Weekly Wisdom: Define Implant Dentistry

WW Thumbnail_1920x1080_310522 1 alternate text for this image

  Dr. Mark Lin, Director of TIDE, shares the definition of implant dentistry in this episode of Weekly Wisdom.     Subscribe to Oral Health’s weekly e-newsletter to have the latest episode delivered straight to your inbox every week!   Sponsored by The Institute for Dental Excellence (T.I.D.E.) is committed to providing its members with … Read more

Weekly Wisdom: Indications for the Use of CBCT in Implant Dentistry

WW Thumbnail_1920x1080_190422 1 alternate text for this image

  Dr. Mark Lin, Director of TIDE, discusses the indications for the use of cone beams in implant dentistry in this episode of Weekly Wisdom.     Subscribe to Oral Health’s weekly e-newsletter to have the latest episode delivered straight to your inbox every week!  

Risk Management Issues in Implant Dentistry

ORAL-HEALTH-NOV-2021 alternate text for this image

Implant dentistry can be profitable and challenging work for dentists. However, this area of dentistry is not without legal risks. Dental regulators across Canada look closely at implant complaints, because they may be concerned that some dentists chose implant dentistry for financial reasons only, without having the necessary skills to practice successfully. Regardless of whether … Read more

Osseodensification for Implant Dentistry: Multiple Clinical Applications

Goodman-5-22987 alternate text for this image

Osseodensification (OD) is a innovative technique that aims at bone preservation utilizing the collection of autogenous bone with nonsubtractive drilling within the implant site via the compaction of cancellous bone, which has good viscoelastic and plastic deformation characteristics. Unlike traditional osteotomy, OD does not excavate bone but simultaneously compacts and autografts the particulate bone in … Read more

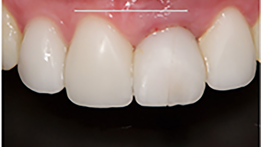
Simplifying Anterior Restorations in Aesthetic Implant Dentistry

Viquez-fig5A alternate text for this image

The dental implant is a prosthetic device delivered through a surgical process. It allows clinicians to replace one or multiple missing teeth without damaging the remaining dentition. Many attempts have been made in the literature to define the success, failure, and the factors that will influence the outcome. As clinicians, our focus should be on … Read more

AAID Celebrates Dental Implant Awareness Month and The Impact on Health

September is Dental Implant Awareness Month, sponsored by the American Academy of Implant Dentistry (AAID). This year’s theme, “Healthy Mouth, Healthy You!” focuses on the health benefits of dental implants. “Dental Implant Awareness Month is a great opportunity to raise awareness about dental implants as a healthy replacement for missing teeth,” explains AAID President, Bernee Dunson, DDS, FAAID, … Read more

Nobel Biocare Invites Dental Professionals To Experience The Next Evolution Of Implant Dentistry At Global Symposium In Madrid

The upcoming Nobel Biocare Global Symposium will provide unrivalled opportunities to see and experience the future of implant dentistry. Held from June 27-29 in the Spanish capital Madrid, the landmark event is set to transform patient care with the reveal of breakthrough innovation, including the Nobel Biocare N1™ implant system. Boasting a biologic-driven design, forward-thinking … Read more

Nobel Biocare Global Symposium in Madrid to Open New Chapter in Implant Dentistry

A new and revolutionary chapter for implant dentistry will open this summer in Madrid. At the upcoming Global Symposium, the first of three international events hosted by Nobel Biocare, outstanding developments in the field of implant design and site preparation will be unveiled. Supporting these groundbreaking innovations will be new advancements in implant surface technology … Read more

Risk Factors in Implant Dentistry: Operator Related Risk Factors

Arlin 8a_ alternate text for this image

To view figures, click on figure mentions throughout the article. This article is the fourth in a series by the author submitted to, and published exclusively by Oral Health. The first article of the series was published in the August 2015 issue with the title: Surgical Risk Factors in Implant Dentistry: Influence on Failures and … Read more

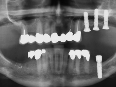
Implant Dentistry for Complete Maxillary Rehabilitation: Two Innovative Protocols

Tremblay 12 alternate text for this image

To view figures, click on figure mentions throughout the article. Patients who present with a terminal natural dentition in the maxillary arch offer both surgical and restorative challenges for the clinician. A formal diagnostic protocol is essential to determine viable treatment options and to facilitate the desired esthetic and functional outcome. This can include impressions … Read more

UB Dental’s Sebastiano Andreana Receives 2016 Isaih Lew Award

Sebastiano Andreana, DDS, associate professor and director of implant dentistry in the University at Buffalo School of Dental Medicine, received the Isaih Lew Memorial Research Award from the American Academy of Implant Dentistry (AAID). The annual award, presented to Andreana at the AAID’s 65th Annual Education Conference, recognizes a single individual for their significant contributions … Read more

New Fiber-Reinforced Composite Material Offers Advancements In Oral Implants

Source – Allen Press Publishing Services New materials and new technologies offer opportunities to bring implant dentistry to more patients. Fiber-reinforced composite is a new material that promises advantages for use in oral and craniofacial applications as well as in orthopedics. Discovering how it responds to stress and strain can help gauge its usefulness. As part of … Read more

André Schroeder Research Prize – One of the most prestigious awards in dentistry, the André Schroeder Research Prize serves to promote new scientific findings in implant dentistry and related fields.

Established almost 20 years ago, the André Schroeder Research Prize is an annual award presented by the ITI in honor of the late Professor André Schroeder (1918-2004), the founding ITI President, who pioneered implant dentistry and whose lifework contributed significantly to modern dentistry. Worth 20,000 Swiss Francs in cash, the André Schroeder Research Prize is … Read more

Drill – STOP – but you can still fill and bill!!!

FROM PANTOGRAPH.COM BLOOMINGTON, Illinois — A risk during dental implant surgery is drilling too deeply. A Bloomington dentist has received a patent for inventing a device that reduces that risk. Dr. Emil Verban has received a United States patent for his drill stop. The drill stop fits like a sleeve over drill bits to control … Read more

Who or what is in the driver’s seat?

Image by enno via Flickr It is no surprise that the market for implant dentistry continues to grow impressively as the result of advances in science and technology and from the purchasing power of the most affluent older generation in U.S. history – the baby boomers. First, let’s acknowledge the tremendous impact of evidence-based research … Read more

Women in Implant Dentistry

From Implant Dentistry – April 2010 – 19(2) – p 91by Misch-Dietsch, Francine DDS, MDS We contributed, and we continue to contribute, to the world of science; and that is for the betterment of the world. “We” are women. This past year, 2009, was especially noteworthy because 3 women were awarded Nobel Prizes in the … Read more