Sedation considerations in the dental care of the geriatric population

Senior Patient Suffering From Coronavirus Praying on Stretcher alternate text for this image

Over the next 20 years, Canada’s senior population is expected to grow by 68%, with the group aged 75 and older doubling to approximately 10.4 million.1 With advancements in dental care, more seniors are retaining their natural dentition into older age, many with complex work including crowns, bridges, implants, etc. For dentists, this demographic shift means … Read more

Golden years and golden smiles

Senior couple, laughing or park bench in nature garden for love, support or bonding retirement trust. Smile, woman or elderly man in backyard for joke, funny news or relationship on lens flare space alternate text for this image

It is a great privilege to have been invited to serve as the editor responsible for geriatric dentistry for the Oral Health Journal. The demographic landscape of Canada has undergone a notable shift in recent decades concurrent with the aging of the “Baby Boomers.” In the 1960’s, Canada’s population structure resembled a pyramid with youth … Read more

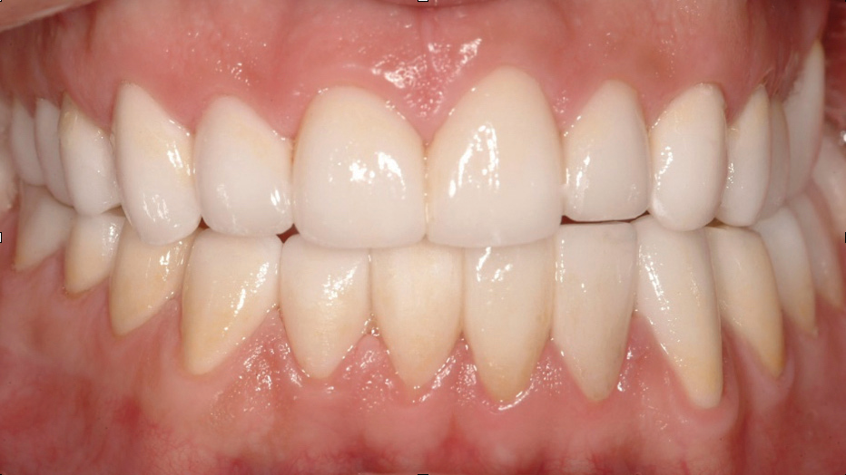
Finding the key to oral health … and total health

oral-health-december alternate text for this image

It is astonishing that as early as 1914, Dr. Charles Mayo, of Mayo Clinic fame, wrote an article titled “Mouth Infection as a Source of Systemic Disease.” He is also known to have said, “The next movement in preventive medicine must come from the members of the dental profession.” Wow! This was over one hundred … Read more

Medical Emergencies at the Dental Office | Weekly Wisdom

Medical-Emergencies-at-the-Dental-Office alternate text for this image

Are you prepared for medical emergencies at your dental office? Dr. Sanj Mohanta describes what to do if you suspect your patient is experiencing a medical emergency such as a myocardial infarction. Subscribe to Oral Health’s weekly e-newsletter to have the latest episode delivered straight to your inbox every week!

How Can Ergonomics Boost Your Dental Practice?

Woman work on computer at table in correct position alternate text for this image

Entrepreneur and author Jim Rohn once stated, “Look after your body, it’s the only place where you reside.” However, for dentists across the globe, setting up an ergonomic workplace is proving to be quite a challenge. A 2022 study published in the Journal of Research in Medical and Dental Science has reported that the prevalence … Read more

The Link Between Oral Health And Overall Wellness: Exploring The Latest Research

Father teaching son to brush teeth alternate text for this image

Although dental care typically aims to keep teeth and gums healthy, current research continues to show a deep connection between oral health and overall wellness. This link is significant, indicating that oral health issues can often hint at systemic problems such as cardiovascular disease, respiratory infections, and more. The dental professionals at McLean Dentistry found it is … Read more

Interprofessional Collaborative Practice: A Hygienist Role

Mid adult man having teeth examined at dentists alternate text for this image

As dental professionals, we see patients up to three or four times a year. In retrospect, as per CDHA (Canadian Dental Hygienist Association), Registered Dental Hygienists see a larger population versus other medical professionals. We often work with patients who have complex medical histories, and often present with risk factors that require an interdisciplinary approach.1 … Read more

Self-care is Not Selfish

Healthcare Worker On A Lunch Break alternate text for this image

Everyone on an airplane has been told by the flight attendant to always secure their oxygen mask before assisting others. So why do we not heed this advice in our daily lives? As regulated healthcare professionals, we care for others all day at work but often put our health and wellness in the backseat. One … Read more

