A Digital Workflow to Improve the Single-Unit Anterior Implant Success

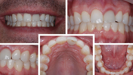
Duplantis-Fig-2—Post-Orthodontic-Photos alternate text for this image

Abstract The anterior single unit implant can present a challenging dilemma to both the restorative dentist and the surgeon. Several factors may present that can adversely affect the final restorative outcome of cases such as these. Appropriate planning and execution are crucial for a pleasing result to both the patient and clinical team. Digital tools … Read more

Oral Reconstruction Global Symposium 2020

The Oral Reconstruction Foundation is pleased to announce the theme and venue for the 2020 Oral Reconstruction Global Symposium. With a world-renowned lineup of speakers from all dental disciplines, the Symposium themed – 20/20 Vision – will cover a wide range of contemporary issues in implant dentistry and tissue regeneration. The Symposium will take place … Read more

Completely Digital Workflow for Treatment of Obstructive Sleep Apnea

DS_SICAT_Compare alternate text for this image

SICAT Air is the first 3D solution that enables analysis of the upper airways in 3D volume and illustrates the workflow of a splint-based treatment completely digitally. With this software, dental practitioners can quickly and easily order mandibular advancement splints that reduce or alleviate the symptoms of mild to moderate OSA. Coordinated processes boost trust … Read more