How being an empath can help as a dentist | Weekly Wisdom 

How-being-an-empath-can-help-as-a-dentist alternate text for this image

Which of your personality traits has helped you the most as a dentist? For Dr. Jeffrey Gurian, being an empath helped him be a better dentist by pushing him to create a safe and comfortable atmosphere for his patients. He helped form “better patients” that were less afraid during their appointments. Subscribe to Oral Health’s … Read more

Next Gen of the Month: Dr. Brandon Linaksita

brandon5 alternate text for this image

Next Gen of the Month is a monthly Q&A with a dental student or new dentist where we ask them about their experiences and accomplishments thus far in their dentistry journey. Why did you decide to pursue dentistry? From an early age, I knew I wanted to pursue a healthcare-related occupation. Most people I connect … Read more

The Hall Technique – Teaching an Old Dog New Tricks

Step-by-step of the Clinical Hall Technique Procedure.

Background and Context Like many health fields, dentistry has been characterized throughout the years for innovating and improving upon existing interventions. Established and “classical” approaches, materials and techniques have often stood the test of time compared to more innovative and so-called “cutting-edge” technologies. In pediatric dentistry, this has proven to be true, especially when it … Read more

Tooth or Not, Advocate for Your Patient

ORAL-HEALTH-JAN-2024 alternate text for this image

Identifying the etiology of acute facial swelling in children can be a challenge due to growth and development, complex regional anatomy, and difficulty with obtaining a thorough history. We present a case report from rural Alberta that highlights these challenges. In particular, this case demonstrates the necessity for open communication with the child’s family and … Read more

Top 7 Paediatric Questions Parents Ask At Dental Appointments

Adam-iStock-1186054280 alternate text for this image

1. “Is the cleaning really necessary today?” Many parents do not see the benefits of dental prophylaxis as they see it as treatment they can easily do themselves at home. The goal of dental prophylaxis is to remove supragingival plaque, stains, and calculus from the patient’s teeth. It provides an opportunity for oral hygiene instruction … Read more

Thinking Outside the Box

iStock-1348669757-(1)-[Converted] alternate text for this image

The other day I had a young patient with severe anxiety in my office for a new patient examination. When the young child entered the waiting room, they were tightly clinging to their mother. Upon first impression, our pediatric dental team was not too optimistic that we were going to be able to even look … Read more

To Expand or Not to Expand? That is the Question

Sectakof fig 1A alternate text for this image

A 9-year-old female patient visited the orthodontic office for an initial consultation. She presented with a Class II malocclusion, crowding, and high/blocked out canines on the panorex. (Fig. 1A) The patient was placed on a reassessment schedule and returned 16 months later. She presented with an improved arch form that resulted in decreased crowding. A … Read more

The Role of the Parent in the Treatment of the Pediatric Patient

Figure 4 alternate text for this image

We are all aware that treating children in our dental practice can be extremely challenging. Whether it be their inability to sit long enough to complete their dental treatment or their anticipation or generalized anxiety, these factors and many more add to the difficulty in treating our pediatric patients. Not only is the experience difficult … Read more

When Are We Going Back to “Normal”?

oral-health-january-2022 alternate text for this image

COVID-19 has certainly turned our world upside down. Nowhere is this truer than in the dental profession. Dental offices all over our country have had to step up measures to ensure that our patients and staff are safe. In fact, dentistry has been a success story with how well we have all done to prevent … Read more

Importance of Early Multidisciplinary Care in Pediatric Dentistry

Wang-fig-3 alternate text for this image

Dental and medical professionals have historically kept separate practices. Dentists have struggled to integrate into the medical community outside of the hospital setting. Traditionally, limited information is given to parents by pediatricians and family physicians with regards to infant oral health and general pediatric dentistry. Recently, there has been a trend towards multidisciplinary outpatient clinics … Read more

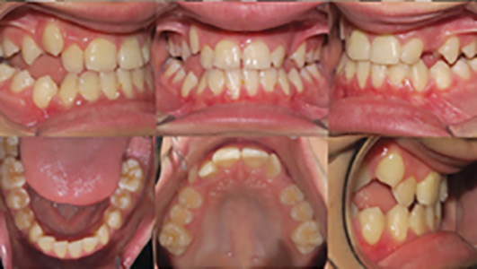
Management of a 12-Year-Old-Male with a Class III Malocclusion and Canine Impaction

Chung-fig-1 alternate text for this image

INTRODUCTON As dental practitioners, we are continuously challenged to rely on our knowledge and experience to guide us when making recommendations to our patients. A thorough clinical exam is essential to narrowing in on a diagnosis. Additionally, an appropriately timed radiograph can prevent undesired sequala. The following case illustrates the value of routine orthodontic radiography … Read more

Revolutionizing Minimally Invasive Dentistry with Resin Infiltration

Cohn-Figure-2 alternate text for this image

Interproximal incipient caries, white spot lesions, fluorosis, hypo-mineralization. What would you do if it was your child, your friend, yourself? Would you cut into the tooth to place an intra-coronal restoration? Would you look for alternate treatment options? We all know that intra-coronal restorations come with removal of plenty of healthy tooth structure to access … Read more

Erosive Potential of At-Home Carbonated Beverages

oral-health-january-2022 alternate text for this image

Abstract Objective: The objective of this study was to assess the effects of at-home carbonation systems on the pH of water, apple juice, and orange juice as it relates to enamel dissolution at a critical pH. Methods: A 2x3x8 fractional factorial design was employed to determine the effects of at-home carbonation machines on water, apple … Read more

Autism On the Rise: Coping in the Dental Office

ORH-JAN-2021 alternate text for this image

The U.S. Department of Education reports on its website that an astonishing 1 in 59 children in the United States are affected by Autism Spectrum Disorder (ASD) – a far cry from the figure of 1 in 2,500 that had been the accepted prevalence when I entered the dental profession more than three decades ago. … Read more

Maximizing the Lifespan of Dental Implants Placed in Young Individuals: The Role of Oral Neutrophils in Peri-Implant Diseases

Maximizing the Lifespan of Dental Implants Placed in Young Individuals: The Role of Oral Neutrophils in Peri-Implant Diseases

Introduction Dental implants are an increasingly popular treatment choice in young individuals with dento-facial anomalies characterized by missing teeth such as oligodontia and cleft lip and palate. Although dental implants may represent a predictable treatment option in the short term, over the long term the risk of peri-implant disease cannot be overlooked due to its … Read more