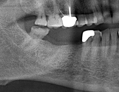
Reducing Extraction-to-Final Restoration (EFR) Time Utilizing a 5-in-1 Technique

Chen_featured alternate text for this image

Abstract Although immediate implant placement and provisionalization are now considered the standard of care and the preferred patient option for transitioning from edentulism or unrestorable teeth to implant rehabilitation, several clinical factors and patient characteristics can contraindicate this approach. As a result, it is still frequently necessary for clinicians to undertake—and for patients to endure—the … Read more

Complete Digital Workflow for Mandibular Full-arch Implant Placement and Temporalization by “Smile in a Box”

Lin-Fig 2a thumbnail alternate text for this image

Abstract Modern oral implantology requires comprehensive diagnosis, intricate planning, and precise execution to achieve desired prosthetic and functional outcomes to meet patients’ and clinicians’ expectations. In this context, digital dentistry has been adopted as an excellent service, especially for complicated full-mouth rehabilitation cases, to which the implant all-on-6 concept has become an established treatment option. … Read more

Bone Augmentation Prior To Implant Placement: A Review And Case Report

oral-health-promo-nov alternate text for this image

There is no doubt that the advent of dental implants has revolutionized the field of dental medicine. With the ability to esthetically and functionally replace single teeth or act as abutments for dentures, implants show not only versatility in application, but also innovation in the way in which we treat our patients. Implants also demonstrate … Read more

Crestal Sinus Elevation For Implant Placement

Kurtzman-figure-42 alternate text for this image

Introduction Challenges to implant placement in the posterior maxilla may be related to the maxillary sinus. The sinus may pneumatize (enlarge) related to sinus issues, patient age, how long the site has been edentulous or related to periodontal bone loss associated with the tooth that will or has been extracted.1> Hence, crestal bone height may … Read more

When to Take a CBCT Scan for Implant Placement

Nicolucci Figure 9a alternate text for this image

To view figures, click on figure mentions throughout the article. Implant dentistry has a particular need to assess the three-dimensional structure of the jaw bones. Traditionally two-dimensional radiographs have sufficed for most dentists’ needs such as with restorative or endodontics. While the advent of cone-beam computerized tomography (CBCT) has improved our diagnostic capability in many … Read more

Dynamic Surgical Guidance to Facilitate Dental Implant Placement: A Case Report

Bashutski Fig16A alternate text for this image

Introduction The long-term success of dental implant surgery is dependent, in part, on accurate planning and placement of the implant.1 Currently, there are many digital planning systems available to aid the clinician in pre-operative treatment planning, although the main challenge with these planning systems is to accurately transfer the digital plan to the clinical situation. … Read more

I DON’T THINK SO!!!!!!!!!!

Recent posting in Dr. Bicuspid referenced an article in August Journal of Endodontics wherein a preponderance of respondees in a survey replied that they would not refer to an endodontist to place implants……….In lieu of a comments reply, thought I’d go one better. Dear Ms. Kincade There were two articles of interest in the JOE … Read more

Block grafting & CAD CAM based planning for Ideal implant Positions

From Dentinal Tubules: By Anand Krishnamurthy – 19/03/2011 Dr Krishnamurthy presents a case of implant placement using CAD CAM planning and involving block grafting, before positioning and placing dental implants The initiative with Oral Health and My Dental Hub intends to go one step beyond what you see below into blended learning. It will include … Read more

Maxillary Sinus Lift and Implant Placement (Ankylos C/X)

The intent of this new phase of the MOUTHING OFF BLOG is to make it more and more visual and graphic with images, video clips and animations.  A friend from St. Louis, Dr. William Cohen, shared this with an implant forum. Bill completes a maxillary sinus lift and simultaneous dental implant placement (Ankylos C/X) utilizing … Read more

Crown-to-Implant Ratios of Short-Length Implants

Hardeep Birdi, DMD, MS John Schulte, DDS, MSD Alejandro Kovacs, DDS, MS Meghan Weed, RDH Sung-Kiang Chuang, DMD,MD Journal of Oral Implantology Vol. XXXVI/No. Six/2010 Excessive crown-implant ratios have been cited in the literature as being detrimental to long term implant survival. However, unfavorable crown-implant ratios have not yet been established. The primary aim of this study was to … Read more

Soup to nuts, CAD/CAM style

Image via Wikipedia At the Chicago Dental Society Midwinter Meeting, Straumann introduced an array of integrated computer-based technologies that have been designed to increase confidence,safety, precision and reliability in implant and restorative dentistry. Under the new umbrella brand of Straumann Digital Solutions, the company now offers state-of-the-art computer-guided surgery, intra-oral scanning and CAD/CAM prosthetics to … Read more