Dentists Need Self-love Too

iStock-1221021570 alternate text for this image

Dental students take care of so many people. Studies, rotation patients, friends, family, etc. But they need to love themselves too! They need to engage in activities that allow for healing (physical, emotional, and psychological), relieving stress, releasing past trauma, and harmonizing one’s inner-self. The best kind of self-love includes being ALONE with yourself to … Read more

Functionally Driven Aesthetics: A Quality of Life and Health Improvement

Wynne-fig12 alternate text for this image

Aesthetic dentists today have the unique opportunity to dramatically improve the quality of our patients’ lives. By restoring form and function to the stomatognathic system, we are able to improve a patient’s masticatory function, their appearance, and ultimately their self esteem. Various environmental and genetic factors can affect the airway, skeletal development, enamel formation, occlusion, … Read more

New Study Shows Oral Bacteria May Accelerate Pancreatic Cancer Development

iStock-1502710396 alternate text for this image

A recently published study is revealing that oral bacteria connected to gum disease could accelerate pancreatic cancer development in mice. The research was conducted by a team led by Prof. Gabriel Nussbaum of the Institute of Biomedical and Oral Research at the Hebrew University-Hadassah Faculty of Dental Medicine. The results were published in Gut, A … Read more

Dementia and Oral Health: What You Need to Know

Old And Young Support alternate text for this image

Dementia is a complex condition that affects over 733,000 people in Canada. It is caused by a decline in a person’s cognitive abilities and can severely impact their memory, behaviour, language and reasoning. While many people recognize that dementia can affect the brain’s ability to function, what is not so commonly known is that it … Read more

Patients Open to Support from Their Dentist on Weight Management, Study Finds

Female nutricionist doctor in her office during a medical consultation mesuring weight at scale off an overweight male patient alternate text for this image

A study from Loughborough University found that patients would welcome weight loss advice during their dental appointments. With the increasing levels of obesity among children and adults worldwide, the University researchers wanted to see how dentists could help. They looked at the opinions of patients and dentists when it comes to discussions of weight management … Read more

The American Heart Association Launches Healthy Smiles, Healthy Hearts™ Initiative

the American Heart Association

The American Heart Association is launching the Healthy Smiles, Healthy Hearts™ initiative, in collaboration with Delta Dental, to involve oral health clinicians in prevention and early detection of heart disease. The initiative aims to improve the total health of patients nationwide by expanding access to equitable, integrated health care, and educating patients and clinicians on … Read more

Vitamin D: Unveiling the Crucial Trifecta – Teeth, Immune System, and Bones

. By contrasting a tooth surrounded by healthy, light-colored gums with a tooth surrounded by diseased gums, this picture demonstrates how dietary vitamin D influences dental health. By facilitating calcium absorption, dietary vitamin D, represented by a food symbol, affects dental health. This promotes stronger teeth and supports overall dental health by strengthening tooth structure. The illustration also shows the potential prevention of oral cancer, maintenance of a healthy oral microbiome, and faster bone formation during orthodontic treatment.

Abstract According to recent studies, vitamin D insufficiency is connected with the occurrence of various diseases, including cancer, cardiovascular disease, and neurological disorders. Understanding the elements that regulate vitamin D intake and enhancement is crucial to preserving health and preventing the beginning of disease. With this review, we seek to shed light on the relevance … Read more

Weekly Wisdom: Checking Blood Pressure

WW Thumbnail_1920x1080_281123 alternate text for this image

Do you check your patients’ blood pressure? Dr. Sanj Mohanta discusses the importance of checking and how to go about it. Subscribe to Oral Health’s weekly e-newsletter to have the latest episode delivered straight to your inbox every week!

The Significance of Good Posture in TMJ Care

Businesswoman meditating at workplace, back view. Zen concept alternate text for this image

Maintaining good posture is a fundamental aspect of self-care for individuals dealing with Temporomandibular Joint (TMJ) disorders, as well as for healthcare professionals and the general population to avoid TMJ-related concerns.  Poor posture can aggravate TMJ pain by putting additional strain on the neck, shoulders, and jaw. We will delve deeper into the importance of … Read more

Surgical Obesity Treatment Shown to Increase Risk of Dental Caries

Sterilized and ready for use alternate text for this image

A thesis at the University of Gothenburg shows having surgical obesity treatment tends to cause a higher chance of developing dental caries and general decline in oral health. Participants with BMIs of over 40 were studied before and after they underwent treatment for severe obesity, which included surgery or medical treatment. Two years after the … Read more