Direct Restorations In A Compromised Setting

Malterud-Fig-9 alternate text for this image

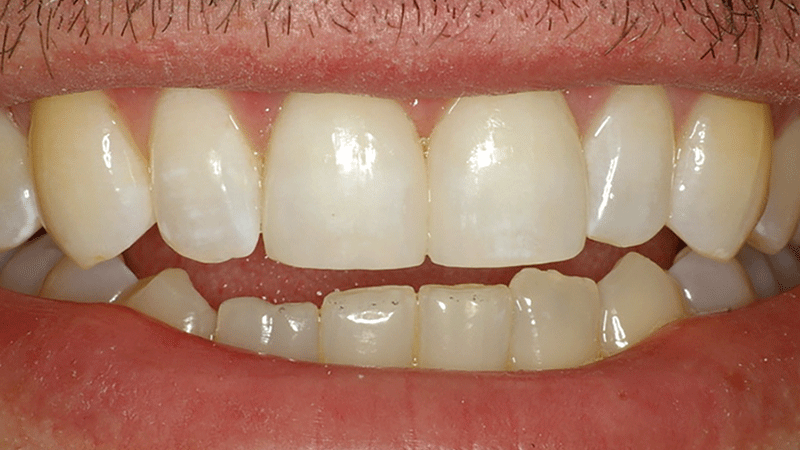
We are tasked to help our patients attain a more desirable cosmetic outcome; often, there is a choice between direct and indirect procedures. Direct procedures are generally less invasive; the practitioner only needs to remove old restorations and any pathology present. Restoring to achieve a long-term desirable outcome requires proper planning and execution to create … Read more