Predictable Aesthetic Success with a Digital Workflow

Figure 28 alternate text for this image

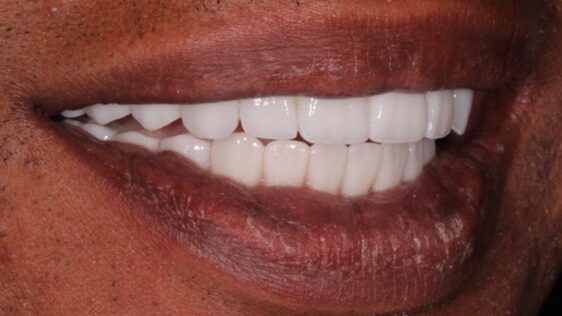
Dentists today live during exciting times where advancements in materials, techniques, and diagnostics allow us to predictably improve the quality of our patients’ lives and their overall health. Digital treatment planning and workflow enables clinicians to accurately attain healthy form and function of the stomatognathic system even with the most complex of cases. Patients often … Read more

Integrating Digital Smile Design Into the Aesthetic Workflow

Lowe-001 alternate text for this image

Introduction Achieving a successful outcome in aesthetic dentistry can be a formidable challenge for all dental practitioners, regardless of their experience level. The patient describes their expectations for the case to the dentist, who then diligently works with provisional restorations to satisfy those aesthetic desires, only to have to rely on the dental technician (ceramist) … Read more

Align Technology Announces Strategic Alliance with Digital Smile Design

Align Technology, Inc. (NASDAQ: ALGN) announced today that it is partnering with Digital Smile Design (DSD), a leader in holistic, digital and emotional dentistry solutions for dental clinics in the efforts to advance multi-disciplinary dentistry by building a streamlined end-to-end digital workflow as well as best-in-class clinical education. Through the collaboration, DSD will highlight the … Read more