Endodontic Retreatment of Tooth #11 with Dens Invaginatus: A Case Report

Lewis fig 2 alternate text for this image

Dens invaginatus, also known as dens in dente, is an embryological anomaly that occurs during tooth formation. The condition results in invagination of the amelodental structure within the pulp that can look like a ‘tooth within a tooth’ on radiographic evaluation, hence the nomenclature.1 The reported prevalence of adult teeth affected with dens invaginatus is … Read more

Conservative Management of a Rare Type III Dens Invaginatus Associated with Immature Teeth and Large Periradicular Disease: A Case Report with 3-Year Follow-Up

Cunha-Fig-5A alternate text for this image

keywords: Dens invaginatus, endodontic treatment, pulp diagnosis, cone-beam computed tomography. Abstract Dens invaginatus (DI) is a dental anomaly resulting from an infolding of the enamel organ into the dental papilla during tooth development. This article elucidates how non-surgical endodontic treatment of a rare and complex Type III DI and conservative treatment of the immature maxillary … Read more

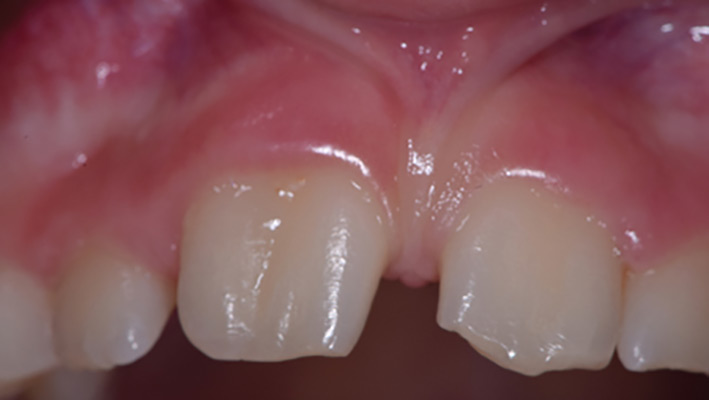
A gift from the Netherlands

Holland possesses two things of beauty – tulips and Marga Ree Patient is a young 16 year old guy that presented with pain and a huge swelling. Virgin tooth. I saw a strange structure in the radiograph, and decided to run a scan: There appeared to be  a dens invaginatus in 17, you can clearly … Read more