Weekly Wisdom: Free Handed Implant Placements

WW Thumbnail_1920x1080_1124 2 alternate text for this image

  In this week’s episode of Weekly Wisdom, Dr. Mark Lin discusses the “free-handed concept” as an option for implant surgeons.     Subscribe to Oral Health’s weekly e-newsletter to have the latest episode delivered straight to your inbox each week!   Sponsored by  Carestream Dental offers solutions for dental practitioners, including 3D imaging systems, panoramic … Read more

Weekly Wisdom: Treatment Plans Must Be Exact

WW Thumbnail_1920x1080_1110 3 alternate text for this image

  In this episode of Weekly Wisdom, Dr. Mark Lin shares how important treatment plans are for implant surgery.     Subscribe to Oral Health’s weekly e-newsletter to have the latest episode delivered straight to your inbox each week!   Sponsored by  Carestream Dental offers solutions for dental practitioners, including 3D imaging systems, panoramic and cephalometric … Read more

Drilling Into The Future Of Robot-Assisted Dentistry

With not even a fraction of a millimeter to spare, Jonathan Ross centered in on his surgical site and was able to successfully complete a dental implant with the help of new robotic technology. Developed by Miami-based robotics health care startup Neocis, the Yomi Robotic Dental System markets itself as the first and only U.S. … Read more

To Guide Or Not To Guide: There Is No Question! A Complete Digital Workflow For Guided Implant Surgery Using CEREC Guide 2

Rihal-sample-of-medium-size-key-sets-for-nobel-implants2 alternate text for this image

The evolution of implant treatment planning has changed over the course of history. From the start, implant dentistry was considered to be surgically driven. Our current standard of care is three-dimensional placement of implants being gingivally driven. By using the latest in intraoral imaging, we can now virtualize the ideal gingival zenith position and appearance … Read more

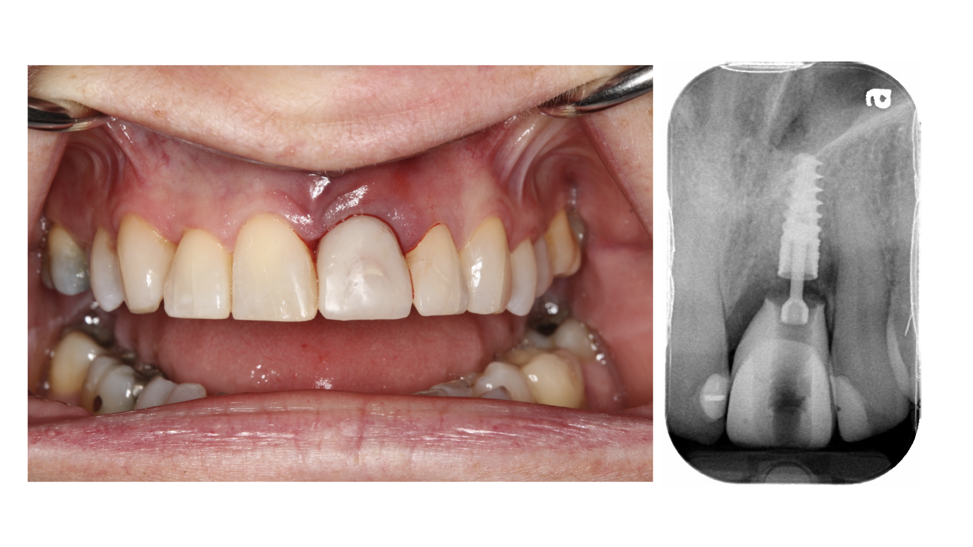
Prosthetically Driven Implant Surgery: Redefined

OH-Powell-main alternate text for this image

Introduction Looking at online forums that discuss dental implants, one cannot help but notice a heavy emphasis on the surgical aspect of implant prosthodontics with the prosthodontic phase often overlooked or barely discussed. It is our opinion that this line of thinking often results in multiple (sometimes unnecessary) surgical procedures that may yield outcomes that … Read more

Inliant: Visual | Real-time | Accurate

inliant-thumbnail alternate text for this image

Inliant Clinical provides surgeons with visual, real-time, and accurate guidance over patient CT images during implant surgery – helping surgeons drill free hand to a pre planned angle and depth with sub-millimetre accuracy. The cartless system, which integrates seamlessly into the clinic operatory, does not change handpiece ergonomics or tactile feedback. Surgeons work with off-the-shelf … Read more