Is There a Link?

oral-health-october-2020 alternate text for this image

What is Polycystic Ovarian Syndrome (PCOS)? When young women experience infrequent or irregular menstrual cycles, it is quite common for them to receive a diagnosis of PCOS from their physician. PCOS affects 4-21% of reproductive age women and is the leading cause of anovulatory infertility.1,2 The most commonly used diagnostic criteria states that women with … Read more

Prebiotics: Not Only For Gut Health?

Ward-fig1-thumbnail alternate text for this image

Our gut and oral cavity are home to the largest and second largest microbiomes, respectively, in the human body. Together, these microbiomes are intrinsically linked to our overall health in a complex relationship. While the presence of certain oral bacteria contribute to periodontal disease and tooth decay, these same bacteria may travel through our digestive … Read more

Malignant Transformation of an Odontogenic Cyst: Report of Two Cases

Klieb-fig-2-thumbnail alternate text for this image

Introduction Primary intraosseous squamous cell carcinoma’ (PIOSCC) is a rare malignancy arising centrally within the jaw with no connection to the surface oral mucosa.1 The putative source of the epithelium giving rise to the carcinoma is remnants of odontogenic epithelium such as the rests of Malassez. PIOSCC may also arise from an odontogenic cyst, which … Read more

Rehabilitation of Both Failing Implants and Remaining Dentition with Implant Overdentures: A Case Report

Dabuleanu-fig-23-thumbnail alternate text for this image

Introduction A removable overdenture prosthesis is a practical rehabilitative alternative to a conventional complete denture as it is more comfortable, retentive, and satisfying for patients. It is a cost-effective alternative to a fixed implant-supported complete denture.1 Advancements in diagnostic, surgical and prosthetic technologies, combined with clinical research comparing different treatment outcomes, have resulted in an … Read more

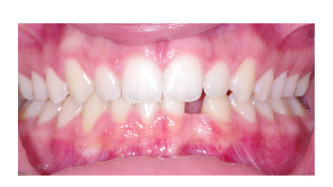
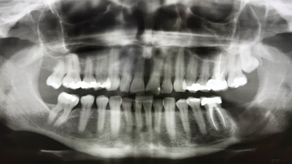
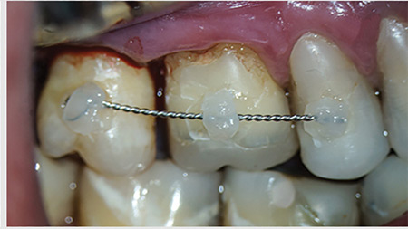
Pre-Orthodontic Periodontal Considerations: Establishing a Rationale and Timeline for Periodontal Intervention

Clear Aligners

Introduction: The proliferation of novel appliances in modern orthodontics, that are discreet or even completely undetectable, has encouraged a growing number of patients from adolescents to adults to seek out treatment. While referrals to an orthodontist are often made to address functional problems, esthetic reasons are an equal (if not more common) basis for addressing … Read more

Four Team Members, One Goal: A Transformation Story

Soll-fig-34-thumbnail alternate text for this image

ABSTRACT Quite often patients have the desire to improve their oral care and appearance but don’t know where to start. Compounding the problem is that when the patient is seeking solutions, they are often turned away or trivialized because their practitioner does not have the knowledge or skill to treatment plan the patient’s needs or … Read more

A Love Affair: DMC’s 2019 Grenada Dental Mission Trip

DMC’s 2019 Grenada dental mission trip

Hello soul. I see you there. No more defences.  Nowhere for you to hide.  No cloak to wear. You can’t prepare and I shall not spare you from me. For I am self-aware. Rise up now soul.  Burn hot and flare across abyss and do warfare ‘gainst dark and cold and empty air! For you are … Read more

Aesthetic Crown Lengthening

Aesthetic Crown Lengthening

Introduction With the continued high demand for esthetic dentistry, gingival health is among the first fundamental esthetic objectives during treatment planning. Diseased gingival tissues will possess a negative impact on a smile. The literature is replete with articles describing cosmetic restorative cases with a brief mention of the preliminary gingival recontouring. It is not always … Read more